• Tel: 858.663.9055
  • SeparatorEmail: info@nsjbio.com
  • Tel: 858.663.9055
  • Email: info@nsjbio.com
Home >> Antibodies >> Milk fat globule 1 Antibody / Mfg-e8 / Lactadherin

Milk fat globule 1 Antibody / Mfg-e8 / Lactadherin (RQ6427)

  Catalog No Formulation Size Price (USD)  
Image RQ6427 0.5mg/ml if reconstituted with 0.2ml sterile DI water 100 ug 449
Bulk quote request
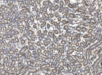
IHC staining of FFPE mouse kidney tissue with Milk fat globule 1 antibody. HIER: boil tissue sections in pH8 EDTA for 20 min and allow to cool before testing.
Western blot testing of 1) rat kidney, 2) rat liver and 3) mouse NIH 3T3 cell lysate with Milk fat globule 1 antibody. Expected molecular weight: 30-66 kDa depending glycosylation level.
Flow cytometry testing of mouse HEPA1-6 cells with Milk fat globule 1 antibody at 1ug/million cells (blocked with goat sera); Red=cells alone, Green=isotype control, Blue= Milk fat globule 1 antibody.
Availability 1-3 business days
Species Reactivity Mouse, Rat
Format Purified
Host Rabbit
Clonality Polyclonal (rabbit origin)
Isotype Rabbit IgG
Purity Antigen affinity purified
Buffer Lyophilized from 1X PBS with 2% Trehalose
UniProt P21956
Applications Western Blot : 0.5-1ug/ml
Immunohistochemistry (FFPE) : 2-5ug/ml
Flow Cytometry : 1-3ug/million cells
Direct ELISA : 0.1-0.5ug/ml
Limitations This Milk fat globule 1 antibody is available for research use only.
Review this product on BioCompare and get a $20 Amazon gift card

Related Products

Description

MFGE8 (Milk Fat Globule-Egf Factor 8), also called as Lactadherin or SED1, is a protein which in humans is encoded by the MFGE8 gene. Mfge8 is secreted protein found in vertebrates, including mammals as well as birds. By fluorescence in situ hybridization, Collins et al.(1997) mapped the MFGE8 gene to chromosome 15q25. Hanayama et al.(2002) found that MFGE8 is a factor that links apoptotic cells to phagocytes. MFGE8 specifically bound to apoptotic cells by recognizing aminophospholipids such as phosphatidylserine. MFGE8, when engaged by phospholipids, bound to cells via its RGD motif. It bound particularly strongly to cells expressing alpha-V-beta-3 integrin. Bu et al.(2007) showed that Mfge8 was expressed in intestinal lamina propria macrophages in mice. Using a wound-healing assay, they showed that Mfge8 promoted migration of intestinal epithelial cells through a PKC-epsilon(PRKCE)-dependent mechanism.

Application Notes

Optimal dilution of the Milk fat globule 1 antibody should be determined by the researcher.

Immunogen

Recombinant mouse protein (amino acids A23-C463) was used as the immunogen for the Milk fat globule 1 antibody.

Storage

After reconstitution, the Milk fat globule 1 antibody can be stored for up to one month at 4oC. For long-term, aliquot and store at -20oC. Avoid repeated freezing and thawing.

Cross
Bulk Quote Request Form
Name*:
Organization*:
Email*:
Phone Number*:
Catalog No.*:
Comments and Specifics(amount, formulation, etc.)*:
Validation code: Captchapackage Image


Can't read the image? click here to refresh.
    *required field

Your bulk quote request has been submitted successfully!

Please contact us if you have any questions.