• Tel: 858.663.9055
  • SeparatorEmail: info@nsjbio.com
  • Tel: 858.663.9055
  • Email: info@nsjbio.com
Home >> Antibodies >> MIEF1 Antibody / Mitochondrial dynamics protein MID51

MIEF1 Antibody / Mitochondrial dynamics protein MID51 (RQ6428)

  Catalog No Formulation Size Price (USD)  
Image RQ6428 0.5mg/ml if reconstituted with 0.2ml sterile DI water 100 ug 449
Bulk quote request
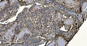
IHC staining of FFPE human renal clear cell carcinoma tissue with MIEF1 antibody. HIER: boil tissue sections in pH8 EDTA for 20 min and allow to cool before testing.
IHC staining of FFPE human rectal cancer tissue with MIEF1 antibody. HIER: boil tissue sections in pH8 EDTA for 20 min and allow to cool before testing.
Immunofluorescent staining of FFPE human U-2 OS cells with MIEF1 antibody (green) and DAPI nuclear stain (blue). HIER: steam section in pH6 citrate buffer for 20 min.
Western blot testing of human 1) HT1080, 2) Jurkat, 3) K562, 4) HL60, 5) HEK293, 6) U937, 7) HepG2, 8) rat heart, 9) rat kidney and 10) mouse kidney tissue lysate with MIEF1 antibody. Predicted molecular weight ~51 kDa.
Flow cytometry testing of human SiHa cells with MIEF1 antibody at 1ug/million cells (blocked with goat sera); Red=cells alone, Green=isotype control, Blue= MIEF1 antibody.
Immunoprecipitation and western blot analysis of MIEF1 expression. Human K562 whole cell lysates were used for immunoprecipitation with anti-MIEF1 antibody. Lane 1 shows input K562 whole cell lysate (30 ug). Lane 2 shows immunoprecipitation performed using rabbit control IgG instead of the primary antibody, serving as a negative control. Lane 3 shows immunoprecipitation using anti-MIEF1 antibody (2 ug) incubated with K562 whole cell lysate (500 ug). Immunoprecipitated proteins were resolved by SDS-PAGE, transferred to membrane, and detected using anti-MIEF1 antibody followed by an HRP-conjugated goat anti-rabbit IgG light chain secondary antibody. A specific band corresponding to MIEF1 is detected at the predicted molecular weight of approximately 51 kDa, consistent with mitochondrial elongation factor 1.
Availability 1-3 business days
Species Reactivity Human, Mouse, Rat
Format Purified
Host Rabbit
Clonality Polyclonal (rabbit origin)
Isotype Rabbit IgG
Purity Antigen affinity purified
Buffer Lyophilized from 1X PBS with 2% Trehalose
UniProt Q9NQG6
Localization Cytoplasmic (mitochondria)
Applications Western Blot : 0.5-1ug/ml
Immunohistochemistry (FFPE) : 2-5ug/ml
Immunofluorescence (FFPE) : 5ug/ml
Flow Cytometry : 1-3ug/million cells
Direct ELISA : 0.1-0.5ug/ml
Immunoprecipitation : 2ug per 500ug of lysate
Limitations This MIEF1 antibody is available for research use only.
Review this product on BioCompare and get a $20 Amazon gift card

Description

MIEF1 antibody targets mitochondrial dynamics protein MID51, encoded by the MIEF1 gene. Mitochondrial dynamics protein MID51 is a mitochondrial outer membrane protein that plays a central role in regulating mitochondrial morphology by coordinating fission events. MID51 functions as an adaptor protein that recruits and modulates the activity of the dynamin-related GTPase DRP1, a core mediator of mitochondrial division. Through this interaction, MID51 contributes to the balance between mitochondrial fission and fusion that is essential for cellular homeostasis.

Functionally, mitochondrial dynamics protein MID51 regulates mitochondrial network organization in response to metabolic cues and cellular stress. By influencing DRP1 assembly and localization at mitochondrial constriction sites, MID51 impacts processes such as mitochondrial distribution, bioenergetic efficiency, and organelle quality control. A MIEF1 antibody supports studies focused on mitochondrial dynamics, organelle remodeling, and signaling pathways that link mitochondrial structure to cellular function.

MIEF1 expression has been reported in multiple cell types, reflecting the universal requirement for regulated mitochondrial dynamics. Subcellular localization is predominantly mitochondrial, consistent with its role at the outer mitochondrial membrane, although distribution can appear punctate or network-associated depending on mitochondrial state and cellular conditions. Alterations in MID51 levels or activity can shift mitochondrial morphology toward fragmented or elongated states, influencing downstream cellular responses.

From a disease relevance perspective, dysregulated mitochondrial dynamics involving MID51 have been investigated in neurodegenerative disease, cancer, and metabolic disorders, where imbalanced fission and fusion can contribute to altered energy metabolism and cell survival. At the molecular level, MID51 contains regulatory regions that mediate DRP1 binding and mitochondrial membrane association rather than intrinsic enzymatic activity. MIEF1 antibody reagents support research applications examining mitochondrial structure, stress responses, and organelle signaling pathways, with NSJ Bioreagents providing reagents intended for research use.

Application Notes

Optimal dilution of the MIEF1 antibody should be determined by the researcher.

Immunogen

Recombinant human protein (amino acids S189-T463) was used as the immunogen for the MIEF1 antibody.

Storage

After reconstitution, the MIEF1 antibody can be stored for up to one month at 4oC. For long-term, aliquot and store at -20oC. Avoid repeated freezing and thawing.

Cross
Bulk Quote Request Form
Name*:
Organization*:
Email*:
Phone Number*:
Catalog No.*:
Comments and Specifics(amount, formulation, etc.)*:
Validation code: Captchapackage Image


Can't read the image? click here to refresh.
    *required field

Your bulk quote request has been submitted successfully!

Please contact us if you have any questions.