• Tel: 858.663.9055
  • SeparatorEmail: info@nsjbio.com
  • Tel: 858.663.9055
  • Email: info@nsjbio.com
Home >> Antibodies >> MICB Antibody / MHC class I polypeptide-related sequence B

MICB Antibody / MHC class I polypeptide-related sequence B (R32254)

  Catalog No Formulation Size Price (USD)  
Image R32254 0.5mg/ml if reconstituted with 0.2ml sterile DI water 100 ug 449
Bulk quote request
Flow cytometry testing of fixed and permeabilized human K562 cells with MICB antibody at 1ug/million cells (blocked with goat sera); Red=cells alone, Green=isotype control, Blue= MICB antibody.
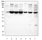
Western blot testing of 1) human Jurkat, 2) human K562, 3) human HEL, 4) human A431, 5) human 293T, 6) human SiHa and 7) mouse HEPA1/6 cell lysate with MICB antibody. Predicted molecular weight ~43 kDa but may be observed at higher molecular weights due to glycosylation.
Availability 1-3 business days
Species Reactivity Human, Mouse
Format Antigen affinity purified
Host Rabbit
Clonality Polyclonal (rabbit origin)
Isotype Rabbit IgG
Purity Antigen affinity
Buffer Lyophilized from 1X PBS with 2% Trehalose
UniProt Q29980
Applications Western Blot : 0.5-1ug/ml
Flow Cytometry : 1-3ug/million cells
Limitations This MICB antibody is available for research use only.
Review this product on BioCompare and get a $20 Amazon gift card

Description

MHC class I polypeptide-related sequence B is a protein that in humans is encoded by the MICB gene. This gene encodes a heavily glycosylated protein which is a ligand for the NKG2D type II receptor. Binding of the ligand activates the cytolytic response of natural killer (NK) cells, CD8 alpha-beta T cells, and gamma-delta T cells which express the receptor. This protein is stress-induced and is similar to MHC class I molecules; however, it does not associate with beta-2-microglobulin or bind peptides. Alternative splicing results in multiple transcript variants.

Application Notes

Optimal dilution of the MICB antibody should be determined by the researcher.

Immunogen

Amino acids AEPHSLRYNLMVLSQDESVQSGFLAE of human MICB were used as the immunogen for the MICB antibody.

Storage

After reconstitution, the MICB antibody can be stored for up to one month at 4oC. For long-term, aliquot and store at -20oC. Avoid repeated freezing and thawing.

Cross
Bulk Quote Request Form
Name*:
Organization*:
Email*:
Phone Number*:
Catalog No.*:
Comments and Specifics(amount, formulation, etc.)*:
Validation code: Captchapackage Image


Can't read the image? click here to refresh.
    *required field

Your bulk quote request has been submitted successfully!

Please contact us if you have any questions.