• Tel: 858.663.9055
  • SeparatorEmail: info@nsjbio.com
  • Tel: 858.663.9055
  • Email: info@nsjbio.com
Home >> Antibodies >> MICA Antibody

MICA Antibody (R32255)

  Catalog No Formulation Size Price (USD)  
Image R32255 0.5mg/ml if reconstituted with 0.2ml sterile DI water 100 ug 449
Bulk quote request
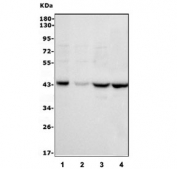
Western blot testing of human 1) SW620, 2) A549, 3) MCF-7 and 4) HeLa cell lysate with MICA antibody. Predicted molecular weight: ~43 kDa but may be observed at 38-62 kDa depending on truncation and glycosylation level.
Western blot testing of human 1) Raji, 2) SCG-7901, 3) SW620 and 4) Jurkat cell lysate with MICA antibody. Predicted molecular weight: ~43 kDa but may be observed at 38-62 kDa depending on truncation and glycosylation level.
Availability 1-3 business days
Species Reactivity Human
Format Antigen affinity purified
Host Rabbit
Clonality Polyclonal (rabbit origin)
Isotype Rabbit IgG
Purity Antigen affinity
Buffer Lyophilized from 1X PBS with 2% Trehalose and 0.025% sodium azide
UniProt Q29983
Applications Western Blot : 0.1-0.5ug/ml
Limitations This MICA antibody is available for research use only.
Review this product on BioCompare and get a $20 Amazon gift card

Related Products

Description

This gene encodes the highly polymorphic major histocompatability complex class I chain-related protein A. The protein product is expressed on the cell surface, although unlike canonical class I molecules it does not seem to associate with beta-2-microglobulin. It is a ligand for the NKG2-D type II integral membrane protein receptor. And the protein functions as a stress-induced antigen that is broadly recognized by intestinal epithelial gamma delta T cells. Variations in this gene have been associated with susceptibility to psoriasis 1 and psoriatic arthritis, and the shedding of MICA-related antibodies and ligands is involved in the progression from monoclonal gammopathy of undetermined significance to multiple myeloma. Alternative splicing of this gene results in multiple transcript variants.

Application Notes

Optimal dilution of the MICA antibody should be determined by the researcher.

Immunogen

Amino acids QSHWQTFHVSAVAAAAKFVEIIFYVRCCKKK of human MICA were used as the immunogen for the MICA antibody.

Storage

After reconstitution, the MICA antibody can be stored for up to one month at 4oC. For long-term, aliquot and store at -20oC. Avoid repeated freezing and thawing.

Cross
Bulk Quote Request Form
Name*:
Organization*:
Email*:
Phone Number*:
Catalog No.*:
Comments and Specifics(amount, formulation, etc.)*:
Validation code: Captchapackage Image


Can't read the image? click here to refresh.
    *required field

Your bulk quote request has been submitted successfully!

Please contact us if you have any questions.