• Tel: 858.663.9055
  • SeparatorEmail: info@nsjbio.com
  • Tel: 858.663.9055
  • Email: info@nsjbio.com
Home >> Antibodies >> MICA Antibody / Cross-Species Reactivity Antibody

MICA Antibody / Cross-Species Reactivity Antibody [clone MICA/4442] (V9702)

  Catalog No Formulation Size Price (USD)  
Image V9702-100UG 0.2 mg/ml in 1X PBS with 0.1 mg/ml BSA (US sourced), 0.05% sodium azide 100 ug 559
Image
V9702-20UG 0.2 mg/ml in 1X PBS with 0.1 mg/ml BSA (US sourced), 0.05% sodium azide 20 ug 259
Image
V9702SAF-100UG 1 mg/ml in 1X PBS; BSA free, sodium azide free 100 ug 559
Microvalidated
Bulk quote request
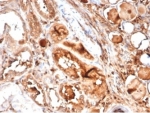
MICA Antibody Stomach Tissue IHC. Immunohistochemistry staining of FFPE human stomach with MICA antibody (clone MICA/4442). HIER: boil tissue sections in pH 9 10mM Tris with 1mM EDTA for 20 min and allow to cool before testing.
MICA Antibody Kidney Tissue IHC. Immunohistochemistry staining of FFPE human kidney tissue with MICA antibody (clone MICA/4442). HIER: boil tissue sections in pH 9 10mM Tris with 1mM EDTA for 20 min and allow to cool before testing.
SDS-PAGE analysis of purified, BSA-free MICA antibody (clone MICA/4442) as confirmation of integrity and purity.
MICA Antibody Microarray Specificity Validation. Analysis of HuProt(TM) microarray containing more than 19,000 full-length human proteins using MICA antibody (clone MICA/4442). These results demonstrate the foremost specificity of the MICA/4442 mAb. Z- and S- score: The Z-score represents the strength of a signal that an antibody (in combination with a fluorescently-tagged anti-IgG secondary Ab) produces when binding to a particular protein on the HuProt(TM) array. Z-scores are described in units of standard deviations (SD's) above the mean value of all signals generated on that array. If the targets on the HuProt(TM) are arranged in descending order of the Z-score, the S-score is the difference (also in units of SD's) between the Z-scores. The S-score therefore represents the relative target specificity of an Ab to its intended target.
MICA Antibody Lung Tissue WB. Western blot analysis of MHC class I polypeptide-related sequence A (MICA) expression across multi-species lung tissue lysates using MICA antibody clone MICA/4442. Lane 1: human lung lysate, Lane 2: mouse lung lysate, Lane 3: rat lung lysate, Lane 4: hamster lung lysate, Lane 5: guinea pig lung lysate. A band is detected at approximately 50-65 kDa, consistent with glycosylated forms of MICA. The consistent detection across species supports the use of this antibody for cross-species reactivity applications, reflecting conserved expression and post-translational processing of MICA in lung tissue.
MICA Antibody Kidney Tissue WB. Western blot analysis of MHC class I polypeptide-related sequence A (MICA) expression in human kidney tissue lysate using MICA antibody clone MICA/4442. Lane 1: human kidney lysate. A broad band is detected at approximately 70-90 kDa, consistent with heavily glycosylated forms of MICA. The higher apparent molecular weight and band heterogeneity reflect tissue-specific glycosylation and post-translational modification commonly observed for MICA in epithelial-rich tissues such as kidney.
Availability 1-3 business days
Species Reactivity Human, Mouse, Rat, Hamster, Guinea pig
Format Purified
Host Mouse
Clonality Monoclonal (mouse origin)
Isotype Mouse IgG2b, kappa
Clone Name MICA/4442
Purity Protein A/G affinity
UniProt Q29983
Localization Cell surface, Cytoplasm
Applications Western Blot : 1-2ug/ml (Human/Mouse/Rat/Hamster/Guinea pig)
Immunohistochemistry (FFPE) : 1-2ug/ml (Human)
Limitations This MICA Antibody / Cross-Species Reactivity Antibody is available for research use only.
Review this product on BioCompare and get a $20 Amazon gift card

Related Products

Description

MHC class I polypeptide-related sequence A (MICA) is a stress-inducible, non-classical MHC class I-like glycoprotein that functions as a ligand for the activating receptor NKG2D. MICA is primarily expressed on epithelial cells and is strongly upregulated in response to cellular stress, infection, and malignant transformation, where it serves as a key signal for immune recognition. The MICA Antibody / Cross-Species Reactivity Antibody is designed to detect this conserved immune ligand across multiple experimental systems, supporting studies that extend from animal models to human biology.

MICA antibody, also referred to as MHC class I-related protein A antibody in the literature, recognizes a glycoprotein that is structurally related to classical MHC class I molecules but does not present antigen peptides. Instead, MICA functions as a stress-induced activation signal for natural killer cells and cytotoxic T lymphocytes through NKG2D engagement. Western blot analysis demonstrates detection of MICA in lung tissue lysates across multiple species, including human and commonly used laboratory animals, supporting cross-species reactivity. This capability is particularly important for immunology and oncology studies that rely on direct comparison between preclinical models and human tissue.

Structurally, MICA contains extracellular alpha domains that resemble classical MHC class I proteins, a transmembrane region, and a short cytoplasmic tail, but does not associate with beta-2 microglobulin. The protein undergoes extensive N-linked glycosylation, resulting in a higher apparent molecular weight on SDS-PAGE than predicted and often appearing as a broad or slightly heterogeneous band. This glycosylation-dependent migration pattern is consistently observed across tissue types and species, reflecting conserved post-translational processing of MICA.

Functionally, MICA plays a central role in immune surveillance by marking stressed or transformed cells for elimination. Its expression is induced by DNA damage, oxidative stress, and oncogenic signaling, making it a key component of early immune detection in cancer and infection. Because these pathways are conserved across species, the ability to detect MICA in both human and animal tissues is essential for mechanistic studies and therapeutic development. The cross-species detection supported by this antibody enables consistent tracking of MICA expression in comparative models of disease.

Clone MICA/4442 is designed to recognize conserved epitopes within the MICA protein, enabling reliable detection across multiple species and tissue types. This cross-species reactivity provides a clear and practical advantage for experimental workflows that integrate human samples with animal models. For researchers studying immune activation, tumor biology, or stress response pathways, this MICA antibody supports generation of biologically aligned data across systems, reinforcing its value in translational and comparative research.

This antibody is part of a broader antibody panel offered by NSJ Bioreagents.

Application Notes

Optimal dilution of the MICA Antibody / Cross-Species Reactivity Antibody should be determined by the researcher.

Immunogen

A portion of amino acids 1-200 was used as the immunogen for the MICA antibody.

Storage

Aliquot the MICA antibody and store frozen at -20oC or colder. Avoid repeated freeze-thaw cycles.

Alternate Names

MICA antibody, MHC class I-related protein A antibody, MICA WB antibody, MICA multi-species antibody, MICA cross-reactivity antibody

Cross
Bulk Quote Request Form
Name*:
Organization*:
Email*:
Phone Number*:
Catalog No.*:
Comments and Specifics(amount, formulation, etc.)*:
Validation code: Captchapackage Image


Can't read the image? click here to refresh.
    *required field

Your bulk quote request has been submitted successfully!

Please contact us if you have any questions.