• Tel: 858.663.9055
  • SeparatorEmail: info@nsjbio.com
  • Tel: 858.663.9055
  • Email: info@nsjbio.com
Home >> Antibodies >> MICA Antibody

MICA Antibody (F51246)

  Catalog No Formulation Size Price (USD)  
Image F51246-0.4ML In 1X PBS, pH 7.4, with 0.09% sodium azide 0.4 ml 439
Image
F51246-0.08ML In 1X PBS, pH 7.4, with 0.09% sodium azide 0.08 ml 205
Bulk quote request
Western blot testing of MICA antibody at 1:2000 dilution. Lane 1: Jurkat lysate; 2: Daudi ; 3: A431; 4: MCF-7; 5: U-87MG; 6: THP-1; Predicted molecular weight: ~43 kDa but may be observed at 38-62 kDa depending on truncation and glycosylation level.
Western blot testing of MICA antibody at 1:2000 dilution. Lane 1: Jurkat lysate; 2: Daudi ; 3: A431; 4: MCF-7; 5: U-87MG; 6: THP-1; Predicted molecular weight: ~43 kDa but may be observed at 38-62 kDa depending on truncation and glycosylation level.
Western blot testing of MICA antibody at 1:2000 dilution. Lane 1: U-87 MG lysate; 2: A431; 3: Jurkat; Predicted molecular weight: ~43kDa but may be observed at 38-62kDa depending on truncation and glycosylation level.
Western blot testing of MICA antibody at 1:1000 dilution + HeLa lysate
Flow cytometric analysis of SK-BR-3 cells using MICA antibody (green) compared to an isotype control of rabbit IgG (blue). Ab was diluted at 1:25 dilution. An Alexa Fluor 488 goat anti-rabbit lgG was used as the secondary.
Immunofluorescent staining of fixed and permeabilized human HeLa cells with MICA antibody (green), phalloidin (red, cytoplasmic actin) and DAPI (blue, nuclear).
Immunofluorescent staining of fixed and permeabilized human HeLa cells with MICA antibody (green), phalloidin (red, cytoplasmic actin) and DAPI (blue, nuclear).
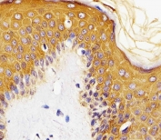
IHC staining of FFPE human skin with MICA antibody. HIER: boil tissue sections in pH6, 10mM citrate buffer, for 10-20 min and allow to cool before testing.
Availability 1-3 business days
Species Reactivity Human
Format Antigen affinity purified
Host Rabbit
Clonality Polyclonal (rabbit origin)
Isotype Rabbit Ig
Purity Antigen affinity
UniProt Q29983
Applications Western Blot : 1:1000
Flow Cytometry : 1:25
Immunofluorescence : 1:25
Immunohistochemistry (FFPE) : 1:25
Limitations This MICA antibody is available for research use only.
Review this product on BioCompare and get a $20 Amazon gift card

Related Products

Description

MICA is the higly polymorphic MHC (HLA) class I chain-related gene A. The protein product is expressed on the cell surface, although unlike canonical class I molecules does not seem to associate with beta-2-microglobulin. It is thought that MICA functions as a stress-induced antigen that is broadly recognized by intestinal epithelial gamma delta T cells.

Application Notes

Titration of the MICA antibody may be required due to differences in protocols and secondary/substrate sensitivity.

Immunogen

A portion of amino acids 68-97 from the human protein was used as the immunogen for this MICA antibody.

Storage

Aliquot the MICA antibody and store frozen at -20oC or colder. Avoid repeated freeze-thaw cycles.

Cross
Bulk Quote Request Form
Name*:
Organization*:
Email*:
Phone Number*:
Catalog No.*:
Comments and Specifics(amount, formulation, etc.)*:
Validation code: Captchapackage Image


Can't read the image? click here to refresh.
    *required field

Your bulk quote request has been submitted successfully!

Please contact us if you have any questions.