• Tel: 858.663.9055
  • SeparatorEmail: info@nsjbio.com
  • Tel: 858.663.9055
  • Email: info@nsjbio.com
Home >> Antibodies >> MIC2 Antibody / CD99

MIC2 Antibody / CD99 [clone MIC2/9939R] (V5946)

  Catalog No Formulation Size Price (USD)  
Image V5946-100UG 0.2 mg/ml in 1X PBS with 0.05% BSA, 0.05% sodium azide 100 ug 559
Image
V5946-20UG 0.2 mg/ml in 1X PBS with 0.05% BSA, 0.05% sodium azide 20 ug 259
Image
V5946SAF-100UG 1 mg/ml in 1X PBS; BSA free, sodium azide free 100 ug 559
Microvalidated Recrabbitmono
Bulk quote request
IHC staining of FFPE human Ewing sarcoma tissue with recombinant MIC2/CD99 antibody (clone MIC2/9939R). Tumor cells show strong diffuse membranous staining. HIER: boil tissue sections in pH 9 10mM Tris with 1mM EDTA for 45 min at 95oC followed by cooling at RT for 20 minutes.
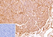
IHC staining of FFPE human pancreas tissue with recombinant MIC2/CD99 antibody (clone MIC2/9939R). Pancreatic epithelial cells demonstrate membranous and cytoplasmic staining. Inset: PBS instead of primary antibody; secondary only negative control. HIER: boil tissue sections in pH 9 10mM Tris with 1mM EDTA for 45 min at 95oC followed by cooling at RT for 20 minutes.
SDS-PAGE Analysis of purified recombinant MIC2/CD99 antibody (clone MIC2/9939R). Confirmation of Purity and Integrity of Antibody.
Western blot analysis of Human Kidney, Mouse Kidney, Rat Kidney, Human Brain, Mouse Brain, Rat Brain, Human Lung, Mouse Lung, Rat Lung tissue lysates and Jurkat cell lysates using recombinant MIC2/CD99 antibody (MIC2/9939R). Expected molecular weight: 16-32 kDa depending on the level of glycosylation.
Western blot analysis of human K-562, MCF7, A549, A-431 & MDA-MB-231 cell lysates using recombinant MIC2/CD99 antibody (clone MIC2/9939R). Expected molecular weight: 16-32 kDa depending on the level of glycosylation.
Species Reactivity Guinea Pig, Hamster, Human, Mouse, Rabbit, Rat
Format Purified
Host Rabbit
Clonality Recombinant Rabbit Monoclonal
Isotype Rabbit IgG, kappa
Clone Name MIC2/9939R
UniProt P14209
Localization Membrane
Applications Immunohistochemistry (FFPE) : 1-2ug/ml
Western Blot : 2-4ug/ml
Limitations This recombinant MIC2/CD99 antibody is available for research use only.
Review this product on BioCompare and get a $20 Amazon gift card

Related Products

Description

MIC2 Antibody recognizes CD99, also known as MIC2, a cell surface glycoprotein encoded by the CD99 gene located in the pseudoautosomal regions of the X and Y chromosomes. CD99 is a type I transmembrane protein characterized by a short cytoplasmic tail and an extracellular domain involved in cell adhesion and signaling. MIC2 Antibody detects a protein that is widely expressed in hematopoietic cells, thymocytes, endothelial cells, and certain epithelial tissues, where it localizes predominantly to the plasma membrane.

CD99 plays important roles in T cell adhesion, leukocyte transendothelial migration, apoptosis regulation, and maintenance of cell-cell interactions. Through homophilic binding, CD99 contributes to intercellular adhesion and influences cytoskeletal organization. It is also implicated in intracellular signaling pathways that modulate cell differentiation and immune responses. Because of these functions, MIC2 Antibody is frequently used in studies of immune cell biology, vascular inflammation, and lymphoid development.

In diagnostic pathology, CD99 is best known for its strong and diffuse membranous expression in Ewing sarcoma and peripheral primitive neuroectodermal tumors. MIC2 Antibody highlights characteristic crisp membranous staining in these tumors, making it a valuable marker in the differential diagnosis of small round blue cell tumors. CD99 expression is also observed in certain lymphoblastic lymphomas, synovial sarcomas, and other neoplasms, though staining patterns and intensity may vary by tumor type.

Beyond oncology, CD99 has been associated with processes such as cell migration, tumor invasion, and modulation of cell death pathways. Altered CD99 expression has been linked to changes in tumor cell behavior, including effects on adhesion and metastatic potential. MIC2 Antibody therefore provides a useful tool for evaluating CD99 expression in both normal tissues and malignancies, supporting research in tumor biology, immunology, and cell signaling. Clone MIC2/9939R is designed to detect CD99 expression in research applications, enabling clear visualization of membranous staining patterns in formalin-fixed, paraffin-embedded tissues and other experimental systems.

By targeting a well-established cell surface marker with recognized diagnostic and biological significance, MIC2 Antibody facilitates detailed assessment of CD99 distribution, cellular localization, and involvement in disease processes.

Application Notes

1. Optimal dilution of the recombinant MIC2/CD99 antibody should be determined by the researcher.

2. This recombinant MIC2/CD99 antibody is recombinantly produced by expression in CHO cells.

Immunogen

A recombinant fragment (around amino acids 1-185) of human MIC2 protein (exact sequence is proprietary) was used as the immunogen for the recombinant MIC2/CD99 antibody.

Storage

MIC2/CD99 molecule antibody with sodium azide - store at 2 to 8oC; antibody without sodium azide - store at -20 to -80oC.

Cross
Bulk Quote Request Form
Name*:
Organization*:
Email*:
Phone Number*:
Catalog No.*:
Comments and Specifics(amount, formulation, etc.)*:
Validation code: Captchapackage Image


Can't read the image? click here to refresh.
    *required field

Your bulk quote request has been submitted successfully!

Please contact us if you have any questions.