• Tel: 858.663.9055
  • SeparatorEmail: info@nsjbio.com
  • Tel: 858.663.9055
  • Email: info@nsjbio.com
Home >> Antibodies >> Mib1 Antibody

Mib1 Antibody (F47999)

  Catalog No Formulation Size Price (USD)  
Image F47999-0.4ML In 1X PBS, pH 7.4, with 0.09% sodium azide 0.4 ml 439
Image
F47999-0.08ML In 1X PBS, pH 7.4, with 0.09% sodium azide 0.08 ml 205
Bulk quote request
Mib1 antibody western blot analysis of human K562 lysate. Predicted molecular weight ~110 kDa.
Immunofluorescent staining of HeLa cells incubated with Mib1 antibody at a dilution of 1:20.
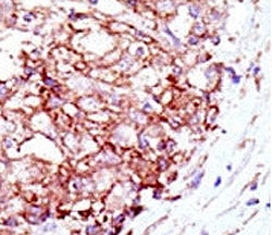
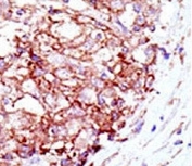
IHC analysis of FFPE human hepatocarcinoma tissue stained with the Mib1 antibody
Availability 1-3 business days
Species Reactivity Human
Predicted Reactivity Mouse, Zebrafish, Xenopus
Format Purified
Host Rabbit
Clonality Polyclonal (rabbit origin)
Isotype Rabbit Ig
Purity Purified
UniProt Q86YT6
Applications Western Blot : 1:1000
Immunofluorescence : 1:20-1:100
IHC (Paraffin) : 1:50-1:100
Limitations This Mib1 antibody is available for research use only.
Review this product on BioCompare and get a $20 Amazon gift card

Related Products

Description

MIB is an E3 ubiquitin-protein ligase that mediates ubiquitination of Delta receptors, which act as ligands of Notch proteins. This protein positively regulates the Delta-mediated Notch signaling by ubiquitinating the intracellular domain of Delta, leading to endocytosis of Delta receptors. MIB probably mediates ubiquitination and subsequent proteasomal degradation of DAPK1, thereby antagonizing anti-apoptotic effects of DAPK1 to promote TNF-induced apoptosis.

Application Notes

Titration of the Mib1 antibody may be required due to differences in protocols and secondary/substrate sensitivity.

Immunogen

A portion of amino acids 13-42 from the human protein was used as the immunogen for this Mib1 antibody.

Storage

Aliquot the Mib1 antibody and store frozen at -20oC or colder. Avoid repeated freeze-thaw cycles.

Cross
Bulk Quote Request Form
Name*:
Organization*:
Email*:
Phone Number*:
Catalog No.*:
Comments and Specifics(amount, formulation, etc.)*:
Validation code: Captchapackage Image


Can't read the image? click here to refresh.
    *required field

Your bulk quote request has been submitted successfully!

Please contact us if you have any questions.