• Tel: 858.663.9055
  • SeparatorEmail: info@nsjbio.com
  • Tel: 858.663.9055
  • Email: info@nsjbio.com
Home >> Antibodies >> MHC class I related protein 1 Antibody / MR1

MHC class I related protein 1 Antibody / MR1 [clone MR1/7577] (V4756)

  Catalog No Formulation Size Price (USD)  
Image V4756-100UG 0.2 mg/ml in 1X PBS with 0.1 mg/ml BSA (US sourced), 0.05% sodium azide 100 ug 559
Image
V4756-20UG 0.2 mg/ml in 1X PBS with 0.1 mg/ml BSA (US sourced), 0.05% sodium azide 20 ug 259
Image
V4756SAF-100UG 1 mg/ml in 1X PBS; BSA free, sodium azide free 100 ug 559
Bulk quote request
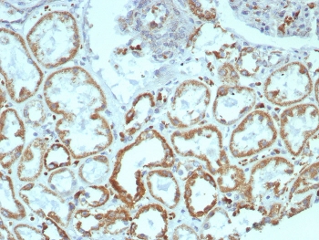
IHC staining of FFPE human kidney tissue with MR1 antibody (clone MR1/7577). HIER: boil tissue sections in pH 9 10mM Tris with 1mM EDTA for 20 min and allow to cool before testing.
SDS-PAGE analysis of purified, BSA-free MHC class I related protein 1 antibody (clone MR1/7577) as confirmation of integrity and purity.
Availability 1-3 business days
Species Reactivity Human
Format Purified
Host Mouse
Clonality Monoclonal (mouse origin)
Isotype Mouse IgG2, kappa
Clone Name MR1/7577
Purity Protein A/G affinity
UniProt Q95460
Localization Secreted, Cell membrane, Cytoplasm
Applications Immunohistochemistry (FFPE) : 1-2ug/ml for 30 min at RT
Limitations This MHC class I related protein 1 antibody is available for research use only.
Review this product on BioCompare and get a $20 Amazon gift card

Related Products

Description

MR1 (major histocompatibility complex, class I-related), also known as HLALS, is a 341 amino acid single-pass membrane protein that localizes to the endoplasmic reticulum, as well as to the extracellular side of the cell membrane, and contains one Ig-like C1-type domain. Expressed ubiquitously, MR1 exists as a heterodimer with b-2-Microglobulin and plays an important role in antigen presentation, specifically in the development and expansion of mucosalassociated invariant T cells (MAITs). MAITs are located in the gut and are involved in monitoring flora levels, as well as in conveying distress signals to other areas of the body, indicating a role for MR1 in proper digestion and immune system function. MR1 exists as four alternatively spliced isoforms and is encoded by a gene which maps to human chromosome 1.

Application Notes

Optimal dilution of the MHC class I related protein 1 antibody should be determined by the researcher.

Immunogen

A recombinant partial protein sequence (within amino acids 50-250) from the human protein was used as the immunogen for the MHC class I related protein 1 antibody.

Storage

Aliquot the MHC class I related protein 1 antibody and store frozen at -20oC or colder. Avoid repeated freeze-thaw cycles.

Cross
Bulk Quote Request Form
Name*:
Organization*:
Email*:
Phone Number*:
Catalog No.*:
Comments and Specifics(amount, formulation, etc.)*:
Validation code: Captchapackage Image


Can't read the image? click here to refresh.
    *required field

Your bulk quote request has been submitted successfully!

Please contact us if you have any questions.