• Tel: 858.663.9055
  • SeparatorEmail: info@nsjbio.com
  • Tel: 858.663.9055
  • Email: info@nsjbio.com
Home >> Antibodies >> MGST1 Antibody / Microsomal glutathione S-transferase 1

MGST1 Antibody / Microsomal glutathione S-transferase 1 (R31937)

  Catalog No Formulation Size Price (USD)  
Image R31937 0.5mg/ml if reconstituted with 0.2ml sterile DI water 100 ug 449
Bulk quote request
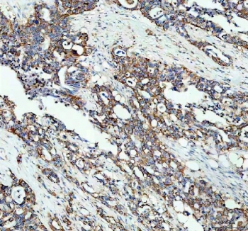
IHC staining of FFPE human pancreas cancer tissue with MGST1 antibody. HIER: boil tissue sections in pH8 EDTA for 20 min and allow to cool before testing.
IHC staining of FFPE human stomach cancer tissue with MGST1 antibody. HIER: boil tissue sections in pH8 EDTA for 20 min and allow to cool before testing.
Western blot testing of 1) human RT4, 2) human A549, 3) human U-251, 4) human SiHa, 5) rat testis, 6) rat liver, 7) mouse testis and 8) mouse liver tissue lysate with MGST1 antibody. Predicted molecular weight ~17 kDa.
Immunoprecipitation of MGST1 protein from 500ug of human A549 whole cell lysate with 2ug of MGST1 antibody.
Availability 1-3 business days
Species Reactivity Human, Mouse, Rat
Format Antigen affinity purified
Host Rabbit
Clonality Polyclonal (rabbit origin)
Isotype Rabbit IgG
Purity Antigen affinity
Buffer Lyophilized from 1X PBS with 2% Trehalose
UniProt P10620
Localization Cytoplasm
Applications Western Blot : 0.5-1ug/ml
Immunohistochemistry (FFPE) : 2-5ug/ml
Immunoprecipitation : 2ug/500ug of lysate
Limitations This MGST1 antibody is available for research use only.
Review this product on BioCompare and get a $20 Amazon gift card

Description

Microsomal glutathione S-transferase 1 is an enzyme that in humans is encoded by the MGST1 gene. The MAPEG (Membrane Associated Proteins in Eicosanoid and Glutathione metabolism) family consists of six human proteins, two of which are involved in the production of leukotrienes and prostaglandin E, important mediators of inflammation. Other family members, demonstrating glutathione S-transferase and peroxidase activities, are involved in cellular defense against toxic, carcinogenic, and pharmacologically active electrophilic compounds. This gene encodes a protein that catalyzes the conjugation of glutathione to electrophiles and the reduction of lipid hydroperoxides. This protein is localized to the endoplasmic reticulum and outer mitochondrial membrane where it is thought to protect these membranes from oxidative stress. Several transcript variants, some non-protein coding and some protein coding, have been found for this gene.

Application Notes

Optimal dilution of the MGST1 antibody should be determined by the researcher.

Immunogen

Amino acids KVFANPEDCVAFGKGENAKKYLRTDDRVERVRRA of human MGST1 were used as the immunogen for the MGST1 antibody.

Storage

After reconstitution, the MGST1 antibody can be stored for up to one month at 4oC. For long-term, aliquot and store at -20oC. Avoid repeated freezing and thawing.

Cross
Bulk Quote Request Form
Name*:
Organization*:
Email*:
Phone Number*:
Catalog No.*:
Comments and Specifics(amount, formulation, etc.)*:
Validation code: Captchapackage Image


Can't read the image? click here to refresh.
    *required field

Your bulk quote request has been submitted successfully!

Please contact us if you have any questions.