• Tel: 858.663.9055
  • SeparatorEmail: info@nsjbio.com
  • Tel: 858.663.9055
  • Email: info@nsjbio.com
Home >> Antibodies >> MGME1 Antibody / Mitochondrial genome maintenance exonuclease 1

MGME1 Antibody / Mitochondrial genome maintenance exonuclease 1 (RQ8391)

  Catalog No Formulation Size Price (USD)  
Image RQ8391 0.5mg/ml if reconstituted with 0.2ml sterile DI water 100 ug 449
Bulk quote request
Immunofluorescent staining of FFPE human U-2 OS cells with MGME1 antibody (green) and DAPI nuclear stain (blue). HIER: steam section in pH6 citrate buffer for 20 min.
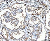
IHC staining of FFPE human thyroid cancer tissue with MGME1 antibody. HIER: boil tissue sections in pH8 EDTA for 20 min and allow to cool before testing.
IHC staining of FFPE human colorectal adenocarcinoma tissue with MGME1 antibody. HIER: boil tissue sections in pH8 EDTA for 20 min and allow to cool before testing.
IHC staining of FFPE human testicular germ cell tumor tissue with MGME1 antibody. HIER: boil tissue sections in pH8 EDTA for 20 min and allow to cool before testing.
Western blot testing of human 1) A549 and 2) HepG2 cell lysate with MGME1 antibody. Predicted molecular weight ~39 kDa.
Availability 1-3 business days
Species Reactivity Human
Format Antigen affinity purified
Host Rabbit
Clonality Polyclonal (rabbit origin)
Isotype Rabbit IgG
Purity Antigen affinity purified
Buffer Lyophilized from 1X PBS with 2% Trehalose
UniProt Q9BQP7
Localization Cytoplasm
Applications Western Blot : 0.5-1ug/ml
Immunohistochemistry (FFPE) : 2-5ug/ml
Immunofluorescence : 5ug/ml
Direct ELISA : 0.1-0.5ug/ml
Limitations This MGME1 antibody is available for research use only.
Review this product on BioCompare and get a $20 Amazon gift card

Description

Mitochondrial genome maintenance exonuclease 1 is an enzyme that in humans is encoded by the MGME1 gene. The protein encoded by this gene is a nuclear-encoded mitochondrial protein necessary for the maintenance of mitochondrial genome synthesis. The encoded protein is a RecB-type exonuclease and primarily cleaves single-stranded DNA. Defects in this gene have been associated with mitochondrial DNA depletion syndrome-11. Three transcript variants encoding different isoforms have been found for this gene.

Application Notes

Optimal dilution of the MGME1 antibody should be determined by the researcher.

Immunogen

An E.coli-derived human recombinant protein (K4-D310) was used as the immunogen for the MGME1 antibody.

Storage

After reconstitution, the MGME1 antibody can be stored for up to one month at 4oC. For long-term, aliquot and store at -20oC. Avoid repeated freezing and thawing.

Cross
Bulk Quote Request Form
Name*:
Organization*:
Email*:
Phone Number*:
Catalog No.*:
Comments and Specifics(amount, formulation, etc.)*:
Validation code: Captchapackage Image


Can't read the image? click here to refresh.
    *required field

Your bulk quote request has been submitted successfully!

Please contact us if you have any questions.