• Tel: 858.663.9055
  • SeparatorEmail: info@nsjbio.com
  • Tel: 858.663.9055
  • Email: info@nsjbio.com
Home >> Antibodies >> mGluR1 Antibody / Metabotropic glutamate receptor 1 / GRM1

mGluR1 Antibody / Metabotropic glutamate receptor 1 / GRM1 (RQ5886)

  Catalog No Formulation Size Price (USD)  
Image RQ5886 0.5mg/ml if reconstituted with 0.2ml sterile DI water 100 ug 449
Bulk quote request
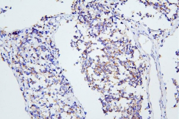
IHC staining of FFPE human glioma with mGluR1 antibody. HIER: boil tissue sections in pH8 EDTA for 20 min and allow to cool before testing.
Western blot testing of human 1) placenta, 2) HeLa, 3) A431, 4) A549, 5) K562, 6) rat brain and 7) mouse brain lysate with mGluR1 antibody. Predicted molecular weight ~132 kDa.
Flow cytometry testing of human A431 cells with mGluR1 antibody at 1ug/million cells (blocked with goat sera); Red=cells alone, Green=isotype control, Blue= mGluR1 antibody.
Flow cytometry testing of human U-2 OS cells with mGluR1 antibody at 1ug/million cells (blocked with goat sera); Red=cells alone, Green=isotype control, Blue= mGluR1 antibody.
Flow cytometry testing of mouse Neuro-2a cells with mGluR1 antibody at 1ug/million cells (blocked with goat sera); Red=cells alone, Green=isotype control, Blue= mGluR1 antibody.
Availability 1-3 business days
Species Reactivity Human, Mouse, Rat
Format Antigen affinity purified
Host Rabbit
Clonality Polyclonal (rabbit origin)
Isotype Rabbit IgG
Purity Affinity purified
Buffer Lyophilized from 1X PBS with 2% Trehalose and 0.025% sodium azide
UniProt Q13255
Applications Western Blot : 0.5-1ug/ml
Immunohistochemistry : 1-2ug/ml
Flow Cytometry : 1-3ug/million cells
Direct ELISA : 0.1-0.5ug/ml
Limitations This mGluR1 antibody is available for research use only.
Review this product on BioCompare and get a $20 Amazon gift card

Related Products

Description

mGluR1 antibody targets Metabotropic glutamate receptor 1 (mGluR1), a G protein-coupled receptor encoded by the GRM1 gene that plays a central role in excitatory neurotransmission and synaptic modulation in the central nervous system. mGluR1 belongs to group I metabotropic glutamate receptors and is predominantly localized to the plasma membrane, where it responds to extracellular glutamate by activating intracellular signaling cascades. Unlike ionotropic glutamate receptors that mediate fast synaptic transmission, mGluR1 regulates slower, modulatory signaling processes that shape neuronal excitability and synaptic plasticity.

Functionally, mGluR1 couples primarily to Gq proteins, leading to activation of phospholipase C and downstream production of inositol trisphosphate and diacylglycerol. This signaling pathway promotes intracellular calcium release and activation of protein kinase signaling networks that influence gene expression, synaptic strength, and neuronal firing patterns. Through these mechanisms, mGluR1 contributes to long-term synaptic plasticity, including forms of long-term depression, and plays an important role in shaping neural circuit function. An mGluR1 antibody supports research investigating glutamate-dependent signaling pathways and their impact on neuronal communication.

mGluR1 expression is particularly enriched in the cerebellum, where it is highly expressed in Purkinje cells and is essential for proper motor coordination and cerebellar function. It is also detected in other brain regions, including the hippocampus and cortex, where it contributes to learning, memory, and sensory processing. The receptor shows cell-type specific expression and subcellular localization, often concentrating at perisynaptic sites where it can sense glutamate spillover during synaptic activity. Studying mGluR1 expression patterns provides insight into region-specific glutamatergic signaling and neuronal network regulation.

From a biological and disease-related perspective, mGluR1 has been extensively studied in the context of neurodevelopmental and neurodegenerative disorders. Altered mGluR1 signaling has been linked to motor dysfunction, ataxia, and cognitive impairment, reflecting its critical role in cerebellar and cortical circuits. Dysregulation of mGluR1 activity has also been explored in epilepsy, neuropsychiatric disorders, and certain cancers, where aberrant glutamate signaling can influence cell proliferation and survival. Research using an mGluR1 antibody is therefore relevant to studies of synaptic signaling, neurological disease mechanisms, and glutamate-driven cellular responses.

At the molecular level, Metabotropic glutamate receptor 1 is a large glycoprotein with an expected core molecular weight of approximately 132 kDa, though it often migrates at higher apparent molecular weights on SDS-PAGE due to glycosylation and receptor dimerization. The extracellular N-terminal domain mediates ligand binding, while the seven-transmembrane domain supports signal transduction across the membrane. Proper receptor function depends on post-translational modifications and interactions with scaffolding proteins that regulate trafficking and signaling efficiency. An mGluR1 antibody enables detection and analysis of receptor expression in research applications focused on glutamatergic signaling and neuronal regulation, with NSJ Bioreagents providing reagents intended for research use.

Application Notes

Optimal dilution of the mGluR1 antibody should be determined by the researcher.

Immunogen

Recombinant human protein (amino acids R25-E466) was used as the immunogen for the mGluR1 antibody.

Storage

After reconstitution, the mGluR1 antibody can be stored for up to one month at 4oC. For long-term, aliquot and store at -20oC. Avoid repeated freezing and thawing.

Cross
Bulk Quote Request Form
Name*:
Organization*:
Email*:
Phone Number*:
Catalog No.*:
Comments and Specifics(amount, formulation, etc.)*:
Validation code: Captchapackage Image


Can't read the image? click here to refresh.
    *required field

Your bulk quote request has been submitted successfully!

Please contact us if you have any questions.