• Tel: 858.663.9055
  • SeparatorEmail: info@nsjbio.com
  • Tel: 858.663.9055
  • Email: info@nsjbio.com
Home >> Antibodies >> MGAT4B Antibody

MGAT4B Antibody (RQ8403)

  Catalog No Formulation Size Price (USD)  
Image RQ8403 0.5mg/ml if reconstituted with 0.2ml sterile DI water 100 ug 449
Bulk quote request
IHC staining of FFPE human glioma tissue with MGAT4B antibody. HIER: boil tissue sections in pH8 EDTA for 20 min and allow to cool before testing.
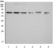
Western blot testing of 1) human HepG2, 2) human RT4, 3) human A431, 4) human Caco-2, 5) rat kidney and 6) mouse kidney tissue lysate with MGAT4B antibody. Predicted molecular weight ~63 kDa but may be observed at higher molecular weights due to glycosylation.
Availability 1-3 business days
Species Reactivity Human, Mouse, Rat
Format Antigen affinity purified
Host Rabbit
Clonality Polyclonal (rabbit origin)
Isotype Rabbit IgG
Purity Antigen affinity purified
Buffer Lyophilized from 1X PBS with 2% Trehalose
UniProt Q9UQ53
Localization Cytoplasm (Golgi)
Applications Western Blot : 0.5-1ug/ml
Immunohistochemistry (FFPE) : 2-5ug/ml
Direct ELISA : 0.1-0.5ug/ml
Limitations This MGAT4B antibody is available for research use only.
Review this product on BioCompare and get a $20 Amazon gift card

Related Products

  • Applications : WB
    Reactivity : Human

Description

Alpha-1,3-mannosyl-glycoprotein 4-beta-N-acetylglucosaminyltransferase B is an enzyme that in humans is encoded by the MGAT4B gene. This gene encodes a key glycosyltransferase that regulates the formation of tri- and multiantennary branching structures in the Golgi apparatus. The encoded protein, in addition to the related isoenzyme A, catalyzes the transfer of N-acetylglucosamine (GlcNAc) from UDP-GlcNAc in a beta-1,4 linkage to the Man-alpha-1,3-Man-beta-1,4-GlcNAc arm of R-Man-alpha-1,6(GlcNAc-beta-1,2-Man-alpha-1,3)Man-beta-1,4-GlcNAc-beta-1,4-GlcNAc-beta-1-Asn. The encoded protein may play a role in regulating the availability of serum glycoproteins, oncogenesis, and differentiation.

Application Notes

Optimal dilution of the MGAT4B antibody should be determined by the researcher.

Immunogen

An E.coli-derived human recombinant protein (Q31-D548) was used as the immunogen for the MGAT4B antibody.

Storage

After reconstitution, the MGAT4B antibody can be stored for up to one month at 4oC. For long-term, aliquot and store at -20oC. Avoid repeated freezing and thawing.

Cross
Bulk Quote Request Form
Name*:
Organization*:
Email*:
Phone Number*:
Catalog No.*:
Comments and Specifics(amount, formulation, etc.)*:
Validation code: Captchapackage Image


Can't read the image? click here to refresh.
    *required field

Your bulk quote request has been submitted successfully!

Please contact us if you have any questions.