• Tel: 858.663.9055
  • SeparatorEmail: info@nsjbio.com
  • Tel: 858.663.9055
  • Email: info@nsjbio.com
Home >> Antibodies >> MFSD2A Antibody / Major facilitator superfamily domain-containing protein 2A

MFSD2A Antibody / Major facilitator superfamily domain-containing protein 2A (FY12563)

  Catalog No Formulation Size Price (USD)  
Image FY12563 Adding 0.2 ml of distilled water will yield a concentration of 500 ug/ml 100 ug 449
Bulk quote request
Immunofluorescent staining of MFSD2A using anti-MFSD2A antibody (green). MFSD2A was detected in an immunocytochemical section of SIHA cells. Enzyme antigen retrieval was performed using IHC enzyme antigen retrieval reagent for 15 mins. The cells were blocked with 10% goat serum. And then incubated with 5 ug/ml rabbit anti-MFSD2A antibody overnight at 4oC. DyLight 488 Conjugated Goat Anti-Rabbit IgG was used as secondary antibody at 1:500 dilution and incubated for 30 minutes at 37oC. The section was counterstained with DAPI nuclear stain (blue). Visualize using a fluorescence microscope and filter sets appropriate for the label used.
Western blot analysis of MFSD2A using anti-MFSD2A antibody. Electrophoresis was performed on a 10% SDS-PAGE gel at 80V (Stacking gel) / 120V (Resolving gel) for 2 hours. Lane 1: human THP-1 whole cell lysates, Lane 2: rat liver tissue lysates, Lane 3: mouse liver tissue lysates. After electrophoresis, proteins were transferred to a nitrocellulose membrane at 150 mA for 50-90 minutes. Blocked the membrane with 5% non-fat milk/TBS for 1.5 hour at RT. The membrane was incubated with rabbit anti-MFSD2A antibody at 0.5 ug/ml overnight at 4oC, then washed with TBS-0.1%Tween 3 times with 5 minutes each and probed with a goat anti-rabbit IgG-HRP secondary antibody at a dilution of 1:5000 for 1.5 hour at RT. The signal was developed using an ECL Plus Western Blotting Substrate. A specific band was detected for MFSD2A at approximately 60 kDa. The expected molecular weight of MFSD2A is ~60 kDa.
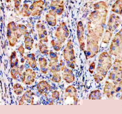
Immunohistochemical staining of MFSD2A using anti-MFSD2A antibody. MFSD2A was detected in a paraffin-embedded section of human liver tissue. Heat mediated antigen retrieval was performed in EDTA buffer (pH 8.0, epitope retrieval solution). The tissue section was blocked with 10% goat serum. The tissue section was then incubated with 2 ug/ml rabbit anti-MFSD2A antibody overnight at 4oC. Peroxidase Conjugated Goat Anti-rabbit IgG was used as secondary antibody and incubated for 30 minutes at 37oC. The tissue section was developed using an HRP secondary and DAB substrate.
Immunofluorescent staining of MFSD2A using anti-MFSD2A antibody (red). MFSD2A was detected in a paraffin-embedded section of human liver cancer tissue. Heat mediated antigen retrieval was performed in EDTA buffer (pH 8.0, epitope retrieval solution). The tissue section was blocked with 10% goat serum. The tissue section was then incubated with 5 ug/ml rabbit anti-MFSD2A antibody overnight at 4oC. Cy3 Conjugated Goat Anti-Rabbit IgG was used as secondary antibody at 1:500 dilution and incubated for 30 minutes at 37oC. The section was counterstained with DAPI nuclear stain (blue). Visualize using a fluorescence microscope and filter sets appropriate for the label used.
Immunohistochemical staining of MFSD2A using anti-MFSD2A antibody. MFSD2A was detected in a paraffin-embedded section of human liver cancer tissue. Heat mediated antigen retrieval was performed in EDTA buffer (pH 8.0, epitope retrieval solution). The tissue section was blocked with 10% goat serum. The tissue section was then incubated with 2 ug/ml rabbit anti-MFSD2A antibody overnight at 4oC. Peroxidase Conjugated Goat Anti-rabbit IgG was used as secondary antibody and incubated for 30 minutes at 37oC. The tissue section was developed using an HRP secondary and DAB substrate.
Availability 1-2 days
Species Reactivity Human, Mouse, Rat
Format Lyophilized
Host Rabbit
Clonality Polyclonal (rabbit origin)
Isotype Rabbit IgG
Purity Immunogen affinity purified
Buffer Each vial contains 4 mg Trehalose, 0.9 mg NaCl, 0.2 mg Na2HPO4.
UniProt Q8NA29
Localization Punctate cytoplasmic, ER, cell membrane
Applications Western Blot : 0.25-0.5ug/ml
Immunohistochemistry : 2-5ug/ml
Immunofluorescence : 5ug/ml
Immunocytochemistry/Immunofluorescence : 5ug/ml
ELISA : 0.1-0.5ug/ml
Limitations This MFSD2A antibody is available for research use only.
Review this product on BioCompare and get a $20 Amazon gift card

Description

MFSD2A antibody detects Major facilitator superfamily domain-containing protein 2A, a sodium-dependent lysophosphatidylcholine symporter that mediates the uptake of docosahexaenoic acid (DHA) into the brain and retina. MFSD2A plays a critical role in maintaining the blood-brain barrier (BBB) and enabling lipid transport across endothelial cells. The MFSD2A antibody is widely used in neuroscience, vascular biology, and metabolic research to investigate BBB integrity, lipid trafficking, and neurodevelopmental regulation.

MFSD2A is encoded by the MFSD2A gene located on human chromosome 1p34.2. The protein belongs to the major facilitator superfamily of solute carriers and is approximately 530 amino acids in length, with 12 predicted transmembrane helices. MFSD2A localizes to the plasma membrane of endothelial cells lining brain capillaries, where it functions as a transporter for lysophosphatidylcholine-bound polyunsaturated fatty acids. Unlike most nutrient transporters at the BBB, MFSD2A is not energy-dependent but couples lipid import to sodium gradients.

The MFSD2A antibody detects a 62 kilodalton band in western blot and demonstrates strong vascular endothelial staining in brain tissue and retina. In mouse models, deletion of MFSD2A results in severe microcephaly, neuronal loss, and impaired synaptic development due to reduced DHA delivery to the brain. In adults, MFSD2A maintains BBB tightness by suppressing vesicular transcytosis, ensuring selective permeability and protecting the central nervous system from toxins and immune cell infiltration.

MFSD2A expression is regulated by pericytes and Wnt/beta-catenin signaling pathways, linking vascular maturation to lipid metabolism. Its dysfunction has been associated with neurodevelopmental disorders, cognitive impairment, and visual defects. In cancer research, MFSD2A acts as a metastasis suppressor by inhibiting vascular leakage and tumor cell extravasation, demonstrating a dual role in nutrient transport and vascular homeostasis.

Beyond the nervous system, MFSD2A participates in lipid absorption in the placenta and peripheral vasculature. Because of its essential function in brain DHA uptake, MFSD2A is a promising target for therapeutic strategies aimed at enhancing neuroprotection and treating BBB disorders. NSJ Bioreagents provides a validated MFSD2A antibody optimized for western blot, immunohistochemistry, and confocal microscopy, supporting studies of lipid transport, barrier regulation, and neurovascular signaling.

Application Notes

Optimal dilution of the MFSD2A antibody should be determined by the researcher.

Immunogen

E.coli-derived human MFSD2A recombinant protein (Position: Q22-L543) was used as the immunogen for the MFSD2A antibody.

Storage

After reconstitution, the MFSD2A antibody can be stored for up to one month at 4oC. For long-term, aliquot and store at -20oC. Avoid repeated freezing and thawing.

Cross
Bulk Quote Request Form
Name*:
Organization*:
Email*:
Phone Number*:
Catalog No.*:
Comments and Specifics(amount, formulation, etc.)*:
Validation code: Captchapackage Image


Can't read the image? click here to refresh.
    *required field

Your bulk quote request has been submitted successfully!

Please contact us if you have any questions.