• Tel: 858.663.9055
  • SeparatorEmail: info@nsjbio.com
  • Tel: 858.663.9055
  • Email: info@nsjbio.com
Home >> Antibodies >> MFGE8 Antibody / Milk Fat Globule-Egf Factor 8

MFGE8 Antibody / Milk Fat Globule-Egf Factor 8 (R31046)

  Catalog No Formulation Size Price (USD)  
Image R31046 0.5mg/ml if reconstituted with 0.2ml sterile DI water 100 ug 449
Bulk quote request
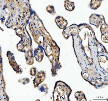
IHC staining of FFPE human placental tissue with MFGE8 antibody. HIER: boil tissue sections in pH8 EDTA for 20 min and allow to cool before testing.
Western blot testing of 1) 5ul of human milk and 2) 2.5ul of human milk with MFGE8 antibody. Expected molecular weight: 30-66 kDa depending glycosylation level.
Availability 1-3 business days
Species Reactivity Human
Format Antigen affinity purified
Host Rabbit
Clonality Polyclonal (rabbit origin)
Isotype Rabbit IgG
Purity Antigen affinity
Buffer Lyophilized from 1X PBS with 2% Thimerosal
UniProt Q08431
Applications Western Blot : 0.5-1ug/ml
Immunohistochemistry (FFPE) : 2-5ug/ml
Limitations This MFGE8 antibody is available for research use only.
Review this product on BioCompare and get a $20 Amazon gift card

Related Products

Description

Milk Fat Globule-Egf Factor 8, also called Lactadherin or SED1, is a protein which in humans is encoded by the MFGE8 gene. It is a secreted protein found in vertebrates, including mammals as well as birds. By fluorescence in situ hybridization, Collins et al.(1997) mapped the gene to chromosome 15q25. Hanayama et al.(2002) found that it is a factor that links apoptotic cells to phagocytes. MFGE8 specifically bound to apoptotic cells by recognizing aminophospholipids such as phosphatidylserine. When engaged by phospholipids, it bound to cells via its RGD motif. It bound particularly strongly to cells expressing alpha-V-beta-3 integrin. Bu et al.(2007) showed that MFGE8 was expressed in intestinal lamina propria macrophages in mice. Using a wound-healing assay, they showed that the protein promoted migration of intestinal epithelial cells through a PKC-epsilon (PRKCE)-dependent mechanism.

Application Notes

The stated application concentrations are suggested starting amounts. Titration of the MFGE8 antibody may be required due to differences in protocols and secondary/substrate sensitivity.

Immunogen

An amino acid sequence from the middle region of human MFGE8 (NGHEFDFIHDVNKKHK) was used as the immunogen for this MFGE8 antibody.

Storage

After reconstitution, the MFGE8 antibody can be stored for up to one month at 4oC. For long-term, aliquot and store at -20oC. Avoid repeated freezing and thawing.

Cross
Bulk Quote Request Form
Name*:
Organization*:
Email*:
Phone Number*:
Catalog No.*:
Comments and Specifics(amount, formulation, etc.)*:
Validation code: Captchapackage Image


Can't read the image? click here to refresh.
    *required field

Your bulk quote request has been submitted successfully!

Please contact us if you have any questions.