• Tel: 858.663.9055
  • SeparatorEmail: info@nsjbio.com
  • Tel: 858.663.9055
  • Email: info@nsjbio.com
Home >> Antibodies >> MFGE8 Antibody

MFGE8 Antibody [clone MFG-06] (V2703)

  Catalog No Formulation Size Price (USD)  
Image V2703-100UG 0.2 mg/ml in 1X PBS with 0.1 mg/ml BSA (US sourced) and 0.05% sodium azide 100 ug 559
Image
V2703-20UG 0.2 mg/ml in 1X PBS with 0.1 mg/ml BSA (US sourced) and 0.05% sodium azide 20 ug 259
Image
V2703SAF-100UG 1 mg/ml in 1X PBS; BSA free, sodium azide free 100 ug 559
Image
V2703IHC-7ML Prediluted in 1X PBS with 0.1 mg/ml BSA (US sourced) and 0.05% sodium azide; *For IHC use only* 7 ml 559
Bulk quote request
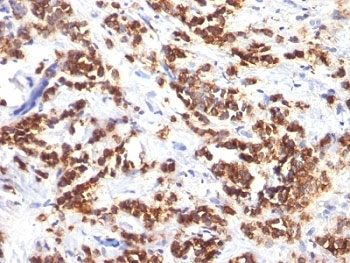
IHC analysis of formalin-fixed, paraffin-embedded human breast carcinoma stained with MFGE8 antibody (clone MFG-06).
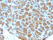
IHC analysis of FFPE human pancreas tested with MFGE8 antibody (clone MFG-06).
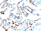
IHC analysis of FFPE human lung carcinoma tested with MFGE8 antibody (clone MFG-06).
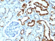
IHC analysis of FFPE human renal cell carcinoma tested with MFGE8 antibody (clone MFG-06).
Western blot testing of MCF7 cell lysate with MFGE8 antibody (clone MFG-06). Expected molecular weight: 30-66 kDa depending glycosylation level.
SDS-PAGE Analysis of Purified, BSA-Free MFGE8 Antibody (clone MFG-06). Confirmation of Integrity and Purity of the Antibody.
Availability 1-3 business days
Species Reactivity Human
Format Purified
Host Mouse
Clonality Monoclonal (mouse origin)
Isotype Mouse IgG1, kappa
Clone Name MFG-06
Purity Protein G affinity chromatography
UniProt Q08431
Localization Cell surface & cytoplasmic
Applications Immunohistochemistry (FFPE) : 0.5-1ug/ml for 30 min at RT
Limitations This MFGE8 antibody is available for research use only.
Review this product on BioCompare and get a $20 Amazon gift card

Related Products

Description

MFGE8 (Milk Fat Globule-EGF Factor 8), also known as Lactadherin, is a secreted glycoprotein that plays important roles in cell adhesion, immune regulation, and tissue homeostasis. It was first identified in milk fat globules, where it contributes to lipid secretion and stabilization, but it is now recognized as a multifunctional protein expressed in a variety of tissues. Researchers often use an MFGE8 antibody to investigate its role in immune clearance, angiogenesis, and cell signaling. HMFG is considered as a differentiation marker. It is useful as specific breast epithelial marker and can also provide a tool to study the role of the cell surface in normal and neoplastic mammary development.

One of the best-characterized functions of MFGE8 is its role in apoptotic cell clearance. By binding to phosphatidylserine on apoptotic cells and integrins on phagocytes, MFGE8 acts as a bridging molecule that promotes efficient engulfment of dying cells. This activity prevents the accumulation of cellular debris and helps maintain immune tolerance. Employing an MFGE8 antibody allows researchers to study this critical function in inflammation, autoimmunity, and tissue repair.

MFGE8 also contributes to angiogenesis and tissue regeneration by interacting with integrins and growth factor pathways. Dysregulation of MFGE8 expression has been linked to cancer progression, chronic inflammatory diseases, and neurodegenerative conditions. In oncology, MFGE8 has been shown to promote tumor growth and immune evasion, making it an area of active research interest. Using an MFGE8 antibody enables scientists to evaluate its expression and distribution in both normal physiology and disease states.

NSJ Bioreagents provides a high-quality MFGE8 antibody validated for western blot, immunohistochemistry, and immunofluorescence. Choosing an MFGE8 antibody from NSJ Bioreagents ensures accurate detection and reproducible results in studies of apoptosis, immune regulation, and angiogenesis.

Application Notes

Optimal dilution of the MFGE8 antibody should be determined by the researcher.

1. Staining of formalin-fixed tissues requires boiling tissue sections in 10mM Citrate buffer, pH 6.0, for 10-20 min followed by cooling at RT for 20 minutes
2. The prediluted format is supplied in a dropper bottle and is optimized for use in IHC. After epitope retrieval step (if required), drip mAb solution onto the tissue section and incubate at RT for 30 min.

Immunogen

A human milk fat globule membrane preparation was used as the immunogen for the MFGE8 antibody.

Storage

Store the MFGE8 antibody at 2-8oC (with azide) or aliquot and store at -20oC or colder (without azide).

Cross
Bulk Quote Request Form
Name*:
Organization*:
Email*:
Phone Number*:
Catalog No.*:
Comments and Specifics(amount, formulation, etc.)*:
Validation code: Captchapackage Image


Can't read the image? click here to refresh.
    *required field

Your bulk quote request has been submitted successfully!

Please contact us if you have any questions.