• Tel: 858.663.9055
  • SeparatorEmail: info@nsjbio.com
  • Tel: 858.663.9055
  • Email: info@nsjbio.com
Home >> Antibodies >> MFAP3 Antibody / Microfibril-associated glycoprotein 3

MFAP3 Antibody / Microfibril-associated glycoprotein 3 (RQ8437)

  Catalog No Formulation Size Price (USD)  
Image RQ8437 0.5mg/ml if reconstituted with 0.2ml sterile DI water 100 ug 449
Bulk quote request
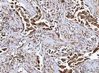
IHC staining of FFPE human breast cancer tissue with MFAP3 antibody. HIER: boil tissue sections in pH8 EDTA for 20 min and allow to cool before testing.
IHC staining of FFPE human liver cancer tissue with MFAP3 antibody. HIER: boil tissue sections in pH8 EDTA for 20 min and allow to cool before testing.
IHC staining of FFPE mouse brain tissue with MFAP3 antibody. HIER: boil tissue sections in pH8 EDTA for 20 min and allow to cool before testing.
IHC staining of FFPE rat brain tissue with MFAP3 antibody. HIER: boil tissue sections in pH8 EDTA for 20 min and allow to cool before testing.
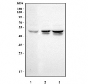
Western blot testing of human 1) HepG2, 2) Caco-2 and 3) A549 cell lysate with MFAP3 antibody. Predicted molecular weight ~40 kDa but may be observed at higher molecular weights due to glycosylation
Flow cytometry testing of fixed and permeabilized human 293T cells with MFAP3 antibody at 1ug/million cells (blocked with goat sera); Red=cells alone, Green=isotype control, Blue= MFAP3 antibody.
Availability 1-3 business days
Species Reactivity Human, Mouse, Rat
Format Antigen affinity purified
Host Rabbit
Clonality Polyclonal (rabbit origin)
Isotype Rabbit IgG
Purity Antigen affinity purified
Buffer Lyophilized from 1X PBS with 2% Trehalose
UniProt P55082
Localization Cell membrane, cytoplasm, nucleus
Applications Western Blot : 0.5-1ug/ml
Immunohistochemistry (FFPE) : 2-5ug/ml
Flow Cytometry : 1-3ug/million cells
Direct ELISA : 0.1-0.5ug/ml
Limitations This MFAP3 antibody is available for research use only.
Review this product on BioCompare and get a $20 Amazon gift card

Description

Microfibril-associated glycoprotein 3 (MFAP3), is a member of the MFAP family which play a role in microfibril assembly, elastinogenesis, and tissue homeostasis. The family members were identified as potential components of fibrillin-containing microfibrils, but they do not share structural similarities. MFAP3 is found in ocular zonules. Human MFAP3 is a serine-rich acidic protein located in zonular fibers and consists of an extracellular domain (ECD) containing one Ig-like C2-type domain, a single transmembrane domain, and a cytoplasmic domain. Within the ECD, mature human MFAP3 shares 74% amino acid sequence identity with mouse and rat MFAP3. Among MFAP3-related pathways are degradation of the extracellular matrix and elastic fiber formation. MFAP is a candidate gene for heritable diseases affecting microfibrils.

Application Notes

Optimal dilution of the MFAP3 antibody should be determined by the researcher.

Immunogen

An E.coli-derived human recombinant protein (A19-N349) was used as the immunogen for the MFAP3 antibody.

Storage

After reconstitution, the MFAP3 antibody can be stored for up to one month at 4oC. For long-term, aliquot and store at -20oC. Avoid repeated freezing and thawing.

Cross
Bulk Quote Request Form
Name*:
Organization*:
Email*:
Phone Number*:
Catalog No.*:
Comments and Specifics(amount, formulation, etc.)*:
Validation code: Captchapackage Image


Can't read the image? click here to refresh.
    *required field

Your bulk quote request has been submitted successfully!

Please contact us if you have any questions.