• Tel: 858.663.9055
  • SeparatorEmail: info@nsjbio.com
  • Tel: 858.663.9055
  • Email: info@nsjbio.com
Home >> Antibodies >> METTL3 Antibody

METTL3 Antibody (RQ6198)

  Catalog No Formulation Size Price (USD)  
Image RQ6198 0.5mg/ml if reconstituted with 0.2ml sterile DI water 100 ug 449
Bulk quote request
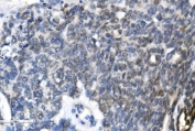
IHC staining of FFPE human gastric cancer with METTL3 antibody. HIER: boil tissue sections in pH8 EDTA for 20 min and allow to cool before testing.
IHC staining of FFPE human ovarian cancer with METTL3 antibody. HIER: boil tissue sections in pH8 EDTA for 20 min and allow to cool before testing.
Immunofluorescent staining of FFPE human PC-3 cells with METTL3 antibody (green) and DAPI nuclear stain (blue). HIER: steam section in pH6 citrate buffer for 20 min.
Western blot testing of human 1) PC-3, 2) HepG2, 3) A549, 4) HEK293, 5) HeLa, 6) Caco-2 and 7) K562 cell lysate with METTL3 antibody. Predicted molecular weight ~75 kDa.
Flow cytometry testing of human ThP-1 cells with METTL3 antibody at 1ug/million cells (blocked with goat sera); Red=cells alone, Green=isotype control, Blue= METTL3 antibody.
Availability 1-3 business days
Species Reactivity Human
Format Antigen affinity purified
Host Rabbit
Clonality Polyclonal (rabbit origin)
Isotype Rabbit IgG
Purity Affinity purified
Buffer Lyophilized from 1X PBS with 2% Trehalose and 0.0125% sodium azide
UniProt Q86U44
Localization Cytoplasmic, nuclear
Applications Western Blot : 1-2ug/ml
Flow Cytometry : 1-3ug/million cells
Immunohistochemistry (FFPE) : 2-5ug/ml
Immunofluorescence : 5ug/ml
Direct ELISA : 0.1-0.5ug/ml
Limitations This METTL3 antibody is available for research use only.
Review this product on BioCompare and get a $20 Amazon gift card

Related Products

Description

N6-adenosine-methyltransferase 70 kDa subunit (METTL3) is an enzyme that in humans is encoded by the METTL3 gene. It is mapped to 14q11.2. This gene encodes the 70 kDa subunit of MT-A which is part of N6-adenosine-methyltransferase. This enzyme is involved in the posttranscriptional methylation of internal adenosine residues in eukaryotic mRNAs, forming N6-methyladenosine.

Application Notes

Optimal dilution of the METTL3 antibody should be determined by the researcher.

Immunogen

Amino acids HNVQPNWITLGNQLDGIHLLDPDVVARFKQRYPDGIISKPKNL from the human protein were used as the immunogen for the METTL3 antibody.

Storage

After reconstitution, the METTL3 antibody can be stored for up to one month at 4oC. For long-term, aliquot and store at -20oC. Avoid repeated freezing and thawing.

Cross
Bulk Quote Request Form
Name*:
Organization*:
Email*:
Phone Number*:
Catalog No.*:
Comments and Specifics(amount, formulation, etc.)*:
Validation code: Captchapackage Image


Can't read the image? click here to refresh.
    *required field

Your bulk quote request has been submitted successfully!

Please contact us if you have any questions.