• Tel: 858.663.9055
  • SeparatorEmail: info@nsjbio.com
  • Tel: 858.663.9055
  • Email: info@nsjbio.com
Home >> Antibodies >> METTL18 Antibody / Methyltransferase-like protein 18 / AsTP2

METTL18 Antibody / Methyltransferase-like protein 18 / AsTP2 (RQ8695)

  Catalog No Formulation Size Price (USD)  
Image RQ8695 0.5mg/ml if reconstituted with 0.2ml sterile DI water 100 ug 449
Bulk quote request
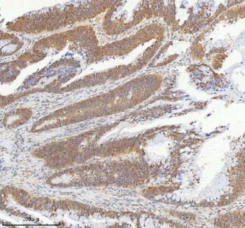
IHC staining of FFPE human colon adenocarcinoma tissue with METTL18 antibody. HIER: boil tissue sections in pH8 EDTA for 20 min and allow to cool before testing.
IHC staining of FFPE human colon adenocarcinoma tissue with METTL18 antibody. HIER: boil tissue sections in pH8 EDTA for 20 min and allow to cool before testing.
IHC staining of FFPE human placental tissue with METTL18 antibody. HIER: boil tissue sections in pH8 EDTA for 20 min and allow to cool before testing.
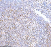
IHC staining of FFPE diffuse large B-cell lymphoma of human intestine tissue with METTL18 antibody. HIER: boil tissue sections in pH8 EDTA for 20 min and allow to cool before testing.
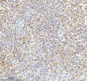
IHC staining of FFPE human tonsil tissue with METTL18 antibody. HIER: boil tissue sections in pH8 EDTA for 20 min and allow to cool before testing.
Immunofluorescent staining of FFPE human U-2OS cells with METTL18 antibody (red) and Beta Tubulin mAb (green). HIER: steam section in pH6 citrate buffer for 20 min.
Western blot testing of human 1) A431 and 2) PC-3 cell lysate with METTL18 antibody. Predicted molecular weight ~42 kDa.
Flow cytometry testing of fixed and permeabilized human A431 cells with METTL18 antibody at 1ug/million cells (blocked with goat sera); Red=cells alone, Green=isotype control, Blue= METTL18 antibody.
Availability 1-3 days
Species Reactivity Human
Format Antigen affinity purified
Host Rabbit
Clonality Polyclonal (rabbit origin)
Isotype Rabbit IgG
Purity Antigen affinity chromatography
Buffer Lyophilized from 1X PBS with 2% Trehalose
UniProt O95568
Localization Cytoplasm, Nucleus
Applications Western Blot : 1-2ug/ml
Immunohistochemistry (FFPE) : 2-5ug/ml
Immunofluorescence : 5ug/ml
Flow Cytometry : 1-3ug/million cells
ELISA : 0.1-0.5ug/ml
Limitations This METTL18 antibody is available for research use only.
Review this product on BioCompare and get a $20 Amazon gift card

Description

METTL18 belongs to a family of protein lysine methyltransferases that methylate nonhistone proteins. Methyltransferases catalyze the transfer of a methyl group from a donor, generally S-adenosyl-L-methionine, to acceptor molecules, including proteins, DNA, RNA, lipids, and small metabolites. METTL18 is involved in peptidyl-lysine monomethylation.

Application Notes

Optimal dilution of the METTL18 antibody should be determined by the researcher.

Immunogen

An E.coli-derived human recombinant protein (amino acids R21-Q338) was used as the immunogen for the METTL18 antibody.

Storage

After reconstitution, the METTL18 Antibody can be stored for up to one month at 4oC. For long-term, aliquot and store at -20oC. Avoid repeated freezing and thawing.

Cross
Bulk Quote Request Form
Name*:
Organization*:
Email*:
Phone Number*:
Catalog No.*:
Comments and Specifics(amount, formulation, etc.)*:
Validation code: Captchapackage Image


Can't read the image? click here to refresh.
    *required field

Your bulk quote request has been submitted successfully!

Please contact us if you have any questions.