- Tel: 858.663.9055
- 
									 Email: info@nsjbio.com Email: info@nsjbio.com
- Tel: 858.663.9055
- Email: info@nsjbio.com
 Email: info@nsjbio.com
Email: info@nsjbio.com
								Related Products
| 
 | 
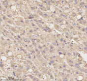
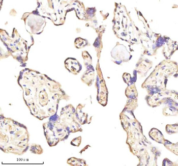
MEST antibody detects Mesoderm-specific transcript protein, an imprinted gene product associated with growth, differentiation, and placental development. The UniProt recommended name is Mesoderm-specific transcript protein (MEST), with alternate names including paternally expressed gene 1 (PEG1) and alpha/beta hydrolase domain-containing protein 14C. MEST belongs to the alpha/beta hydrolase superfamily and is expressed predominantly from the paternal allele, exhibiting tissue-specific imprinting patterns.
Functionally, MEST antibody identifies a 335-amino-acid protein that contains a predicted hydrolase fold and is implicated in adipocyte differentiation, embryonic growth, and metabolic regulation. Although its enzymatic substrate remains uncertain, structural homology suggests esterase or lipase-like activity. MEST is expressed during mesoderm formation and plays a key role in development of the placenta, skeletal muscle, and adipose tissue. Elevated MEST expression correlates with obesity, insulin resistance, and altered lipid storage, suggesting a regulatory role in adipogenesis and energy metabolism.
The MEST antibody is used to study genomic imprinting, epigenetic regulation, and developmental gene expression. MEST is a key marker for parent-of-origin gene expression studies, given that it is expressed exclusively from the paternal allele in most tissues. The MEST gene is located on chromosome 7q32.2 and lies within an imprinted domain regulated by differential DNA methylation. Aberrant methylation or loss of imprinting at this locus has been associated with developmental disorders such as Silver-Russell syndrome and growth abnormalities.
In adult tissues, MEST expression is detected in adipocytes, brain, and pancreas, where it influences energy balance and metabolic plasticity. Research suggests that MEST interacts with Wnt signaling pathways to regulate cell fate determination and tissue remodeling. In cancer, MEST dysregulation has been linked to metastasis and epithelial-to-mesenchymal transition (EMT). Overexpression of MEST promotes cell migration and invasion, while silencing reduces tumor aggressiveness.
MEST antibody applications include western blotting, immunofluorescence, and RT-qPCR normalization in imprinting and developmental biology research. Because of its epigenetic regulation, MEST serves as a valuable biomarker for studying parental imprinting effects and obesity-related gene expression. NSJ Bioreagents provides this antibody validated for research use in developmental biology, epigenetics, and metabolic disease studies.
Optimal dilution of the MEST antibody should be determined by the researcher.
E.coli-derived human MEST recombinant protein (Position: A21-D320) was used as the immunogen for the MEST antibody.
After reconstitution, the MEST antibody can be stored for up to one month at 4oC. For long-term, aliquot and store at -20oC. Avoid repeated freezing and thawing.
 
Your bulk quote request has been submitted successfully!
Please contact us if you have any questions.