• Tel: 858.663.9055
  • SeparatorEmail: info@nsjbio.com
  • Tel: 858.663.9055
  • Email: info@nsjbio.com
Home >> Antibodies >> Mesothelial Cell Antibody

Mesothelial Cell Antibody [clone HBME-1] (V5833S)

  Catalog No Formulation Size Price (USD)  
Image V5833S-0.5ML Bioreactor concentrate with 0.05% sodium azide 0.5 ml 559
Image
V5833S-0.1ML Bioreactor concentrate with 0.05% sodium azide 0.1 ml 259
Bulk quote request
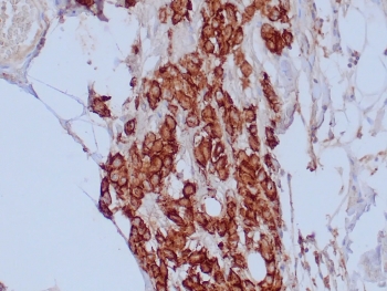
IHC staining of FFPE human mesothelioma tissue with Mesothelial Cell antibody (clone HBME-1). HIER: boil tissue sections in pH 9 10mM Tris with 1mM EDTA for 20 min and allow to cool before testing.
Availability 1-3 business days
Species Reactivity Human
Format Bioreactor concentrate
Host Mouse
Clonality Monoclonal (mouse origin)
Isotype Mouse IgM, kappa
Clone Name HBME-1
Localization Cell membrane
Applications Immunofluorescence : 1:100-1:200
Immunohistochemistry (FFPE) : 1:100-1:200
Limitations This Mesothelial Cell antibody is available for research use only.
Review this product on BioCompare and get a $20 Amazon gift card

Description

This antibody reacts with an unknown antigen on microvilli of mesothelioma cells. It stains normal mesothelial cells as well as epithelial mesotheliomas in a thick membrane pattern due to abundant lung microvilli on the surface of these cells.

Mesothelioma, a form of cancer caused by previous exposure to asbestos, causes malignant cells to flourish within the mesothelium, a protective lining that covers most of the internal organs of the body. Mesothelioma is most commonly found in the pleura, but it may also occur in the pericardium or peritoneum. When asbestos fibers deposit in the parenchyma of the lung, they penetrate the visceral pleura, from where the fiber can then be carried to the pleural surface, leading to the development of malignant mesothelial plaques. Shortness of breath, cough and pain in the chest due to an accumulation of fluid in the pleural space are often symptoms of Mesothelioma, but may not appear until 20 to 50 years after an initial exposure to asbestos. Because Mesothelioma is a highly aggressive tumor that is generally deadly, treatments using conventional therapies are not successful, limiting patients to a median survival time of 6-12 months after presentation. Markers for Mesothelioma are useful in the study of function and behavior of this tissue.

Application Notes

Optimal dilution of the Mesothelial Cell antibody should be determined by the researcher.

Immunogen

Human mesothelioma cells from patients with malignant epithelial mesothelioma were used as the immunogen for the Mesothelial Cell antibody.

Storage

Aliquot the Mesothelial Cell antibody and store frozen at -20oC or colder. Avoid repeated freeze-thaw cycles.

Cross
Bulk Quote Request Form
Name*:
Organization*:
Email*:
Phone Number*:
Catalog No.*:
Comments and Specifics(amount, formulation, etc.)*:
Validation code: Captchapackage Image


Can't read the image? click here to refresh.
    *required field

Your bulk quote request has been submitted successfully!

Please contact us if you have any questions.