• Tel: 858.663.9055
  • SeparatorEmail: info@nsjbio.com
  • Tel: 858.663.9055
  • Email: info@nsjbio.com
Home >> Antibodies >> MerTK Antibody

MerTK Antibody (RQ6497)

  Catalog No Formulation Size Price (USD)  
Image RQ6497 0.5mg/ml if reconstituted with 0.2ml sterile DI water 100 ug 449
Bulk quote request
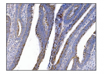
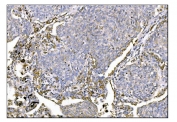
IHC staining of FFPE human rectal cancer tissue with MerTK antibody. HIER: boil tissue sections in pH8 EDTA for 20 min and allow to cool before testing.
IHC staining of FFPE human gallbladder adenocarcinoma tissue with MerTK antibody. HIER: boil tissue sections in pH8 EDTA for 20 min and allow to cool before testing.
IHC staining of FFPE human liver cancer tissue with MerTK antibody. HIER: boil tissue sections in pH8 EDTA for 20 min and allow to cool before testing.
IHC staining of FFPE human lung cancer tissue with MerTK antibody. HIER: boil tissue sections in pH8 EDTA for 20 min and allow to cool before testing.
IHC staining of FFPE human lymphoma tissue with MerTK antibody. HIER: boil tissue sections in pH8 EDTA for 20 min and allow to cool before testing.
IHC staining of FFPE human placental tissue with MerTK antibody. HIER: boil tissue sections in pH8 EDTA for 20 min and allow to cool before testing.
Western blot testing of 1) human HepG2, 2) human Jurkat, 3) human Caco-2, 4) rat testis, 5) rat lung, 6) mouse testis and 7) mouse lung lysate with MerTK antibody. Expected molecular weight: 110~205 kDa depending on glycosylation level.
Flow cytometry testing of human HepG2 cells with MerTK antibody at 1ug/million cells (blocked with goat sera); Red=cells alone, Green=isotype control, Blue= MerTK antibody.
Availability 1-3 business days
Species Reactivity Human, Mouse, Rat
Format Antigen affinity purified
Host Rabbit
Clonality Polyclonal (rabbit origin)
Isotype Rabbit IgG
Purity Affinity purified
Buffer Lyophilized from 1X PBS with 2% Trehalose
UniProt Q12866
Applications Western Blot : 1-2ug/ml
Immunohistochemistry (FFPE) : 2-5ug/ml
Flow Cytometry : 1-3ug/million cells
Direct ELISA : 0.1-0.5ug/ml
Limitations This MerTK antibody is available for research use only.
Review this product on BioCompare and get a $20 Amazon gift card

Related Products

  • Applications : IHC-P
    Reactivity : Human
    Microvalidated
  • Applications : IHC-P
    Reactivity : Human
    Microvalidated
  • Applications : IHC-P
    Reactivity : Human
    Microvalidated
  • Applications : IHC-P
    Reactivity : Human
    Microvalidated
  • Applications : IHC-P
    Reactivity : Human
  • Applications : WB, FACS
    Reactivity : Human, Mouse, Rat, Monkey
  • Applications : IHC, FACS, IF, WB, ELISA
    Reactivity : Human
  • Applications : WB, ELISA
    Reactivity : Mouse, Rat
  • Applications : WB, ELISA (peptide)
    Reactivity : Human

Description

Proto-oncogene tyrosine-protein kinase MER, also called MERTK is an enzyme that in humans is encoded by the MERTK gene. This gene is a member of the MER/AXL/TYRO3 receptor kinase family and encodes a transmembrane protein with two fibronectin type-III domains, two Ig-like C2-type(immunoglobulin-like) domains, and one tyrosine kinase domain. This gene is mapped to 2q13. MERTK signaling plays a role in various processes such as macrophage clearance of apoptotic cells, platelet aggregation, cytoskeleton reorganization and engulfment. This gene is also very important in inhibition of Toll-like receptors(TLRs)-mediated innate immune response by activating STAT1, which selectively induces production of suppressors of cytokine signaling SOCS1 and SOCS3.

Application Notes

Optimal dilution of the MerTK antibody should be determined by the researcher.

Immunogen

An E. coli-derived human protein (amino acids A21-A489) was used as the immunogen for the MerTK antibody.

Storage

After reconstitution, the MerTK antibody can be stored for up to one month at 4oC. For long-term, aliquot and store at -20oC. Avoid repeated freezing and thawing.

Cross
Bulk Quote Request Form
Name*:
Organization*:
Email*:
Phone Number*:
Catalog No.*:
Comments and Specifics(amount, formulation, etc.)*:
Validation code: Captchapackage Image


Can't read the image? click here to refresh.
    *required field

Your bulk quote request has been submitted successfully!

Please contact us if you have any questions.