• Tel: 858.663.9055
  • SeparatorEmail: info@nsjbio.com
  • Tel: 858.663.9055
  • Email: info@nsjbio.com
Home >> Antibodies >> MEP1B Antibody / Meprin A subunit beta

MEP1B Antibody / Meprin A subunit beta (FY12353)

  Catalog No Formulation Size Price (USD)  
Image FY12353 Adding 0.2 ml of distilled water will yield a concentration of 500 ug/ml 100 ug 449
Bulk quote request
Immunofluorescent staining of MEP1B using anti-MEP1B antibody (red). MEP1B was detected in paraffin-embedded section of mouse colon tissue. Heat mediated antigen retrieval was performed in EDTA buffer (pH 8.0, epitope retrieval solution). The tissue section was blocked with 10% goat serum. The tissue section was then incubated with 5ug/ml rabbit anti-MEP1B antibody overnight at 4oC. Dylight 550 Conjugated Goat Anti-Rabbit IgG was used as secondary antibody at 1:500 dilution and incubated for 30 minutes at 37oC. The section was counterstained with DAPI nuclear stain (blue). Visualize using a fluorescence microscope and filter sets appropriate for the label used.
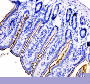
Immunohistochemical staining of MEP1B using anti-MEP1B antibody. MEP1B was detected in a paraffin-embedded section of mouse intestine tissue. Heat mediated antigen retrieval was performed in EDTA buffer (pH 8.0, epitope retrieval solution). The tissue section was blocked with 10% goat serum. The tissue section was then incubated with 2 ug/ml rabbit anti-MEP1B antibody overnight at 4oC. Peroxidase Conjugated Goat Anti-rabbit IgG was used as secondary antibody and incubated for 30 minutes at 37oC. The tissue section was developed using an HRP secondary and DAB substrate.
Immunohistochemical staining of MEP1B using anti-MEP1B antibody. MEP1B was detected in a paraffin-embedded section of rat intestine tissue. Heat mediated antigen retrieval was performed in EDTA buffer (pH 8.0, epitope retrieval solution). The tissue section was blocked with 10% goat serum. The tissue section was then incubated with 2 ug/ml rabbit anti-MEP1B antibody overnight at 4oC. Peroxidase Conjugated Goat Anti-rabbit IgG was used as secondary antibody and incubated for 30 minutes at 37oC. The tissue section was developed using an HRP secondary and DAB substrate.
Immunofluorescent staining of MEP1B using anti-MEP1B antibody (red). MEP1B was detected in paraffin-embedded section of rat colon tissue. Heat mediated antigen retrieval was performed in EDTA buffer (pH 8.0, epitope retrieval solution). The tissue section was blocked with 10% goat serum. The tissue section was then incubated with 5ug/ml rabbit anti-MEP1B antibody overnight at 4oC. Dylight 550 Conjugated Goat Anti-Rabbit IgG was used as secondary antibody at 1:500 dilution and incubated for 30 minutes at 37oC. The section was counterstained with DAPI nuclear stain (blue). Visualize using a fluorescence microscope and filter sets appropriate for the label used.
Western blot analysis of MEP1B using anti-MEP1B antibody. Electrophoresis was performed on a 10% SDS-PAGE gel at 80V (Stacking gel) / 120V (Resolving gel) for 2-3 hours. Lane 1: rat small intestine tissue lysates, Lane 2: mouse small intestine tissue lysates. After electrophoresis, proteins were transferred to a nitrocellulose membrane at 150 mA for 50-90 minutes. Blocked the membrane with 5% non-fat milk/TBS for 1.5 hour at RT. The membrane was incubated with rabbit anti-MEP1B antibody at 0.5 ug/ml overnight at 4oC, then washed with TBS-0.1%Tween 3 times with 5 minutes each and probed with a goat anti-rabbit IgG-HRP secondary antibody at a dilution of 1:5000 for 1.5 hour at RT. The signal was developed using an ECL Plus Western Blotting Substrate. The expected molecular weight of MEP1B is ~80 kDa.
Availability 1-2 days
Species Reactivity Human, Mouse, Rat
Format Lyophilized
Host Rabbit
Clonality Polyclonal (rabbit origin)
Isotype Rabbit IgG
Purity Immunogen affinity purified
Buffer Each vial contains 4 mg Trehalose, 0.9 mg NaCl, 0.2 mg Na2HPO4.
UniProt Q16820
Applications Western Blot : 0.25-0.5ug/ml
Immunohistochemistry : 2-5ug/ml
Immunofluorescence : 5ug/ml
ELISA : 0.1-0.5ug/ml
Limitations This MEP1B antibody is available for research use only.
Review this product on BioCompare and get a $20 Amazon gift card

Description

The MEP1B antibody targets Meprin A subunit beta, a zinc metalloprotease encoded by the MEP1B gene. This enzyme is a member of the astacin family of metalloproteases and plays a key role in extracellular matrix remodeling, proteolytic processing of bioactive molecules, and epithelial homeostasis. Meprin A subunit beta combines with Meprin A subunit alpha or forms homodimers to generate active protease complexes localized at the plasma membrane. The MEP1B antibody provides researchers with a reliable means to study this protease's structure, function, and contribution to physiological and pathological processes.

Meprin A subunit beta is synthesized as a zymogen and activated through proteolytic cleavage. Once active, it catalyzes the hydrolysis of various substrates, including extracellular matrix proteins such as collagen, fibronectin, and laminin, as well as cytokines and growth factors. These activities make Meprin A subunit beta a crucial regulator of tissue remodeling and inflammatory signaling. The MEP1B antibody allows scientists to detect this enzyme in epithelial cells, intestinal mucosa, and kidney proximal tubules, where it plays essential roles in maintaining barrier function and proteolytic balance.

Mutations or altered expression of MEP1B have been linked to inflammatory bowel disease, fibrosis, and cancer. Overexpression may enhance degradation of matrix components, facilitating tumor invasion or chronic tissue injury, while loss of function can impair epithelial integrity. The MEP1B antibody enables evaluation of these changes in expression patterns, helping clarify the connection between Meprin A subunit beta and disease pathology. Recent studies also suggest Meprin B's involvement in activation of interleukin precursors and complement components, further extending its biological significance.

At the molecular level, Meprin A subunit beta anchors to the plasma membrane via a transmembrane domain, orienting its catalytic site extracellularly. It interacts with glycoproteins and proteoglycans that influence its enzymatic specificity and activity. The MEP1B antibody is an effective tool for studying these protein�protein interactions using western blotting, immunohistochemistry, and immunofluorescence. Researchers frequently apply it in tissue-based assays to evaluate distribution and regulation in kidney, intestine, and liver, where the enzyme's expression is most prominent.

Beyond normal physiology, Meprin A subunit beta has drawn attention for its potential contribution to neurodegenerative and fibrotic disorders. Proteolytic imbalance caused by excess Meprin activity can exacerbate inflammatory cascades and extracellular matrix turnover. The MEP1B antibody from NSJ Bioreagents allows reproducible and sensitive detection, supporting investigations into protease-mediated signaling and tissue remodeling. Through consistent performance across experimental applications, this reagent assists in advancing understanding of how metalloprotease activity shapes health and disease.

Application Notes

Optimal dilution of the MEP1B antibody should be determined by the researcher.

Immunogen

E.coli-derived human MEP1B recombinant protein (Position: H73-Q489) was used as the immunogen for the MEP1B antibody.

Storage

After reconstitution, the MEP1B antibody can be stored for up to one month at 4oC. For long-term, aliquot and store at -20oC. Avoid repeated freezing and thawing.

Cross
Bulk Quote Request Form
Name*:
Organization*:
Email*:
Phone Number*:
Catalog No.*:
Comments and Specifics(amount, formulation, etc.)*:
Validation code: Captchapackage Image


Can't read the image? click here to refresh.
    *required field

Your bulk quote request has been submitted successfully!

Please contact us if you have any questions.