• Tel: 858.663.9055
  • SeparatorEmail: info@nsjbio.com
  • Tel: 858.663.9055
  • Email: info@nsjbio.com
Home >> Antibodies >> MELTF Antibody / Melanotransferrin / MFI2

MELTF Antibody / Melanotransferrin / MFI2 (FY12944)

  Catalog No Formulation Size Price (USD)  
Image FY12944 Adding 0.2 ml of distilled water will yield a concentration of 500 ug/ml 100 ug 449
Bulk quote request
Western blot analysis of MELTF using anti-MELTF antibody. Lane 1: rat skin tissue lysates, Lane 2: rat C6 whole cell lysates, Lane 3: mouse skin tissue lysates. After electrophoresis, proteins were transferred to a nitrocellulose membrane at 150 mA for 50-90 minutes. Blocked the membrane with 5% non-fat milk/TBS for 1.5 hour at RT. The membrane was incubated with rabbit anti-MELTF antibody at 0.5 ug/ml overnight at 4oC, then washed with TBS-0.1%Tween 3 times with 5 minutes each and probed with a goat anti-rabbit IgG-HRP secondary antibody at a dilution of 1:5000 for 1.5 hour at RT. The signal was developed using enhanced chemiluminescent. A single band is detected at ~90 kDa in rat and mouse samples, running above the ~80 kDa prediction. The higher migration is consistent with the mature, heavily N-glycosylated and GPI-anchored forms of melanotransferrin commonly observed in rodent tissues.
Western blot analysis of MELTF using anti-MELTF antibody. Lane 1: human whole cell lysates, Lane 2: human whole cell lysates, Lane 3: human whole cell lysates, Lane 4: human PC-3 whole cell lysates. After electrophoresis, proteins were transferred to a nitrocellulose membrane at 150 mA for 50-90 minutes. Blocked the membrane with 5% non-fat milk/TBS for 1.5 hour at RT. The membrane was incubated with rabbit anti-MELTF antibody at 0.5 ug/ml overnight at 4oC, then washed with TBS-0.1%Tween 3 times with 5 minutes each and probed with a goat anti-rabbit IgG-HRP secondary antibody at a dilution of 1:5000 for 1.5 hour at RT. The signal was developed using enhanced chemiluminescent. Human cell lysates show a ~90 kDa doublet, consistent with differential N-glycosylation and membrane (GPI-anchored) versus secreted processing variants reported for melanotransferrin.
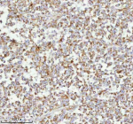
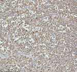
Immunohistochemical staining of MELTF using anti-MELTF antibody. MELTF was detected in a paraffin-embedded section of human melanoma cancer tissue. Heat mediated antigen retrieval was performed in EDTA buffer (pH 8.0, epitope retrieval solution). The tissue section was blocked with 10% goat serum. The tissue section was then incubated with 2 ug/ml rabbit anti-MELTF antibody overnight at 4oC. Peroxidase Conjugated Goat Anti-rabbit IgG was used as secondary antibody and incubated for 30 minutes at 37oC. The tissue section was developed using an HRP secondary and DAB substrate.
Immunohistochemical staining of MELTF using anti-MELTF antibody. MELTF was detected in a paraffin-embedded section of human melanoma cancer tissue. Heat mediated antigen retrieval was performed in EDTA buffer (pH 8.0, epitope retrieval solution). The tissue section was blocked with 10% goat serum. The tissue section was then incubated with 2 ug/ml rabbit anti-MELTF antibody overnight at 4oC. Peroxidase Conjugated Goat Anti-rabbit IgG was used as secondary antibody and incubated for 30 minutes at 37oC. The tissue section was developed using an HRP secondary and DAB substrate.
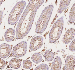
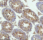
Immunohistochemical staining of MELTF using anti-MELTF antibody. MELTF was detected in a paraffin-embedded section of mouse testis tissue. Heat mediated antigen retrieval was performed in EDTA buffer (pH 8.0, epitope retrieval solution). The tissue section was blocked with 10% goat serum. The tissue section was then incubated with 2 ug/ml rabbit anti-MELTF antibody overnight at 4oC. Peroxidase Conjugated Goat Anti-rabbit IgG was used as secondary antibody and incubated for 30 minutes at 37oC. The tissue section was developed using an HRP secondary and DAB substrate.
Immunohistochemical staining of MELTF using anti-MELTF antibody. MELTF was detected in a paraffin-embedded section of mouse testis tissue. Heat mediated antigen retrieval was performed in EDTA buffer (pH 8.0, epitope retrieval solution). The tissue section was blocked with 10% goat serum. The tissue section was then incubated with 2 ug/ml rabbit anti-MELTF antibody overnight at 4oC. Peroxidase Conjugated Goat Anti-rabbit IgG was used as secondary antibody and incubated for 30 minutes at 37oC. The tissue section was developed using an HRP secondary and DAB substrate.
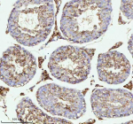
Immunohistochemical staining of MELTF using anti-MELTF antibody. MELTF was detected in a paraffin-embedded section of rat testis tissue. Heat mediated antigen retrieval was performed in EDTA buffer (pH 8.0, epitope retrieval solution). The tissue section was blocked with 10% goat serum. The tissue section was then incubated with 2 ug/ml rabbit anti-MELTF antibody overnight at 4oC. Peroxidase Conjugated Goat Anti-rabbit IgG was used as secondary antibody and incubated for 30 minutes at 37oC. The tissue section was developed using an HRP secondary and DAB substrate.
Immunohistochemical staining of MELTF using anti-MELTF antibody. MELTF was detected in a paraffin-embedded section of rat testis tissue. Heat mediated antigen retrieval was performed in EDTA buffer (pH 8.0, epitope retrieval solution). The tissue section was blocked with 10% goat serum. The tissue section was then incubated with 2 ug/ml rabbit anti-MELTF antibody overnight at 4oC. Peroxidase Conjugated Goat Anti-rabbit IgG was used as secondary antibody and incubated for 30 minutes at 37oC. The tissue section was developed using an HRP secondary and DAB substrate.
Availability 1-2 days
Species Reactivity Human, Mouse, Rat
Format Lyophilized
Host Rabbit
Clonality Polyclonal (rabbit origin)
Isotype Rabbit IgG
Purity Immunogen affinity purified
Buffer Each vial contains 4 mg Trehalose, 0.9 mg NaCl, 0.2 mg Na2HPO4.
UniProt P08582
Applications Western Blot : 0.25-0.5ug/ml
Immunohistochemistry : 2-5ug/ml
ELISA : 0.1-0.5ug/ml
Limitations This MELTF antibody is available for research use only.
Review this product on BioCompare and get a $20 Amazon gift card

Description

MELTF antibody detects Melanotransferrin, a cell-surface glycoprotein related to the transferrin family that participates in iron binding and transport. The UniProt recommended name is Melanotransferrin (MELTF), also known as melanoma-associated antigen p97, melanotransferrin precursor, or MAP97. MELTF was initially identified as a melanoma-associated antigen but is now recognized as a multifunctional iron-binding protein expressed in both normal and malignant cells.

MELTF antibody targets a glycosylphosphatidylinositol (GPI)-anchored membrane protein of approximately 80 kDa that facilitates cellular iron uptake independent of the classical transferrin receptor pathway. It is expressed in the placenta, intestine, and brain capillaries, where it contributes to iron delivery across epithelial and endothelial barriers. In cancer biology, MELTF is overexpressed in melanomas, glioblastomas, and certain epithelial tumors, where it supports tumor cell proliferation and survival under low-iron conditions. Elevated MELTF expression is associated with increased metastatic potential and angiogenesis through modulation of iron availability.

The MELTF antibody is useful in identifying tumor-associated expression and studying iron metabolism mechanisms distinct from transferrin receptor 1 (TFRC) or 2 (TFR2). Structurally, MELTF shares domain homology with transferrins, including two lobes capable of binding ferric iron, but differs by being GPI-anchored rather than secreted. The MELTF gene is located on chromosome 3q13.31 and encodes a 738-amino acid protein that undergoes glycosylation and cleavage to form the mature membrane-associated form. Its regulation is influenced by iron status, hypoxia-inducible factors (HIFs), and oncogenic signaling pathways such as MAPK and PI3K/AKT.

Recent studies indicate MELTF may function in neuroprotection by mediating iron uptake in the blood-brain barrier, and mutations or autoantibodies to MELTF have been linked to neurodegenerative disorders. MELTF antibody detection in immunohistochemistry and flow cytometry enables quantification of cell-surface expression, while western blotting reveals glycosylated isoforms. MELTF also plays roles in embryonic development, wound healing, and immune modulation by regulating local iron concentrations.

As an iron-binding antigen with diagnostic and therapeutic potential, MELTF antibody supports research in oncology, neurobiology, and iron transport regulation. NSJ Bioreagents provides validated antibodies suitable for detection in human, mouse, and rat tissues, optimized for cancer biomarker and transport studies.

Application Notes

Optimal dilution of the MELTF antibody should be determined by the researcher.

Immunogen

E.coli-derived human MFI2/MELTF recombinant protein (Position: A60-D647) was used as the immunogen for the MELTF antibody.

Storage

After reconstitution, the MELTF antibody can be stored for up to one month at 4oC. For long-term, aliquot and store at -20oC. Avoid repeated freezing and thawing.

Cross
Bulk Quote Request Form
Name*:
Organization*:
Email*:
Phone Number*:
Catalog No.*:
Comments and Specifics(amount, formulation, etc.)*:
Validation code: Captchapackage Image


Can't read the image? click here to refresh.
    *required field

Your bulk quote request has been submitted successfully!

Please contact us if you have any questions.