• Tel: 858.663.9055
  • SeparatorEmail: info@nsjbio.com
  • Tel: 858.663.9055
  • Email: info@nsjbio.com
Home >> Antibodies >> Melanoma Marker Antibody Cocktail (MART-1 & Tyrosinase & gp100)

Melanoma Marker Antibody Cocktail (MART-1 & Tyrosinase & gp100) [clone DT101+ BC199 + T311 + HMB45] (V8328)

  Catalog No Formulation Size Price (USD)  
Image V8328-100UG 0.2 mg/ml in 1X PBS with 0.1 mg/ml BSA (US sourced) and 0.05% sodium azide 100 ug 559
Image
V8328-20UG 0.2 mg/ml in 1X PBS with 0.1 mg/ml BSA (US sourced) and 0.05% sodium azide 20 ug 259
Image
V8328SAF-100UG 1 mg/ml in 1X PBS; BSA free, sodium azide free 100 ug 559
Bulk quote request
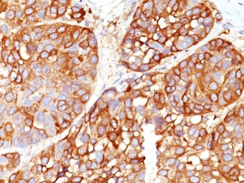
IHC staining of FFPE human melanoma tissue with Melanoma Marker antibody cocktail (clones DT101+ BC199 + T311 + HMB45). HIER: boil tissue sections in pH 9 10mM Tris with 1mM EDTA for 20 min and allow to cool before testing.
Availability 1-3 business days
Species Reactivity Human
Format Purified
Host Mouse
Clonality Monoclonal (mouse origin)
Isotype IgG1, IgG2a, IgG2b / kappa, lambda
Clone Name DT101+ BC199 + T311 + HMB45
Purity Protein G affinity chromatography
Applications Immunohistochemistry (FFPE) : 1-2ug/ml
Limitations This Melanoma Marker antibody cocktail is available for research use only.
Review this product on BioCompare and get a $20 Amazon gift card

Related Products

Description

This antibody cocktail recognizes three melanoma-specific proteins, which include MART-1, Tyrosinase and gp100. MART-1 is a newly identified melanocyte differentiation antigen recognized by autologous cytotoxic T lymphocytes. Tyrosinase is one of the targets for cytotoxic T-cell recognition in melanoma patients. Function of gp100 is not known but it is reported to be a useful marker for melanocytes and melanomas. This cocktail of three markers is designed for extremely sensitive labeling of formalin-fixed, paraffin-embedded melanomas and other tumors showing melanocytic differentiation.

Explore our Melan-A Antibody / Melanocyte Lineage Marker clone A103 page for additional validation data and research applications involving melanoma biology, melanocytic tumor identification, and pigment cell differentiation pathways.

Application Notes

Optimal dilution of the Melanoma Marker antibody cocktail should be determined by the researcher.

Immunogen

Recombinant hMART-1 protein (DT101 & BC199), extract of pigmented melanoma metastases from lymph nodes (HMB45) and recombinant tyrosinase protein (T311) were used as the immunogen for this Melanoma Marker antibody cocktail.

Storage

Store the Melanoma Marker antibody cocktail at 2-8oC (with azide) or aliquot and store at -20oC or colder (without azide).

Cross
Bulk Quote Request Form
Name*:
Organization*:
Email*:
Phone Number*:
Catalog No.*:
Comments and Specifics(amount, formulation, etc.)*:
Validation code: Captchapackage Image


Can't read the image? click here to refresh.
    *required field

Your bulk quote request has been submitted successfully!

Please contact us if you have any questions.