• Tel: 858.663.9055
  • SeparatorEmail: info@nsjbio.com
  • Tel: 858.663.9055
  • Email: info@nsjbio.com
Home >> Antibodies >> Melanocyte Lineage Antibody / PMEL

Melanocyte Lineage Antibody / PMEL [clone PMEL/7554R] (V5997)

  Catalog No Formulation Size Price (USD)  
Image V5997-100UG 0.2 mg/ml in 1X PBS with 0.05% BSA, 0.05% sodium azide 100 ug 559
Image
V5997-20UG 0.2 mg/ml in 1X PBS with 0.05% BSA, 0.05% sodium azide 20 ug 259
Image
V5997SAF-100UG 1 mg/ml in 1X PBS; BSA free, sodium azide free 100 ug 559
Microvalidated Recrabbitmono
Bulk quote request
Melanocyte Lineage Antibody / PMEL (clone PMEL/7554R). HuProt protein microarray specificity analysis using Melanocyte Lineage Antibody / PMEL clone PMEL/7554R against a protein array containing more than 21,000 full-length human proteins. The antibody shows strongest binding to PMEL (Premelanosome protein, also known as gp100), demonstrating selective recognition of the intended target compared with other proteins present on the array. Z score represents the signal strength of antibody binding to each protein on the array and is expressed as standard deviations above the mean signal across all proteins tested. The S score represents the difference between the Z score of the top-ranked target and the next highest signal and therefore indicates the relative specificity of the antibody for its intended protein target. An antibody is typically considered specific when the S score is greater than or equal to 2.5.
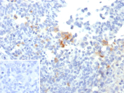
Melanocyte Lineage Antibody / PMEL (clone PMEL/7554R). Immunohistochemistry analysis of human melanoma tissue stained with Melanocyte Lineage Antibody / PMEL clone PMEL/7554R. FFPE melanoma sections show focal HRP-DAB brown cytoplasmic staining in scattered tumor cells consistent with expression of Premelanosome protein PMEL, also known as gp100, a melanosome-associated glycoprotein characteristic of melanocytic lineage. Adjacent tumor cells demonstrate weaker or minimal staining, reflecting heterogeneous expression within the lesion. The inset negative control, in which PBS was used in place of primary antibody, shows no specific brown chromogenic staining. Heat-induced epitope retrieval was performed in 10mM Tris with 1mM EDTA pH 9 by boiling for 10-20 minutes followed by cooling at room temperature for 20 minutes prior to antibody incubation.
Species Reactivity Human
Format Purified
Host Rabbit
Clonality Recombinant Rabbit Monoclonal
Isotype Rabbit IgG, kappa
Clone Name PMEL/7554R
Purity Protein A affinity
UniProt P40967
Localization Endoplasmic reticulum membrane, Endosome, Golgi apparatus, Melanosome, Multivesicular body, Secreted
Applications Immunohistochemistry (FFPE) : 1-2ug/ml
Limitations This Melanocyte Lineage/PMEL protein antibody is available for research use only.
Review this product on BioCompare and get a $20 Amazon gift card

Related Products

Description

Premelanosome protein (PMEL) is a melanocyte lineage-associated glycoprotein encoded by the PMEL gene that functions as a key structural component of developing melanosomes where melanin deposition occurs. The protein is widely known in the literature as gp100 or Pmel17 and plays an essential role in the formation of fibrillar matrices that organize pigment polymerization within melanosomes. Melanocyte Lineage Antibody / PMEL (clone PMEL/7554R) recognizes this melanocyte-associated protein and supports studies examining gp100 expression in melanocytes and melanoma cells. The protein is frequently referred to in the literature as gp100, Pmel17, or premelanosome protein and is widely used as a melanocytic lineage marker in melanoma and pigment cell biology research.

The gp100 protein participates in early melanosome development where it undergoes proteolytic processing and structural rearrangement to form amyloid-like fibrils that generate the internal matrix of premelanosomes. These fibrils provide the scaffold required for deposition of eumelanin and pheomelanin pigments during melanogenesis. Proper assembly of this fibrillar structure is essential for melanosome architecture and efficient pigment production. Within melanocytes and melanoma cells, gp100 localizes primarily to premelanosomes and early stage melanosomes where pigment granules are organized and matured.

Protein microarray specificity analysis of clone PMEL/7554R screened antibody binding against thousands of human proteins and demonstrated selective recognition of PMEL relative to other proteins present on the array. Large-scale protein microarray screening provides a powerful experimental approach for evaluating antibody specificity by measuring binding across a broad proteomic background. The protein microarray specificity data associated with Melanocyte Lineage Antibody clone PMEL/7554R therefore provides additional evidence supporting the selectivity of this antibody for the intended PMEL target.

In large tissue profiling studies including human tissue microarray (TMA) panels containing multiple normal and cancer tissues, gp100 expression is largely restricted to melanocytes and melanocytic tumors. Tissue microarray analysis consistently shows strong staining of melanoma cells while most non-melanocytic tissues remain negative, reinforcing the value of PMEL as a melanocyte lineage marker in melanoma research and diagnostic pathology investigations.

Melanocyte Lineage Antibody / PMEL clone PMEL/7554R detects the gp100 protein present in melanocytes and melanoma cells and supports investigation of melanosome-associated structural proteins. The availability of protein microarray specificity data combined with well-established melanocyte lineage expression patterns makes this antibody a useful reagent for studies examining melanocyte biology, melanosome formation, and melanoma-associated molecular pathways.

Application Notes

1. Optimal dilution of the Melanocyte Lineage/PMEL antibody should be determined by the researcher.

2. This Melanocyte Lineage/PMEL antibody is recombinantly produced by expression in human HEK293 cells.

Immunogen

A recombinant fragment (around amino acids 561-661) of human SILV protein (exact sequence is proprietary) was used as the immunogen for the Melanocyte Lineage/PMEL antibody.

Storage

Melanocyte Lineage/PMEL antibody with sodium azide - store at 2 to 8oC; antibody without sodium azide - store at -20 to -80oC.

Alternate Names

gp100 antibody, Premelanosome protein antibody, Pmel17 antibody, Melanosome structural protein antibody

Cross
Bulk Quote Request Form
Name*:
Organization*:
Email*:
Phone Number*:
Catalog No.*:
Comments and Specifics(amount, formulation, etc.)*:
Validation code: Captchapackage Image


Can't read the image? click here to refresh.
    *required field

Your bulk quote request has been submitted successfully!

Please contact us if you have any questions.