• Tel: 858.663.9055
  • SeparatorEmail: info@nsjbio.com
  • Tel: 858.663.9055
  • Email: info@nsjbio.com
Home >> Antibodies >> MEKK3 Antibody

MEKK3 Antibody (R31025)

  Catalog No Formulation Size Price (USD)  
Image R31025 0.5mg/ml if reconstituted with 0.2ml sterile DI water 100 ug 449
Bulk quote request
Western blot testing with MEKK3 antibody Lane 1: rat brain; 2: mouse brain. Expected size ~71KD
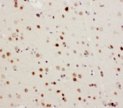
IHC-P: MEKK3 antibody testing of rat brain tissue
IHC-P: MEKK3 antibody testing of rat brain tissue
Availability 1-3 business days
Species Reactivity Mouse, Rat
Format Antigen affinity purified
Host Rabbit
Clonality Polyclonal (rabbit origin)
Isotype Rabbit IgG
Purity Antigen affinity
Buffer Lyophilized from 1X PBS with 2.5% BSA and 0.025% sodium azide/thimerosal
UniProt Q61084
Applications Western Blot : 0.5-1ug/ml
IHC (FFPE) : 0.5-1ug/ml
Limitations This MEKK3 antibody is available for research use only.
Review this product on BioCompare and get a $20 Amazon gift card

Related Products

Description

MAP3K3 (Mitogen-activated protein kinase kinase kinase 3), also known as MAP/ERK kinase kinase 3 (Mekk3), or MAPKKK3, is an enzyme that in humans is encoded by the MAP3K3 gene. MAP3K3 is contiguously distal to LYK5 on chromosome 17(Puffenberger et al., 2007). By yeast 2-hybrid analysis of a mouse T-cell cDNA library, Uhlik et al.(2003) showed that a C-terminal fragment of mouse Osm(CCM2) interacted with MAP3K3/Mekk3, which activates p38 in response to sorbitol-induced hyperosmotic conditions. Mekk3 and Osm colocalized in the cytoplasmic compartment of cotransfected cells, and the Mekk3-Osm complex was recruited to Rac1 and cytoskeletal actin-containing membrane ruffles in response to sorbitol treatment. Protein interaction assays showed that Osm interacted directly with the Mekk3 substrate Mkk3(MAP2K3), with actin, and with both GDP- and GTP-loaded Rac1. Uhlik et al.(2003) concluded that the RAC1-OSM-MEKK3-MKK3 complex is required for regulation of p38 activity in response to osmotic shock.

Application Notes

The stated application concentrations are suggested starting amounts. Titration of the MEKK3 antibody may be required due to differences in protocols and secondary/substrate sensitivity.

Immunogen

An amino acid sequence from the N-terminus of mouse MAP3K3 (MKDLVALQMSRRTRL) was used as the immunogen for this MEKK3 antibody.

Storage

After reconstitution, the MEKK3 antibody can be stored for up to one month at 4oC. For long-term, aliquot and store at -20oC. Avoid repeated freezing and thawing.

Cross
Bulk Quote Request Form
Name*:
Organization*:
Email*:
Phone Number*:
Catalog No.*:
Comments and Specifics(amount, formulation, etc.)*:
Validation code: Captchapackage Image


Can't read the image? click here to refresh.
    *required field

Your bulk quote request has been submitted successfully!

Please contact us if you have any questions.