• Tel: 858.663.9055
  • SeparatorEmail: info@nsjbio.com
  • Tel: 858.663.9055
  • Email: info@nsjbio.com
Home >> Antibodies >> MEK3 Antibody / MAP2K3 / MKK3

MEK3 Antibody / MAP2K3 / MKK3 (R30446)

  Catalog No Formulation Size Price (USD)  
Image R30446 0.5mg/ml if reconstituted with 0.2ml sterile DI water 100 ug 449
Bulk quote request
Western blot testing of MEK3 antibody and Lane 1: rat spleen; 2: rat thymus; 3: rat skeletal muscle; 4: rat kidney, and human samples 5: MCF-7; 6: HeLa; 7: Raji; 8: CEM; 9: COLO320 cell lysate. Expected/observed molecular weight ~39 kDa.
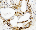
IHC-P: MEK3 antibody testing of human breast cancer tissue
Availability 1-3 business days
Species Reactivity Human, Mouse, Rat
Format Antigen affinity purified
Host Rabbit
Clonality Polyclonal (rabbit origin)
Isotype Rabbit IgG
Purity Antigen affinity
Buffer Lyophilized from 1X PBS with 2.5% BSA and 0.025% sodium azide/thimerosal
UniProt P46734
Localization Cytoplasmic
Applications Western Blot : 0.5-1ug/ml
IHC (FFPE) : 0.5-1ug/ml
Limitations This MEK3 antibody is available for research use only.
Review this product on BioCompare and get a $20 Amazon gift card

Related Products

Description

Dual specificity mitogen-activated protein kinase kinase 3 is an enzyme that in humans is encoded by the MAP2K3 gene. The protein encoded by this gene is a dual specificity protein kinase that belongs to the MAP kinase kinase family. This kinase is activated by mitogenic and environmental stress, and participates in the MAP kinase-mediated signaling cascade. It phosphorylates and thus activates MAPK14/p38-MAPK. This kinase can be activated by insulin, and is necessary for the expression of glucose transporter. Expression of RAS oncogene is found to result in the accumulation of the active form of this kinase, which thus leads to the constitutive activation of MAPK14, and confers oncogenic transformation of primary cells. Rampoldi et al.(1997) localized the MAP2K3 gene to 17q11.2.

Application Notes

The stated application concentrations are suggested starting amounts. Titration of the MEK3 antibody may be required due to differences in protocols and secondary/substrate sensitivity.

Immunogen

An amino acid sequence from the C-terminus of human MEK3 (MEHPFFTLHKTKKTD) was used as the immunogen for this MEK3 antibody (100% homologous in human, mouse and rat).

Storage

After reconstitution, the MEK3 antibody can be stored for up to one month at 4oC. For long-term, aliquot and store at -20oC. Avoid repeated freezing and thawing.

Cross
Bulk Quote Request Form
Name*:
Organization*:
Email*:
Phone Number*:
Catalog No.*:
Comments and Specifics(amount, formulation, etc.)*:
Validation code: Captchapackage Image


Can't read the image? click here to refresh.
    *required field

Your bulk quote request has been submitted successfully!

Please contact us if you have any questions.