• Tel: 858.663.9055
  • SeparatorEmail: info@nsjbio.com
  • Tel: 858.663.9055
  • Email: info@nsjbio.com
Home >> Antibodies >> MEK2 Antibody / MAP2K2

MEK2 Antibody / MAP2K2 (F54450)

  Catalog No Formulation Size Price (USD)  
Image F54450-0.4ML In 1X PBS, pH 7.4, with 0.09% sodium azide 0.4 ml 439
Image
F54450-0.08ML In 1X PBS, pH 7.4, with 0.09% sodium azide 0.08 ml 205
Bulk quote request
Western blot testing of human U937 cell lysate with MEK2 antibody. Expected molecular weight: 45-50 kDa.
Western blot testing of mouse liver lysate with MEK2 antibody. Expected molecular weight: 45-50 kDa.
Western blot testing of 1) non-transfected and 2) transfected 293 cell lysate with MEK2 antibody.
Immunofluorescent staining of fixed and permeabilized human U-251 cells with MEK2 antibody (green) and anti-Actin (red).
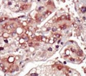
IHC testing of FFPE human cancer tissue with MEK2 antibody. HIER: steam section in pH6 citrate buffer for 20 min and allow to cool prior to staining.
Availability 1-3 business days
Species Reactivity Human, Mouse
Format Purified
Host Rabbit
Clonality Polyclonal (rabbit origin)
Isotype Rabbit Ig
Purity Antigen affinity purified
UniProt P36507
Localization Cytoplasmic
Applications Immunofluorescence : 1:25
Western Blot : 1:500-1:2000
Immunohistochemistry (FFPE) : 1:25
Limitations This MEK2 antibody is available for research use only.
Review this product on BioCompare and get a $20 Amazon gift card

Related Products

  • Applications : WB, IF, FACS
    Reactivity : Human, Mouse, Rat
  • Applications : WB, IHC-P, IF, FACS
    Reactivity : Human, Mouse
  • Applications : WB
    Reactivity : Human, Mouse, Rat
  • Applications : WB, ELISA (peptide)
    Reactivity : Human
  • Applications : WB, IHC-P, IF, FACS, Direct ELISA
    Reactivity : Human, Mouse, Rat
  • Applications : IHC-P, WB
    Reactivity : Human
  • Applications : WB, FACS, Direct ELISA
    Reactivity : Human, Mouse, Rat

Description

MAP2K2 is a dual specificity protein kinase that belongs to the MAP kinase kinase family. This kinase is known to play a critical role in mitogen growth factor signal transduction. It phosphorylates and thus activates MAPK1/ERK2 and MAPK2/ERK3. The activation of this kinase itself is dependent on the Ser/Thr phosphorylation by MAP kinase kinase kinases. The inhibition or degradation of this kinase is found to be involved in the pathogenesis of Yersinia and anthrax.

Application Notes

The stated application concentrations are suggested starting points. Titration of the MEK2 antibody may be required due to differences in protocols and secondary/substrate sensitivity.

Immunogen

A portion of amino acids 262-292 from the human protein was used as the immunogen for the MEK2 antibody.

Storage

Aliquot the MEK2 antibody and store frozen at -20oC or colder. Avoid repeated freeze-thaw cycles.

Cross
Bulk Quote Request Form
Name*:
Organization*:
Email*:
Phone Number*:
Catalog No.*:
Comments and Specifics(amount, formulation, etc.)*:
Validation code: Captchapackage Image


Can't read the image? click here to refresh.
    *required field

Your bulk quote request has been submitted successfully!

Please contact us if you have any questions.