• Tel: 858.663.9055
  • SeparatorEmail: info@nsjbio.com
  • Tel: 858.663.9055
  • Email: info@nsjbio.com
Home >> Antibodies >> Megalin Antibody

Megalin Antibody (F49460)

  Catalog No Formulation Size Price (USD)  
Image F49460-0.4ML In 1X PBS, pH 7.4, with 0.09% sodium azide 0.4 ml 439
Image
F49460-0.08ML In 1X PBS, pH 7.4, with 0.09% sodium azide 0.08 ml 205
Bulk quote request
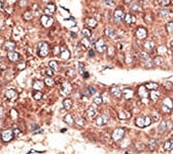
IHC analysis of FFPE human hepatocarcinoma tissue stained with the Megalin antibody
Availability 1-3 business days
Species Reactivity Human
Format Purified
Host Rabbit
Clonality Polyclonal (rabbit origin)
Isotype Rabbit Ig
Purity Purified
UniProt P98164
Applications IHC (Paraffin) : 1:50-1:100
Limitations This Megalin antibody is available for research use only.
Review this product on BioCompare and get a $20 Amazon gift card

Related Products

  • Applications : WB, IHC-P, IF, FACS, Direct ELISA
    Reactivity : Human
  • Applications : ELISA, FACS, IP, IF, ICC, WB
    Reactivity : Human

Description

Low density lipoprotein (LDL) receptor-related protein (LRP), a member of the LDL receptor family, binds multiple classes of ligands and has been implicated in a broad range of normal and disease processes involving lipid metabolism, protease clearance, and cell migration (1). Structurally, members of the LDLR family share homology within their extracellular domains, which are highlighted by the presence of clusters of ligand-binding repeats. LRP is a large endocytic receptor that participates in several biological pathways and plays prominent roles in lipoprotein metabolism and in the catabolism of proteinases involved in coagulation and fibrinolysis. LRP also mediates the cellular entry of certain viruses and toxins and facilitates the activation of various lysosomal enzymes (2). All LRPs are expressed in the central nervous system and, for most receptors, animal models have shown that they are indispensable for successful neurodevelopment. The mechanisms by which they regulate the formation of the nervous system are varied and include the transduction of extracellular signals and the modulation of intracellular signal propagation, as well as cargo transport, the function most commonly attributed to this gene family (3).

Application Notes

Titration of the Megalin antibody may be required due to differences in protocols and secondary/substrate sensitivity.

Immunogen

A portion of amino acids 4626-4655 from the human protein was used as the immunogen for this Megalin antibody.

Storage

Aliquot the Megalin antibody and store frozen at -20oC or colder. Avoid repeated freeze-thaw cycles.

Cross
Bulk Quote Request Form
Name*:
Organization*:
Email*:
Phone Number*:
Catalog No.*:
Comments and Specifics(amount, formulation, etc.)*:
Validation code: Captchapackage Image


Can't read the image? click here to refresh.
    *required field

Your bulk quote request has been submitted successfully!

Please contact us if you have any questions.