• Tel: 858.663.9055
  • SeparatorEmail: info@nsjbio.com
  • Tel: 858.663.9055
  • Email: info@nsjbio.com
Home >> Antibodies >> MED9 Antibody / MED25

MED9 Antibody / MED25 (R32991)

  Catalog No Formulation Size Price (USD)  
Image R32991 0.5mg/ml if reconstituted with 0.2ml sterile DI water 100 ug 449
Bulk quote request
Western blot testing of rat 1) brain, 2) heart, 3) kidney and moouse 4) brain, 5) heart, 6) kidney with MED9 antibody at 0.5ug/ml. Predicted molecular weight ~16 kDa.
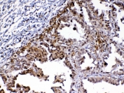
IHC testing of FFPE human lung cancer tissue with MED9 antibody at 1ug/ml. Required HIER: steam section in pH6 citrate buffer for 20 min and allow to cool prior to testing.
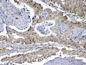
IHC testing of FFPE human breast cancer tissue with MED9 antibody at 1ug/ml. Required HIER: steam section in pH6 citrate buffer for 20 min and allow to cool prior to testing.
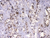
IHC testing of FFPE human colon cancer tissue with MED9 antibody at 1ug/ml. Required HIER: steam section in pH6 citrate buffer for 20 min and allow to cool prior to testing.
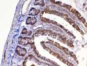
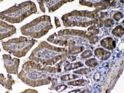
IHC testing of FFPE mouse small intestine tissue with MED9 antibody at 1ug/ml. Required HIER: steam section in pH6 citrate buffer for 20 min and allow to cool prior to testing.
IHC testing of FFPE rat small intestine tissue with MED9 antibody at 1ug/ml. Required HIER: steam section in pH6 citrate buffer for 20 min and allow to cool prior to testing.
Availability 1-3 business days
Species Reactivity Human, Mouse, Rat
Format Antigen affinity purified
Host Rabbit
Clonality Polyclonal (rabbit origin)
Isotype Rabbit IgG
Purity Antigen affinity
Buffer Lyophilized from 1X PBS with 2.5% BSA, 0.025% sodium azide
UniProt Q9NWA0
Localization Nuclear
Applications Western Blot : 0.5-1ug/ml
IHC (FFPE) : 1-2ug/ml
Direct ELISA (recombinant Human Protein) : 0.1-0.5ug/ml (BSA-free format available)
Limitations This MED9 antibody is available for research use only.
Review this product on BioCompare and get a $20 Amazon gift card

Description

MED9 is a member of the mediator complex of proteins that promote activation of RNA polymerase II through direct interactions with transcription factors. This MED9 gene is located within the Smith-Magenis syndrome region on chromosome 17.

Application Notes

Optimal dilution of the MED9 antibody should be determined by the researcher.

Immunogen

A recombinant human protein corresponding to amino acids A55-E146 was used as the immunogen for the MED9 antibody.

Storage

After reconstitution, the MED9 antibody can be stored for up to one month at 4oC. For long-term, aliquot and store at -20oC. Avoid repeated freezing and thawing.

Cross
Bulk Quote Request Form
Name*:
Organization*:
Email*:
Phone Number*:
Catalog No.*:
Comments and Specifics(amount, formulation, etc.)*:
Validation code: Captchapackage Image


Can't read the image? click here to refresh.
    *required field

Your bulk quote request has been submitted successfully!

Please contact us if you have any questions.