• Tel: 858.663.9055
  • SeparatorEmail: info@nsjbio.com
  • Tel: 858.663.9055
  • Email: info@nsjbio.com
Home >> Antibodies >> MED7 Antibody / Mediator of RNA polymerase II transcription subunit 7

MED7 Antibody / Mediator of RNA polymerase II transcription subunit 7 (RQ8912)

  Catalog No Formulation Size Price (USD)  
Image RQ8912 0.5mg/ml if reconstituted with 0.2ml sterile DI water 100 ug 449
Bulk quote request
Immunofluorescent staining of FFPE human A549 cells with MED7 antibody (red) and Beta Tubulin mAb (green). HIER: steam section in pH6 citrate buffer for 20 min.
Western blot testing of 1) human PC-3, 2) human Caco-2, 3) human A549, 4) human HeLa, 5) rat C6, 6) rat PC-12, 7) mouse RAW264.7 and 8) mouse NIH 3T3 cell lysate with MED7 antibody. Expected molecular weight ~25 kDa.
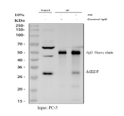
Immunoprecipitation of MED7 protein from 500ug of human PC-3 whole cell lysate with 2ug of MED7 antibody.
Availability 1-3 business days
Species Reactivity Human, Mouse, Rat
Format Antigen affinity purified
Host Rabbit
Clonality Polyclonal (rabbit origin)
Isotype Rabbit IgG
Purity Antigen affinity purified
Buffer Lyophilized from 1X PBS with 2% Trehalose
UniProt O43513
Localization Nucleolus
Applications Western Blot : 0.5-1ug/ml
Immunofluorescence : 5ug/ml
Immunoprecipitation : 2ug per 500ug of lysate
Limitations This MED7 antibody is available for research use only.
Review this product on BioCompare and get a $20 Amazon gift card

Related Products

Description

MED7 (Mediator of RNA polymerase II transcription subunit 7) is a component of the Mediator complex, a multiprotein assembly that serves as a bridge between transcription factors and RNA polymerase II. MED7 plays a role in regulating transcription initiation, elongation, and co-activation of gene expression across diverse cellular processes.

MED7 is ubiquitously expressed and contributes to the regulation of genes involved in development, cell cycle progression, and differentiation. Dysregulation of Mediator subunits, including MED7, has been linked to transcriptional misregulation in cancer and developmental disorders, making it an important target in transcriptional biology research.

Using a high-quality MED7 antibody allows sensitive detection in applications such as western blot, immunohistochemistry, and chromatin immunoprecipitation. A MED7 antibody from NSJ Bioreagents ensures specificity and reproducibility for studies focused on transcriptional control, Mediator complex biology, and disease mechanisms. Selecting the right MED7 antibody is essential for generating consistent and meaningful data.

Application Notes

Optimal dilution of the MED7 antibody should be determined by the researcher.

Immunogen

Recombinant human protein (amino acids M1-P233) was used as the immunogen for the MED7 antibody.

Storage

After reconstitution, the MED7 antibody can be stored for up to one month at 4oC. For long-term, aliquot and store at -20oC. Avoid repeated freezing and thawing.

Cross
Bulk Quote Request Form
Name*:
Organization*:
Email*:
Phone Number*:
Catalog No.*:
Comments and Specifics(amount, formulation, etc.)*:
Validation code: Captchapackage Image


Can't read the image? click here to refresh.
    *required field

Your bulk quote request has been submitted successfully!

Please contact us if you have any questions.