• Tel: 858.663.9055
  • SeparatorEmail: info@nsjbio.com
  • Tel: 858.663.9055
  • Email: info@nsjbio.com
Home >> Antibodies >> MED6 Antibody / ARC33

MED6 Antibody / ARC33 (R32982)

  Catalog No Formulation Size Price (USD)  
Image R32982 0.5mg/ml if reconstituted with 0.2ml sterile DI water 100 ug 449
Bulk quote request
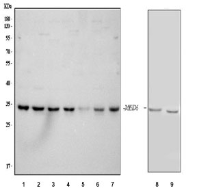
Western blot testing of 1) human A431, 2) human Jurkat, 3) human HepG2, 4) human PC-3, 5) human U-2 OS, 6) human A549, 7) human MCF7, 8) rat C6 and 9) mouse NIH 3T3 cell lysate with MED6 antibody. Predicted molecular weight ~28 kDa, commonly observed at 28-33 kDa.
Availability 1-3 business days
Species Reactivity Human, Mouse, Rat
Format Antigen affinity purified
Host Rabbit
Clonality Polyclonal (rabbit origin)
Isotype Rabbit IgG
Purity Antigen affinity
Buffer Lyophilized from 1X PBS with 2% Trehalose
UniProt O75586
Applications Western Blot : 0.5-1ug/ml
Direct ELISA (recombinant Human Protein) : 0.1-0.5ug/ml (BSA-free format available)
Limitations This MED6 antibody is available for research use only.
Review this product on BioCompare and get a $20 Amazon gift card

Description

Mediator of RNA polymerase II transcription subunit 6 is one of the subunits of the Mediator complex. It is an enzyme that in humans is encoded by the MED6 gene. This family of proteins represent the transcriptional mediator protein subunit 6 that is required for activation of many RNA polymerase II promoters and which are conserved from yeast to humans.

Application Notes

Optimal dilution of the MED6 antibody should be determined by the researcher.

Immunogen

A recombinant human protein corresponding to amino acids F40-Q246 was used as the immunogen for the MED6 antibody.

Storage

After reconstitution, the MED6 antibody can be stored for up to one month at 4oC. For long-term, aliquot and store at -20oC. Avoid repeated freezing and thawing.

Cross
Bulk Quote Request Form
Name*:
Organization*:
Email*:
Phone Number*:
Catalog No.*:
Comments and Specifics(amount, formulation, etc.)*:
Validation code: Captchapackage Image


Can't read the image? click here to refresh.
    *required field

Your bulk quote request has been submitted successfully!

Please contact us if you have any questions.