• Tel: 858.663.9055
  • SeparatorEmail: info@nsjbio.com
  • Tel: 858.663.9055
  • Email: info@nsjbio.com
Home >> Antibodies >> MED4 Antibody

MED4 Antibody (RQ5989)

  Catalog No Formulation Size Price (USD)  
Image RQ5989 0.5mg/ml if reconstituted with 0.2ml sterile DI water 100 ug 449
Bulk quote request
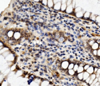
IHC staining of FFPE human rectal cancer with MED4 antibody. HIER: boil tissue sections in pH8 EDTA for 20 min and allow to cool before testing.
IHC staining of FFPE human rectal cancer with MED4 antibody. HIER: boil tissue sections in pH8 EDTA for 20 min and allow to cool before testing.
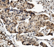
IHC staining of FFPE human breast cancer with MED4 antibody. HIER: boil tissue sections in pH8 EDTA for 20 min and allow to cool before testing.
Immunofluorescent staining of FFPE human A431 cells with MED4 antibody (green) and DAPI nuclear stain (blue). HIER: steam section in pH6 citrate buffer for 20 min.
Western blot testing of human 1) U-2 OS, 2) A549, 3) K562, 4) rat brain and 5) mouse RAW264.7 lysate with MED4 antibody. Predicted molecular weight ~30 kDa, commonly observed at 30-36 kDa.
Flow cytometry testing of human HL60 cells with MED4 antibody at 1ug/million cells (blocked with goat sera); Red=cells alone, Green=isotype control, Blue= MED4 antibody.
Availability 1-3 business days
Species Reactivity Human, Mouse, Rat
Format Antigen affinity purified
Host Rabbit
Clonality Polyclonal (rabbit origin)
Isotype Rabbit IgG
Purity Affinity purified
Buffer Lyophilized from 1X PBS with 2% Trehalose and 0.025% sodium azide
UniProt Q9NPJ6
Localization Nuclear
Applications Western Blot : 0.5-1ug/ml
Immunohistochemistry : 1-2ug/ml
Immunofluorescence : 2-4ug/ml
Flow Cytometry : 1-3ug/million cells
Direct ELISA : 0.1-0.5ug/ml
Limitations This MED4 antibody is available for research use only.
Review this product on BioCompare and get a $20 Amazon gift card

Related Products

  • Applications : WB, IHC-P, Direct ELISA
    Reactivity : Human, Mouse, Rat
  • Applications : WB, IHC, ICC, IF, FACS, ELISA
    Reactivity : Human, Mouse, Rat

Description

Mediator of RNA polymerase II transcription subunit 4 also known as mediator complex subunit 4 (MED4), a component of Mediator or vitamin D3 receptor-interacting protein complex 36 kDa component (DRIP36) is a protein that in humans is encoded by the MED4 gene. It is mapped to 13q14.2. This gene encodes a component of the Mediator complex. The Mediator complex interacts with DNA-binding gene-specific transcription factors to modulate transcription by RNA polymerase II. Alternatively spliced transcript variants encoding multiple isoforms have been observed for this gene.

Application Notes

Optimal dilution of the MED4 antibody should be determined by the researcher.

Immunogen

Recombinant human protein (amino acids N24-D254) was used as the immunogen for the MED4 antibody.

Storage

After reconstitution, the MED4 antibody can be stored for up to one month at 4oC. For long-term, aliquot and store at -20oC. Avoid repeated freezing and thawing.

Cross
Bulk Quote Request Form
Name*:
Organization*:
Email*:
Phone Number*:
Catalog No.*:
Comments and Specifics(amount, formulation, etc.)*:
Validation code: Captchapackage Image


Can't read the image? click here to refresh.
    *required field

Your bulk quote request has been submitted successfully!

Please contact us if you have any questions.