• Tel: 858.663.9055
  • SeparatorEmail: info@nsjbio.com
  • Tel: 858.663.9055
  • Email: info@nsjbio.com
Home >> Antibodies >> MED4 Antibody / Mediator complex subunit 4

MED4 Antibody / Mediator complex subunit 4 (FY13308)

  Catalog No Formulation Size Price (USD)  
Image FY13308 Adding 0.2 ml of distilled water will yield a concentration of 500 ug/ml 100 ug 449
Bulk quote request
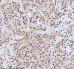
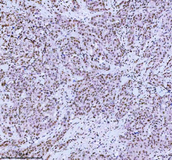
Immunohistochemical staining of MED4 using anti-MED4 antibody. MED4 was detected in a paraffin-embedded section of human breast cancer tissue. Heat mediated antigen retrieval was performed in EDTA buffer (pH 8.0, epitope retrieval solution). The tissue section was blocked with 10% goat serum. The tissue section was then incubated with 2 ug/ml rabbit anti-MED4 antibody overnight at 4oC. Peroxidase Conjugated Goat Anti-rabbit IgG was used as secondary antibody and incubated for 30 minutes at 37oC. The tissue section was developed using an HRP secondary and DAB substrate.
Western blot analysis of MED4 using anti-MED4 antibody. Lane 1: human MOLT-4 whole cell lysates, Lane 2: human Jurkat whole cell lysates, Lane 3: human K562 whole cell lysates, Lane 4: rat PC-12 whole cell lysates, Lane 5: rat NRK whole cell lysates, Lane 6: mouse RAW264.7 whole cell lysates, Lane 7: mouse ANA-1 whole cell lysates, Lane 8: mouse EL-4 whole cell lysates. After electrophoresis, proteins were transferred to a nitrocellulose membrane at 150 mA for 50-90 minutes. Blocked the membrane with 5% non-fat milk/TBS for 1.5 hour at RT. The membrane was incubated with rabbit anti-MED4 antibody at 0.25 ug/ml overnight at 4oC, then washed with TBS-0.1%Tween 3 times with 5 minutes each and probed with a goat anti-rabbit IgG-HRP secondary antibody at a dilution of 1:5000 for 1.5 hour at RT. The signal was developed using enhanced chemiluminescent. A predominant band is detected at an approximately 36-37 kDa in all samples, running above the predicted ~30 kDa size but consistent with the higher apparent molecular weight typically observed for the acidic nuclear Mediator subunit MED4.
Immunohistochemical staining of MED4 using anti-MED4 antibody. MED4 was detected in a paraffin-embedded section of human breast cancer tissue. Heat mediated antigen retrieval was performed in EDTA buffer (pH 8.0, epitope retrieval solution). The tissue section was blocked with 10% goat serum. The tissue section was then incubated with 2 ug/ml rabbit anti-MED4 antibody overnight at 4oC. Peroxidase Conjugated Goat Anti-rabbit IgG was used as secondary antibody and incubated for 30 minutes at 37oC. The tissue section was developed using an HRP secondary and DAB substrate.
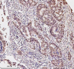
Immunohistochemical staining of MED4 using anti-MED4 antibody. MED4 was detected in a paraffin-embedded section of human rectum adenocarcinoma tissue. Heat mediated antigen retrieval was performed in EDTA buffer (pH 8.0, epitope retrieval solution). The tissue section was blocked with 10% goat serum. The tissue section was then incubated with 2 ug/ml rabbit anti-MED4 antibody overnight at 4oC. Peroxidase Conjugated Goat Anti-rabbit IgG was used as secondary antibody and incubated for 30 minutes at 37oC. The tissue section was developed using an HRP secondary and DAB substrate.
Immunohistochemical staining of MED4 using anti-MED4 antibody. MED4 was detected in a paraffin-embedded section of human rectum adenocarcinoma tissue. Heat mediated antigen retrieval was performed in EDTA buffer (pH 8.0, epitope retrieval solution). The tissue section was blocked with 10% goat serum. The tissue section was then incubated with 2 ug/ml rabbit anti-MED4 antibody overnight at 4oC. Peroxidase Conjugated Goat Anti-rabbit IgG was used as secondary antibody and incubated for 30 minutes at 37oC. The tissue section was developed using an HRP secondary and DAB substrate.
Immunohistochemical staining of MED4 using anti-MED4 antibody. MED4 was detected in a paraffin-embedded section of human spleen tissue. Heat mediated antigen retrieval was performed in EDTA buffer (pH 8.0, epitope retrieval solution). The tissue section was blocked with 10% goat serum. The tissue section was then incubated with 2 ug/ml rabbit anti-MED4 antibody overnight at 4oC. Peroxidase Conjugated Goat Anti-rabbit IgG was used as secondary antibody and incubated for 30 minutes at 37oC. The tissue section was developed using an HRP secondary and DAB substrate.
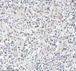
Immunohistochemical staining of MED4 using anti-MED4 antibody. MED4 was detected in a paraffin-embedded section of human testicular seminoma tissue. Heat mediated antigen retrieval was performed in EDTA buffer (pH 8.0, epitope retrieval solution). The tissue section was blocked with 10% goat serum. The tissue section was then incubated with 2 ug/ml rabbit anti-MED4 antibody overnight at 4oC. Peroxidase Conjugated Goat Anti-rabbit IgG was used as secondary antibody and incubated for 30 minutes at 37oC. The tissue section was developed using an HRP secondary and DAB substrate.
Immunofluorescent staining of MED4 using anti-MED4 antibody (green) and anti-Beta Tubulin antibody (red). MED4 was detected in immunocytochemical section of human HeLa cells. Enzyme antigen retrieval was performed using IHC enzyme antigen retrieval reagent for 15 mins. The cells were blocked with 10% goat serum. And then incubated with 5 ug/ml rabbit anti-MED4 antibody and mouse anti-Beta Tubulin antibody overnight at 4oC. DyLight 488 Conjugated Goat Anti-Rabbit IgG and DyLight 550 Conjugated Goat Anti-Mouse IgG were used as secondary antibody at 1:500 dilution and incubated for 30 minutes at 37oC. Visualize using a fluorescence microscope and filter sets appropriate for the label used.
Flow Cytometry analysis of JK cells using anti-MED4 antibody. Overlay histogram showing JK cells stained with (Blue line). To facilitate intracellular staining, cells were fixed with 4% paraformaldehyde and permeabilized with permeabilization buffer. The cells were blocked with 10% normal goat serum. And then incubated with rabbit anti-MED4 antibody (1 ug/million cells) for 30 min at 20oC. DyLight 488 conjugated goat anti-rabbit IgG (5-10 ug/million cells) was used as secondary antibody for 30 minutes at 20oC. Isotype control antibody (Green line) was rabbit IgG (1 ug/million cells) used under the same conditions. Unlabelled sample (Red line) was also used as a control.
Availability 1-2 days
Species Reactivity Human, Mouse, Rat
Format Lyophilized
Host Rabbit
Clonality Polyclonal (rabbit origin)
Isotype Rabbit IgG
Purity Immunogen affinity purified
Buffer Each vial contains 4 mg Trehalose, 0.9 mg NaCl, 0.2 mg Na2HPO4.
UniProt Q9NPJ6
Localization Nuclear
Applications Western Blot : 0.25-0.5ug/ml
Immunohistochemistry : 2-5ug/ml
Immunocytochemistry : 5ug/ml
Immunofluorescence : 5ug/ml
Flow Cytometry : 1-3ug/million cells
ELISA : 0.1-0.5ug/ml
Limitations This MED4 antibody is available for research use only.
Review this product on BioCompare and get a $20 Amazon gift card

Related Products

  • Applications : WB, IHC-P, Direct ELISA
    Reactivity : Human, Mouse, Rat
  • Applications : WB, IHC-P, IF, FACS, Direct ELISA
    Reactivity : Human, Mouse, Rat

Description

MED4 antibody recognizes Mediator complex subunit 4, a nuclear protein encoded by the MED4 gene located on chromosome 13q12.2. MED4 is a component of the multiprotein Mediator complex, which serves as an essential coactivator linking transcription factors to RNA polymerase II during gene transcription. The Mediator complex regulates nearly all RNA polymerase II-dependent genes, integrating signals from diverse transcriptional activators and repressors to modulate gene expression. Structurally, MED4 is a small subunit localized in the head module of the Mediator complex, where it contributes to the stabilization of interactions between the Mediator and general transcription factors such as TFIIB and TFIIH.

MED4 antibody detects a protein that resides in the nucleus and is widely expressed across tissues, with particularly high expression in actively proliferating cells. MED4 functions as a structural component that helps assemble and maintain the integrity of the Mediator complex. The protein interacts with other Mediator subunits, including MED6, MED7, and MED8, to promote preinitiation complex formation and transcriptional activation. Through its participation in this multi-subunit assembly, MED4 indirectly influences processes such as cell cycle regulation, metabolic control, and differentiation.

Functionally, MED4 acts as a coregulator for a variety of signaling pathways, including those mediated by nuclear hormone receptors, Myc, and p53. The Mediator complex serves as a bridge between enhancer-bound transcription factors and the basal transcriptional machinery, making MED4 indispensable for transcriptional initiation and elongation. Disruption of MED4 or other Mediator components can impair RNA synthesis and contribute to developmental defects or disease. Recent studies suggest that the Mediator complex, including MED4, may participate in transcriptional pausing and gene-specific regulation in response to environmental and stress cues.

Mutations or copy number variations affecting the MED4 gene have been implicated in neurodevelopmental disorders and congenital anomalies, underscoring its role in transcriptional control during embryogenesis. Aberrant expression of MED4 has also been observed in various cancers, where altered Mediator activity promotes oncogenic transcriptional programs. Functional proteomics analyses show that MED4 participates in chromatin looping and enhancer-promoter communication, critical for high-fidelity transcriptional activation. Structurally, MED4's helical regions allow it to form coiled-coil interactions within the Mediator head domain, ensuring complex stability.

In disease contexts, dysregulated Mediator signaling has been associated with metabolic syndromes, inflammatory diseases, and tumor progression. MED4 expression correlates with proliferative gene signatures in certain cancers, suggesting its potential role as a biomarker of active transcriptional states. Because of its conserved function, MED4 serves as an essential reference subunit for Mediator complex studies across species.

Immunohistochemical staining using MED4 antibody demonstrates nuclear localization in epithelial and neuronal tissues, consistent with its function in transcriptional regulation. MED4 antibody from NSJ Bioreagents supports research in transcriptional biology, gene regulation, and the molecular mechanisms underlying human disease linked to Mediator complex dysfunction.

Application Notes

Optimal dilution of the MED4 antibody should be determined by the researcher.

Immunogen

E.coli-derived human MED4 recombinant protein (Position: R27-H247) was used as the immunogen for the MED4 antibody.

Storage

After reconstitution, the MED4 antibody can be stored for up to one month at 4oC. For long-term, aliquot and store at -20oC. Avoid repeated freezing and thawing.

Cross
Bulk Quote Request Form
Name*:
Organization*:
Email*:
Phone Number*:
Catalog No.*:
Comments and Specifics(amount, formulation, etc.)*:
Validation code: Captchapackage Image


Can't read the image? click here to refresh.
    *required field

Your bulk quote request has been submitted successfully!

Please contact us if you have any questions.