• Tel: 858.663.9055
  • SeparatorEmail: info@nsjbio.com
  • Tel: 858.663.9055
  • Email: info@nsjbio.com
Home >> Antibodies >> MED29 Antibody / Mediator of RNA polymerase II transcription subunit 29

MED29 Antibody / Mediator of RNA polymerase II transcription subunit 29 (RQ8407)

  Catalog No Formulation Size Price (USD)  
Image RQ8407 0.5mg/ml if reconstituted with 0.2ml sterile DI water 100 ug 449
Bulk quote request
Immunofluorescent staining of FFPE human HeLa cells with MED29 antibody (red) and Beta Tubulin mAb (green). HIER: steam section in pH6 citrate buffer for 20 min.
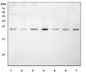
Western blot testing of human 1) SiHa, 2) RT4, 3) MCF7, 4) 293T, 5) Jurkat, 6) A431 and 7) Caco-2 cell lysate with MED29 antibody. Predicted molecular weight ~21 kDa.
Availability 1-3 business days
Species Reactivity Human
Format Antigen affinity purified
Host Rabbit
Clonality Polyclonal (rabbit origin)
Isotype Rabbit IgG
Purity Antigen affinity purified
Buffer Lyophilized from 1X PBS with 2% Trehalose
UniProt Q9NX70
Localization Nuclear
Applications Western Blot : 0.5-1ug/ml
Immunofluorescence : 5ug/ml
ELISA : 0.1-0.5ug/ml
Limitations This MED29 antibody is available for research use only.
Review this product on BioCompare and get a $20 Amazon gift card

Description

Mediator of RNA polymerase II transcription subunit 29 (Med29) is a transcription suppressor that in humans is encoded by the MED29 gene. MED29 is a subunit of the Mediator complex, a multiprotein coactivator of RNA transcription that interacts with DNA-bound transcriptional activators, RNA polymerase II and general initiation factors.

Application Notes

Optimal dilution of the MED29 antibody should be determined by the researcher.

Immunogen

An E.coli-derived human recombinant protein (Q29-K184) was used as the immunogen for the MED29 antibody.

Storage

After reconstitution, the MED29 antibody can be stored for up to one month at 4oC. For long-term, aliquot and store at -20oC. Avoid repeated freezing and thawing.

Cross
Bulk Quote Request Form
Name*:
Organization*:
Email*:
Phone Number*:
Catalog No.*:
Comments and Specifics(amount, formulation, etc.)*:
Validation code: Captchapackage Image


Can't read the image? click here to refresh.
    *required field

Your bulk quote request has been submitted successfully!

Please contact us if you have any questions.