• Tel: 858.663.9055
  • SeparatorEmail: info@nsjbio.com
  • Tel: 858.663.9055
  • Email: info@nsjbio.com
Home >> Antibodies >> MECR Antibody / 2-Enoyl thioester reductase

MECR Antibody / 2-Enoyl thioester reductase (RQ8368)

  Catalog No Formulation Size Price (USD)  
Image RQ8368 0.5mg/ml if reconstituted with 0.2ml sterile DI water 100 ug 449
Bulk quote request
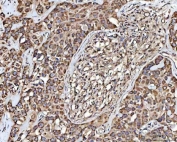
IHC staining of FFPE human parotid acinar cell carcinoma tissue with MECR antibody. HIER: boil tissue sections in pH8 EDTA for 20 min and allow to cool before testing.
IHC staining of FFPE human ovarian cancer tissue with MECR antibody. HIER: boil tissue sections in pH8 EDTA for 20 min and allow to cool before testing.
IHC staining of FFPE human liver cancer tissue with MECR antibody. HIER: boil tissue sections in pH8 EDTA for 20 min and allow to cool before testing.
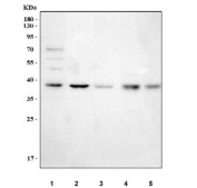
Western blot testing of 1) human HEL, 2) human 293T, 3) rat stomach, 4) mouse heart and 5) mouse stomach tissue lysate with MECR antibody. Predicted molecular weight ~40 kDa.
Flow cytometry testing of fixed and permeabilized human 293T cells with MECR antibody at 1ug/million cells (blocked with goat sera); Red=cells alone, Green=isotype control, Blue= MECR antibody.
Availability 1-3 business days
Species Reactivity Human, Mouse, Rat
Format Antigen affinity purified
Host Rabbit
Clonality Polyclonal (rabbit origin)
Isotype Rabbit IgG
Purity Antigen affinity purified
Buffer Lyophilized from 1X PBS with 2% Trehalose
UniProt Q9BV79
Localization Nuclear, cytoplasmic
Applications Western Blot : 0.5-1ug/ml
Immunohistochemistry (FFPE) : 2-5ug/ml
Flow Cytometry : 1-3ug/million cells
Direct ELISA : 0.1-0.5ug/ml
Limitations This MECR antibody is available for research use only.
Review this product on BioCompare and get a $20 Amazon gift card

Description

Trans-2-enoyl-CoA reductase, mitochondrial is an enzyme that in humans is encoded by the MECR gene. The protein encoded by this gene is an oxidoreductase that catalyzes the last step in mitochondrial fatty acid synthesis. Defects in this gene are a cause of childhood-onset dystonia and optic atrophy.

Application Notes

Optimal dilution of the MECR antibody should be determined by the researcher.

Immunogen

An E.coli-derived human recombinant protein (E39-A359) was used as the immunogen for the MECR antibody.

Storage

After reconstitution, the MECR antibody can be stored for up to one month at 4oC. For long-term, aliquot and store at -20oC. Avoid repeated freezing and thawing.

Cross
Bulk Quote Request Form
Name*:
Organization*:
Email*:
Phone Number*:
Catalog No.*:
Comments and Specifics(amount, formulation, etc.)*:
Validation code: Captchapackage Image


Can't read the image? click here to refresh.
    *required field

Your bulk quote request has been submitted successfully!

Please contact us if you have any questions.