• Tel: 858.663.9055
  • SeparatorEmail: info@nsjbio.com
  • Tel: 858.663.9055
  • Email: info@nsjbio.com
Home >> Antibodies >> ME3 Antibody / Malic enzyme 3

ME3 Antibody / Malic enzyme 3 (FY13361)

  Catalog No Formulation Size Price (USD)  
Image FY13361 Adding 0.2 ml of distilled water will yield a concentration of 500 ug/ml 100 ug 449
Bulk quote request
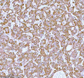
Immunohistochemical staining of using anti-ME3 antibody. ME3 was detected in a paraffin-embedded section of human liver cancer tissue. Heat mediated antigen retrieval was performed in EDTA buffer (pH 8.0, epitope retrieval solution). The tissue section was blocked with 10% goat serum. The tissue section was then incubated with 2 ug/ml rabbit anti-ME3 antibody overnight at 4oC. Peroxidase Conjugated Goat Anti-rabbit IgG was used as secondary antibody and incubated for 30 minutes at 37oC. The tissue section was developed using an HRP secondary and DAB substrate.
Western blot analysis of ME3 using anti-ME3 antibody. Lane 1: monkey COS7 whole cell lysates, Lane 2: human HEL whole cell lysates, Lane 3: rat kidney tissue lysates, Lane 4: rat heart tissue lysates, Lane 5: rat brain tissue lysates, Lane 6: mouse kidney tissue lysates, Lane 8: mouse heart tissue lysates, Lane 9: mouse brain tissue lysates. After electrophoresis, proteins were transferred to a nitrocellulose membrane at 150 mA for 50-90 minutes. Blocked the membrane with 5% non-fat milk/TBS for 1.5 hour at RT. The membrane was incubated with rabbit anti-ME3 antibody at 0.25 ug/ml overnight at 4oC, then washed with TBS-0.1%Tween 3 times with 5 minutes each and probed with a goat anti-rabbit IgG-HRP secondary antibody at a dilution of 1:5000 for 1.5 hour at RT. The signal was developed using enhanced chemiluminescent. Western blot analysis shows a dominant ~65-70 kDa band corresponding to the full-length protein, consistent with the predicted size. A secondary band at ~50-55 kDa is also detected in multiple tissues, likely representing a known processed or truncated mitochondrial form of ME3 reported in the literature.
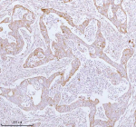
Immunohistochemical staining of using anti-ME3 antibody. ME3 was detected in a paraffin-embedded section of human lung adenocarcinoma tissue. Heat mediated antigen retrieval was performed in EDTA buffer (pH 8.0, epitope retrieval solution). The tissue section was blocked with 10% goat serum. The tissue section was then incubated with 2 ug/ml rabbit anti-ME3 antibody overnight at 4oC. Peroxidase Conjugated Goat Anti-rabbit IgG was used as secondary antibody and incubated for 30 minutes at 37oC. The tissue section was developed using an HRP secondary and DAB substrate.
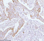
Immunohistochemical staining of using anti-ME3 antibody. ME3 was detected in a paraffin-embedded section of human placenta tissue. Heat mediated antigen retrieval was performed in EDTA buffer (pH 8.0, epitope retrieval solution). The tissue section was blocked with 10% goat serum. The tissue section was then incubated with 2 ug/ml rabbit anti-ME3 antibody overnight at 4oC. Peroxidase Conjugated Goat Anti-rabbit IgG was used as secondary antibody and incubated for 30 minutes at 37oC. The tissue section was developed using an HRP secondary and DAB substrate.
Immunohistochemical staining of using anti-ME3 antibody. ME3 was detected in a paraffin-embedded section of human placenta tissue. Heat mediated antigen retrieval was performed in EDTA buffer (pH 8.0, epitope retrieval solution). The tissue section was blocked with 10% goat serum. The tissue section was then incubated with 2 ug/ml rabbit anti-ME3 antibody overnight at 4oC. Peroxidase Conjugated Goat Anti-rabbit IgG was used as secondary antibody and incubated for 30 minutes at 37oC. The tissue section was developed using an HRP secondary and DAB substrate.
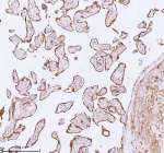
Immunohistochemical staining of using anti-ME3 antibody. ME3 was detected in a paraffin-embedded section of human prostate adenocarcinoma tissue. Heat mediated antigen retrieval was performed in EDTA buffer (pH 8.0, epitope retrieval solution). The tissue section was blocked with 10% goat serum. The tissue section was then incubated with 2 ug/ml rabbit anti-ME3 antibody overnight at 4oC. Peroxidase Conjugated Goat Anti-rabbit IgG was used as secondary antibody and incubated for 30 minutes at 37oC. The tissue section was developed using an HRP secondary and DAB substrate.
Immunohistochemical staining of using anti-ME3 antibody. ME3 was detected in a paraffin-embedded section of human prostate adenocarcinoma tissue. Heat mediated antigen retrieval was performed in EDTA buffer (pH 8.0, epitope retrieval solution). The tissue section was blocked with 10% goat serum. The tissue section was then incubated with 2 ug/ml rabbit anti-ME3 antibody overnight at 4oC. Peroxidase Conjugated Goat Anti-rabbit IgG was used as secondary antibody and incubated for 30 minutes at 37oC. The tissue section was developed using an HRP secondary and DAB substrate.
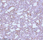
Immunohistochemical staining of using anti-ME3 antibody. ME3 was detected in a paraffin-embedded section of human rectum adenocarcinoma tissue. Heat mediated antigen retrieval was performed in EDTA buffer (pH 8.0, epitope retrieval solution). The tissue section was blocked with 10% goat serum. The tissue section was then incubated with 2 ug/ml rabbit anti-ME3 antibody overnight at 4oC. Peroxidase Conjugated Goat Anti-rabbit IgG was used as secondary antibody and incubated for 30 minutes at 37oC. The tissue section was developed using an HRP secondary and DAB substrate.
Immunohistochemical staining of using anti-ME3 antibody. ME3 was detected in a paraffin-embedded section of human rectum adenocarcinoma tissue. Heat mediated antigen retrieval was performed in EDTA buffer (pH 8.0, epitope retrieval solution). The tissue section was blocked with 10% goat serum. The tissue section was then incubated with 2 ug/ml rabbit anti-ME3 antibody overnight at 4oC. Peroxidase Conjugated Goat Anti-rabbit IgG was used as secondary antibody and incubated for 30 minutes at 37oC. The tissue section was developed using an HRP secondary and DAB substrate.
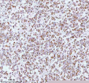
Immunohistochemical staining of using anti-ME3 antibody. ME3 was detected in a paraffin-embedded section of human testicular seminoma tissue. Heat mediated antigen retrieval was performed in EDTA buffer (pH 8.0, epitope retrieval solution). The tissue section was blocked with 10% goat serum. The tissue section was then incubated with 2 ug/ml rabbit anti-ME3 antibody overnight at 4oC. Peroxidase Conjugated Goat Anti-rabbit IgG was used as secondary antibody and incubated for 30 minutes at 37oC. The tissue section was developed using an HRP secondary and DAB substrate.
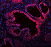
Immunofluorescent staining of FFPE human prostate cancer tissue with ME3 antibody (red) and DAPI nuclear stain (blue). HIER: steam section in pH8 EDTA buffer for 20 min.
Immunofluorescent staining of FFPE human colon cancer tissue with ME3 antibody (red) and DAPI nuclear stain (blue). HIER: steam section in pH8 EDTA buffer for 20 min.
Immunofluorescent staining of FFPE human placental tissue with ME3 antibody (red) and DAPI nuclear stain (blue). HIER: steam section in pH8 EDTA buffer for 20 min.
Flow cytometry analysis of fixed and permeabilized human HEL cells with ME3 antibody at 1ug/million cells (blocked with goat sera); Red=cells alone, Green=isotype control, Blue= ME3 antibody.
Availability 1-2 days
Species Reactivity Human, Monkey, Mouse, Rat
Format Lyophilized
Host Rabbit
Clonality Polyclonal (rabbit origin)
Isotype Rabbit IgG
Purity Immunogen affinity purified
Buffer Each vial contains 4 mg Trehalose, 0.9 mg NaCl, 0.2 mg Na2HPO4.
UniProt Q16798
Localization Mitochondria
Applications ELISA : 0.1-0.5ug/ml
Flow Cytometry : 1-3ug/million cells
Immunofluorescence : 5ug/ml
Immunohistochemistry : 2-5ug/ml
Western Blot : 0.25-0.5ug/ml
Limitations This ME3 antibody is available for research use only.
Review this product on BioCompare and get a $20 Amazon gift card

Description

ME3 antibody detects Malic enzyme 3, a mitochondrial NADP+-dependent oxidoreductase encoded by the ME3 gene located on chromosome 11q14.2. ME3 belongs to the malic enzyme family, which catalyzes the oxidative decarboxylation of malate to pyruvate, generating NADPH used in lipid biosynthesis and antioxidant defense. ME3 is expressed in brain, kidney, liver, and pancreatic tissues, where it contributes to cellular redox balance and mitochondrial metabolism. The enzyme plays a particularly important role in maintaining NADPH levels required for fatty acid synthesis and glutathione reduction.

Structurally, ME3 is a homotetrameric enzyme localized to the mitochondrial matrix. It shares significant sequence and structural homology with the cytosolic malic enzyme ME1 and the mitochondrial NAD+-dependent isoform ME2 but is distinct in its strict requirement for NADP+ as a cofactor. The protein consists of an N-terminal coenzyme-binding domain and a C-terminal catalytic domain that coordinates divalent metal ions such as magnesium or manganese for catalytic activity. ME3 belongs to the malic enzyme family of oxidative decarboxylases that bridge carbohydrate metabolism with lipid and amino acid biosynthesis.

Functionally, ME3 contributes to metabolic flexibility by linking glycolysis and the tricarboxylic acid (TCA) cycle with biosynthetic pathways. It catalyzes the reversible conversion of malate to pyruvate, generating NADPH for reductive reactions in mitochondria. In pancreatic beta cells, ME3 supports insulin secretion by providing NADPH for redox-sensitive signaling pathways. In neurons, it enhances mitochondrial function and protects against oxidative stress by maintaining NADPH-dependent antioxidant systems such as glutathione reductase. Known substrates include L-malate and NADP+, with pyruvate and carbon dioxide as products.

ME3 activity is closely tied to cellular energy demand and oxidative stress responses. During high biosynthetic activity, ME3-generated NADPH fuels lipid synthesis and reactive oxygen species detoxification. Dysregulation of ME3 expression has been linked to metabolic disorders, neurodegeneration, and cancer. Overexpression can enhance proliferation by increasing NADPH supply for anabolic metabolism, while deficiency impairs mitochondrial redox control. Pathway associations include the TCA cycle, oxidative phosphorylation, and NADPH regeneration pathways. Expression of ME3 increases during metabolic adaptation in tissues such as liver and kidney.

Immunohistochemical staining using ME3 antibody shows mitochondrial localization in hepatocytes, neurons, and renal tubular cells. The ME3 antibody from NSJ Bioreagents is an excellent reagent for studying mitochondrial redox metabolism, energy balance, and biosynthetic regulation.

Application Notes

Optimal dilution of the ME3 antibody should be determined by the researcher.

Immunogen

E.coli-derived human ME3 recombinant protein (Position: R17-D585) was used as the immunogen for the ME3 antibody.

Storage

After reconstitution, the ME3 antibody can be stored for up to one month at 4oC. For long-term, aliquot and store at -20oC. Avoid repeated freezing and thawing.

Cross
Bulk Quote Request Form
Name*:
Organization*:
Email*:
Phone Number*:
Catalog No.*:
Comments and Specifics(amount, formulation, etc.)*:
Validation code: Captchapackage Image


Can't read the image? click here to refresh.
    *required field

Your bulk quote request has been submitted successfully!

Please contact us if you have any questions.