• Tel: 858.663.9055
  • SeparatorEmail: info@nsjbio.com
  • Tel: 858.663.9055
  • Email: info@nsjbio.com
Home >> Antibodies >> ME2 Antibody / NAD-ME

ME2 Antibody / NAD-ME (RQ5663)

  Catalog No Formulation Size Price (USD)  
Image RQ5663 0.5mg/ml if reconstituted with 0.2ml sterile DI water 100 ug 449
Bulk quote request
Immunofluorescent staining of FFPE human intestinal cancer with ME2 antibody (green) and DAPI nuclear stain (blue). HIER: steam section in pH6 citrate buffer for 20 min.
Immunofluorescent staining of FFPE human HeLa cells with ME2 antibody (green) and DAPI nuclear stain (blue). HIER: steam section in pH6 citrate buffer for 20 min.
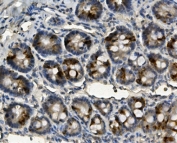
IHC staining of FFPE human rectal cancer with ME2 antibody. HIER: boil tissue sections in pH8 EDTA for 20 min and allow to cool before testing.
IHC staining of FFPE human rectal cancer with ME2 antibody. HIER: boil tissue sections in pH8 EDTA for 20 min and allow to cool before testing.
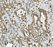
IHC staining of FFPE human ovarian cancer with ME2 antibody. HIER: boil tissue sections in pH8 EDTA for 20 min and allow to cool before testing.
IHC staining of FFPE rat intestine with ME2 antibody. HIER: boil tissue sections in pH8 EDTA for 20 min and allow to cool before testing.
Western blot testing of human 1) Jurkat, 2) K562, 3) HEK293, 4) placenta, 5) PC-3 and 6) mouse COS-7 lysate with ME2 antibody. Predicted molecular weight ~65 kDa.
Western blot testing of rat 1) spleen, 2) thymus, 3) kidney and mouse 4) RAW264.7 and 5) NIH 3T3 lysate with ME2 antibody. Predicted molecular weight ~65 kDa.
Availability 1-3 business days
Species Reactivity Human, Mouse, Rat, Monkey
Format Antigen affinity purified
Host Rabbit
Clonality Polyclonal
Isotype Rabbit IgG
Purity Affinity purified
Buffer Lyophilized from 1X PBS with 2% Trehalose and 0.025% sodium azide
UniProt P23368
Applications Western Blot : 0.5-1ug/ml
Immunohistochemistry : 1-2ug/ml
Immunofluorescence : 2-4ug/ml
Direct ELISA : 0.1-0.5ug/ml
Limitations This ME2 antibody is available for research use only.
Review this product on BioCompare and get a $20 Amazon gift card

Description

NAD-dependent malic enzyme, mitochondrial is a protein that in humans is encoded by the ME2 gene. It is mapped to 18q21.2. This gene encodes a mitochondrial NAD-dependent malic enzyme, a homotetrameric protein, that catalyzes the oxidative decarboxylation of malate to pyruvate. It had previously been weakly linked to a syndrome known as Friedreich ataxia that has since been shown to be the result of mutation in a completely different gene. Certain single-nucleotide polymorphism haplotypes of this gene have been shown to increase the risk for idiopathic generalized epilepsy. Alternatively spliced transcript variants encoding different isoforms found for this gene.

Application Notes

Optimal dilution of the ME2 antibody should be determined by the researcher.

Immunogen

Recombinant human protein (amino acids K26-E584) was used as the immunogen for the ME2 antibody.

Storage

After reconstitution, the ME2 antibody can be stored for up to one month at 4oC. For long-term, aliquot and store at -20oC. Avoid repeated freezing and thawing.

Cross
Bulk Quote Request Form
Name*:
Organization*:
Email*:
Phone Number*:
Catalog No.*:
Comments and Specifics(amount, formulation, etc.)*:
Validation code: Captchapackage Image


Can't read the image? click here to refresh.
    *required field

Your bulk quote request has been submitted successfully!

Please contact us if you have any questions.