• Tel: 858.663.9055
  • SeparatorEmail: info@nsjbio.com
  • Tel: 858.663.9055
  • Email: info@nsjbio.com
Home >> Antibodies >> MDR1 Antibody / Multidrug resistance protein 1 / ABCB1

MDR1 Antibody / Multidrug resistance protein 1 / ABCB1 [clone ABCB1/9307] (V5968)

  Catalog No Formulation Size Price (USD)  
Image V5968-100UG 0.2 mg/ml in 1X PBS with 0.05% BSA, 0.05% sodium azide 100 ug 559
Image
V5968-20UG 0.2 mg/ml in 1X PBS with 0.05% BSA, 0.05% sodium azide 20 ug 259
Image
V5968SAF-100UG 1 mg/ml in 1X PBS; BSA free, sodium azide free 100 ug 559
Bulk quote request
Western blot analysis of MDR1 / Multidrug resistance protein 1 antibody in human tissues. Western blot was performed using MDR1 / Multidrug resistance protein 1 antibody (clone ABCB1/9307) on human kidney and human liver tissue lysates. A prominent immunoreactive band is detected at approximately 170 kDa in both tissues, consistent with the predicted molecular weight of ABCB1, commonly referred to as p170 or P-glycoprotein. The observed band appears slightly diffuse, which is consistent with the heavily glycosylated nature of MDR1 and its membrane-associated localization. The detected signal aligns with the predicted molecular weight under reducing conditions. ABCB1 is highly expressed in epithelial barrier tissues such as kidney proximal tubules and liver canalicular membranes, and the strong band intensity in these samples supports specific detection of endogenous MDR1.
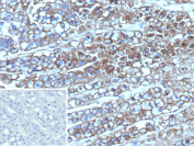
Immunohistochemistry analysis of MDR1 / Multidrug resistance protein 1 antibody in human adrenal gland. FFPE human adrenal gland tissue was stained with MDR1 / Multidrug resistance protein 1 antibody (clone ABCB1/9307). HRP-DAB brown chromogenic signal is observed predominantly along the plasma membrane of adrenal cortical cells, producing strong circumferential membranous staining consistent with the known localization of the p170 ABCB1 drug efflux transporter. Cortical cell nests demonstrate prominent membrane-associated signal, while surrounding stromal components show minimal background staining. The inset negative control using PBS instead of primary antibody shows no specific brown staining. Nuclei are counterstained blue. Heat-induced epitope retrieval was performed by boiling tissue sections in 10 mM Tris with 1 mM EDTA, pH 9.0, for 45 minutes at 95oC followed by cooling at room temperature prior to antibody incubation.
SDS-PAGE Analysis of Purified MDR1/Multidrug resistance protein 1 antibody (ABCB1/9307). Confirmation of Purity and Integrity of Antibody.
Species Reactivity Human
Format Purified
Host Mouse
Clonality Monoclonal (mouse origin)
Isotype Mouse IgG2a, kappa
Clone Name ABCB1/9307
Purity Protein A affinity
UniProt P08183
Localization Apical cell membrane, Cell membrane, Cytoplasm
Applications Immunohistochemistry (FFPE) : 1-2ug/ml
Western Blot : 2-4ug/ml
Limitations This MDR1/Multidrug resistance protein 1 antibody is available for research use only.
Review this product on BioCompare and get a $20 Amazon gift card

Related Products

Description

MDR1 antibody, also known as Multidrug resistance protein 1 antibody, recognizes a transmembrane ATP-dependent drug efflux transporter encoded by the ABCB1 gene. Multidrug resistance protein 1, commonly referred to as P-glycoprotein and CD243, is a member of the ATP-binding cassette transporter superfamily. The protein is predominantly localized to the plasma membrane, particularly at the apical surface of polarized epithelial cells. High expression is observed in intestine, liver canalicular membranes, kidney proximal tubules, placental trophoblasts, and endothelial cells of the blood-brain barrier, where it contributes to xenobiotic protection and pharmacologic barrier function.

Multidrug resistance protein 1 functions as an ATP-driven efflux pump that transports a wide range of structurally diverse substrates out of cells. By reducing intracellular drug accumulation, MDR1 plays a central role in chemotherapeutic resistance across multiple cancer types. MDR1 antibody, also referred to as ABCB1 antibody and P-glycoprotein antibody in the literature, is widely used to study mechanisms of drug resistance, epithelial transport biology, and pharmacokinetic regulation.

Structurally, Multidrug resistance protein 1 contains two transmembrane domains that create the substrate translocation pathway and two cytoplasmic nucleotide-binding domains responsible for ATP binding and hydrolysis. Conformational changes induced by ATP hydrolysis drive substrate extrusion across the plasma membrane. The protein undergoes glycosylation and other post-translational modifications that regulate stability and membrane targeting. In polarized tissues, MDR1 is enriched at the apical membrane, facilitating directional transport into luminal spaces.

Overexpression of MDR1 is frequently associated with acquired drug resistance in breast, ovarian, colorectal, and hematologic malignancies. Elevated expression correlates with decreased responsiveness to chemotherapy and altered therapeutic outcomes. Beyond oncology, ABCB1 influences systemic drug distribution and central nervous system penetration. Clone ABCB1/9307 recognizes Multidrug resistance protein 1 and is suitable for detecting MDR1 expression in relevant research applications.

Application Notes

Optimal dilution of the MDR1/Multidrug resistance protein 1 antibody should be determined by the researcher.

Immunogen

A recombinant fragment (around amino acids 500-700) of human ABCB1 protein (exact sequence is proprietary) was used as the immunogen for the MDR1/Multidrug resistance protein 1 antibody.

Storage

MDR1/Multidrug resistance protein 1 antibody with sodium azide - store at 2 to 8oC; antibody without sodium azide - store at -20 to -80oC.

Cross
Bulk Quote Request Form
Name*:
Organization*:
Email*:
Phone Number*:
Catalog No.*:
Comments and Specifics(amount, formulation, etc.)*:
Validation code: Captchapackage Image


Can't read the image? click here to refresh.
    *required field

Your bulk quote request has been submitted successfully!

Please contact us if you have any questions.