• Tel: 858.663.9055
  • SeparatorEmail: info@nsjbio.com
  • Tel: 858.663.9055
  • Email: info@nsjbio.com
Home >> Antibodies >> MDM2 Antibody

MDM2 Antibody [clone MDM2/7942] (V4309)

  Catalog No Formulation Size Price (USD)  
Image V4309-100UG 0.2 mg/ml in 1X PBS with 0.1 mg/ml BSA (US sourced), 0.05% sodium azide 100 ug 559
Image
V4309-20UG 0.2 mg/ml in 1X PBS with 0.1 mg/ml BSA (US sourced), 0.05% sodium azide 20 ug 259
Image
V4309SAF-100UG 1 mg/ml in 1X PBS; BSA free, sodium azide free 100 ug 559
Bulk quote request
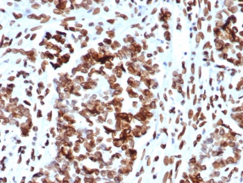
IHC staining of FFPE human ovarian cancer tissue with MDM2 antibody (clone MDM2/7942). HIER: boil tissue sections in pH 9 10mM Tris with 1mM EDTA for 20 min and allow to cool before testing.
SDS-PAGE analysis of purified, BSA-free MDM2 antibody (clone MDM2/7942) as confirmation of integrity and purity.
Availability 1-3 business days
Species Reactivity Human
Format Purified
Host Mouse
Clonality Monoclonal (mouse origin)
Isotype Mouse IgG2, kappa
Clone Name MDM2/7942
Purity Protein A/G affinity
UniProt Q00987
Localization Nucleus
Applications Immunohistochemistry (FFPE) : 1-2ug/ml
Limitations This MDM2 antibody is available for research use only.
Review this product on BioCompare and get a $20 Amazon gift card

Related Products

  • Applications : ELISA
    Reactivity : Human
    Recrabbitmono
  • Applications : IHC-P
    Reactivity : Human
    Recrabbitmono
  • Applications : IHC-P
    Reactivity : Human
    Recrabbitmono
  • Applications : IHC-P
    Reactivity : Human
    Recmousemono
  • Applications : IHC-P
    Reactivity : Human
    Microvalidated
  • Applications : ELISA, WB, IHC-P
    Reactivity : Human, Mouse, Rat
  • Applications : IHC-P
    Reactivity : Human
  • Applications : IHC-P
    Reactivity : Human
  • Applications : IHC-P
    Reactivity : Human
  • Applications : WB
    Reactivity : Human, Mouse, Rat
  • Applications : IHC, IF, WB, ELISA
    Reactivity : Human
  • Applications : DB, ELISA
    Reactivity : Human
  • Applications : DB, ELISA
    Reactivity : Human
  • Applications : WB, ELISA (peptide)
    Reactivity : Human
    Pred. Reactivity : Rat, Dog, Pig, Cat, Cow
  • Applications : WB, IHC, ELISA
    Reactivity : Human, Mouse
  • Applications : WB
    Reactivity : Human, Mouse, Rat

Description

MDM2 is a nuclear phosphoprotein that binds and inhibits transactivation by tumor protein p53. It can promote tumor formation by targeting tumor suppressor proteins, such as p53, for proteasomal degradation. Overexpression of MDM2 can result in excessive inactivation of tumor protein p53, diminishing its tumor suppressor function. This protein also affects the cell cycle, apoptosis, and tumorigenesis through interactions with other proteins, including retinoblastoma 1 and ribosomal protein L5. Overexpression of MDM2 protein is detected in a variety of cancers.

Application Notes

Optimal dilution of the MDM2 antibody should be determined by the researcher.

Immunogen

A recombinant human MDM2 protein fragment (within amino acids 1-300) was used as the immunogen for the MDM2 antibody.

Storage

Aliquot the MDM2 antibody and store frozen at -20oC or colder. Avoid repeated freeze-thaw cycles.

Cross
Bulk Quote Request Form
Name*:
Organization*:
Email*:
Phone Number*:
Catalog No.*:
Comments and Specifics(amount, formulation, etc.)*:
Validation code: Captchapackage Image


Can't read the image? click here to refresh.
    *required field

Your bulk quote request has been submitted successfully!

Please contact us if you have any questions.