• Tel: 858.663.9055
  • SeparatorEmail: info@nsjbio.com
  • Tel: 858.663.9055
  • Email: info@nsjbio.com
Home >> Antibodies >> MCUR1 Antibody / Mitochondrial calcium uniporter regulator 1

MCUR1 Antibody / Mitochondrial calcium uniporter regulator 1 (RQ4944)

  Catalog No Formulation Size Price (USD)  
Image RQ4944 0.5mg/ml if reconstituted with 0.2ml sterile DI water 100 ug 449
Bulk quote request
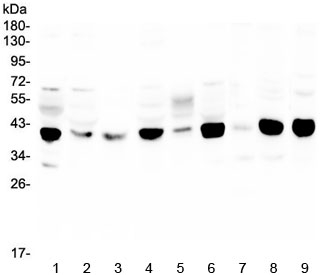
Western blot testing of human 1) HeLa, 2) MDA-MB-231, 3) HL-60, 4) MDA-MB-453, 5) A431, 6) Caco-2, 7) rat spleen, 8) mouse lung and 9) mouse ANA-1 lysate with MCUR1 antibody at 0.5ug/ml. Predicted molecular weight ~40 kDa.
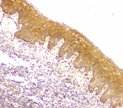
IHC staining of FFPE human tonsil tissue with MCUR1 antibody at 1ug/ml. HIER: boil tissue sections in pH6, 10mM citrate buffer, for 10-20 min and allow to cool before testing.
IHC staining of FFPE human placenta tissue with MCUR1 antibody at 1ug/ml. HIER: boil tissue sections in pH6, 10mM citrate buffer, for 10-20 min and allow to cool before testing.
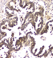
IHC staining of FFPE human lung cancer tissue with MCUR1 antibody at 1ug/ml. HIER: boil tissue sections in pH6, 10mM citrate buffer, for 10-20 min and allow to cool before testing.
IHC staining of FFPE human esophageal squamous cancer with MCUR1 antibody at 1ug/ml. HIER: boil tissue sections in pH6, 10mM citrate buffer, for 10-20 min and allow to cool before testing.
IHC staining of FFPE human ovarian cancer tissue with MCUR1 antibody at 1ug/ml. HIER: boil tissue sections in pH6, 10mM citrate buffer, for 10-20 min and allow to cool before testing.
Availability 1-3 business days
Species Reactivity Human, Mouse, Rat
Format Antigen affinity purified
Host Rabbit
Clonality Polyclonal (rabbit origin)
Isotype Rabbit IgG
Purity Antigen affinity purified
Buffer Lyophilized from 1X PBS with 2% Trehalose and 0.025% sodium azide
UniProt Q96AQ8
Localization Cytoplasmic
Applications Western Blot : 0.5-1ug/ml
Immunohistochemistry (FFPE) : 1-2ug/ml
Limitations This MCUR1 antibody is available for research use only.
Review this product on BioCompare and get a $20 Amazon gift card

Description

MCUR1 is an inner mitochondrial membrane protein that has been shown to function as a component of the mitochondrial Ca(2+) uniporter, in the assembly of mitochondrial respiratory complex IV, and in mitochondrial permeability transition (MPT). The MCUR1 gene is mapped to chromosome 6p23 based on an alignment of the MCUR1 sequence with the genomic sequence.

Application Notes

Optimal dilution of the MCUR1 antibody should be determined by the researcher.

Immunogen

Amino acids ATQQAEIIVSALVKILEANMDIVYKDMVTKMQQE from the human protein were used as the immunogen for the MCUR1 antibody.

Storage

After reconstitution, the MCUR1 antibody can be stored for up to one month at 4oC. For long-term, aliquot and store at -20oC. Avoid repeated freezing and thawing.

Cross
Bulk Quote Request Form
Name*:
Organization*:
Email*:
Phone Number*:
Catalog No.*:
Comments and Specifics(amount, formulation, etc.)*:
Validation code: Captchapackage Image


Can't read the image? click here to refresh.
    *required field

Your bulk quote request has been submitted successfully!

Please contact us if you have any questions.