• Tel: 858.663.9055
  • SeparatorEmail: info@nsjbio.com
  • Tel: 858.663.9055
  • Email: info@nsjbio.com
Home >> Antibodies >> MCU Antibody

MCU Antibody (RQ5827)

  Catalog No Formulation Size Price (USD)  
Image RQ5827 0.5mg/ml if reconstituted with 0.2ml sterile DI water 100 ug 449
Bulk quote request
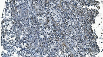
IHC staining of FFPE human liver cancer with MCU antibody. HIER: boil tissue sections in pH8 EDTA for 20 min and allow to cool before testing.
IHC staining of FFPE human bladder cancer with MCU antibody. HIER: boil tissue sections in pH8 EDTA for 20 min and allow to cool before testing.
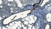
IHC staining of FFPE mouse lung with MCU antibody. HIER: boil tissue sections in pH8 EDTA for 20 min and allow to cool before testing.
IHC staining of FFPE rat lung with MCU antibody. HIER: boil tissue sections in pH8 EDTA for 20 min and allow to cool before testing.
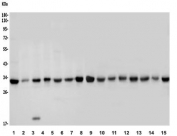
Western blot testing of human 1) HeLa, 2) A549, 3) PANC-1, 4) monkey COS-7, 5) HL-60, 6) HepG2, 7) Jurkat and rat 8) brain, 9) kidney, 10) heart, 11) PC-12 and mouse 12) brain, 13) kidney, 14) heart and 15) NIH 3T3 lysate with MCU antibody. Predicted molecular weight ~34 kDa.
Flow cytometry testing of human HeLa cells with MCU antibody at 1ug/million cells (blocked with goat sera); Red=cells alone, Green=isotype control, Blue= MCU antibody.
Availability 1-3 business days
Species Reactivity Human, Mouse, Rat
Format Antigen affinity purified
Host Rabbit
Clonality Polyclonal (rabbit origin)
Isotype Rabbit IgG
Purity Affinity purified
Buffer Lyophilized from 1X PBS with 2% Trehalose and 0.025% sodium azide
UniProt Q8NE86
Localization Cytoplasmic
Applications Western Blot : 0.5-1ug/ml
Immunohistochemistry : 1-2ug/ml
Flow Cytometry : 1-3ug/million cells
Direct ELISA : 0.1-0.5ug/ml
Limitations This MCU antibody is available for research use only.
Review this product on BioCompare and get a $20 Amazon gift card

Description

The mitochondrial calcium uniporter (MCU) is a transmembrane protein that allows the passage of calcium ions from a cell's cytosol into mitochondria. Its activity is regulated by MICU1 and MICU2, which together with the MCU make up the mitochondrial calcium uniporter complex. This gene encodes a calcium transporter that localizes to the mitochondrial inner membrane. The encoded protein interacts with mitochondrial calcium uptake 1. Alternative splicing results in multiple transcript variants.

Application Notes

Optimal dilution of the MCU antibody should be determined by the researcher.

Immunogen

Recombinant human protein (amino acids V51-D351) was used as the immunogen for the MCU antibody.

Storage

After reconstitution, the MCU antibody can be stored for up to one month at 4oC. For long-term, aliquot and store at -20oC. Avoid repeated freezing and thawing.

Cross
Bulk Quote Request Form
Name*:
Organization*:
Email*:
Phone Number*:
Catalog No.*:
Comments and Specifics(amount, formulation, etc.)*:
Validation code: Captchapackage Image


Can't read the image? click here to refresh.
    *required field

Your bulk quote request has been submitted successfully!

Please contact us if you have any questions.