- Tel: 858.663.9055
- 
									 Email: info@nsjbio.com Email: info@nsjbio.com
- Tel: 858.663.9055
- Email: info@nsjbio.com
 Email: info@nsjbio.com
Email: info@nsjbio.com
								Related Products
| 
 | 
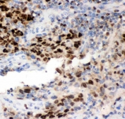
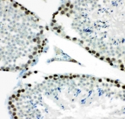
Minichromosome Maintenance 7, also called CDC47, is one of the highly conserved mini-chromosome maintenance proteins (MCM) that are essential for the initiation of eukaryotic genome replication. MCM7 plays a pivotal role in the G1/S phase transition, orchestrating the correct assembly of replication forks on chromosomal DNA and ensuring that all the genome is replicated once and not more than once at each cell cycle.
Variations in secondary/substrate sensitivities and test protocols may require the MCM7 antibody to be titrated for optimal performance.
Human partial recombinant protein (AA 526-719) was used as the immunogen for this MCM7 antibody.
The lyophilized MCM7 antibody can be stored at 4oC to -20oC. After reconstitution, aliquot and store at -20oC. Avoid repeated freeze/thaws.
 
Your bulk quote request has been submitted successfully!
Please contact us if you have any questions.