• Tel: 858.663.9055
  • SeparatorEmail: info@nsjbio.com
  • Tel: 858.663.9055
  • Email: info@nsjbio.com
Home >> Antibodies >> MCM5 Antibody

MCM5 Antibody (RQ5988)

  Catalog No Formulation Size Price (USD)  
Image RQ5988 0.5mg/ml if reconstituted with 0.2ml sterile DI water 100 ug 449
Bulk quote request
Immunofluorescent staining of FFPE human breast cancer with MCM5 antibody (green) and DAPI nuclear stain (blue). HIER: steam section in pH8 EDTA for 20 min.
Immunofluorescent staining of FFPE human HeLa cells with MCM5 antibody (green) and DAPI nuclear stain (blue). HIER: steam section in pH6 citrate buffer for 20 min.
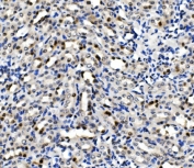
IHC staining of FFPE human breast cancer with MCM5 antibody. HIER: boil tissue sections in pH8 EDTA for 20 min and allow to cool before testing.
IHC staining of FFPE human breast cancer with MCM5 antibody. HIER: boil tissue sections in pH8 EDTA for 20 min and allow to cool before testing.
IHC staining of FFPE rat kidney with MCM5 antibody. HIER: boil tissue sections in pH8 EDTA for 20 min and allow to cool before testing.
Western blot testing of 1) human Jurkat, 2) rat thymus and 3) mouse thymus lysate with MCM5 antibody. Expected molecular weight: 80-90 kDa.
Flow cytometry testing of human HepG2 cells with MCM5 antibody at 1ug/million cells (blocked with goat sera); Red=cells alone, Green=isotype control, Blue= MCM5 antibody.
Availability 1-3 business days
Species Reactivity Human, Mouse, Rat
Format Antigen affinity purified
Clonality Polyclonal (rabbit origin)
Isotype Rabbit IgG
Purity Affinity purified
Buffer Lyophilized from 1X PBS with 2% Trehalose and 0.025% sodium azide
UniProt P33992
Localization Nuclear, cytoplasmic
Applications Western Blot : 0.5-1ug/ml
Immunohistochemistry : 1-2ug/ml
Immunofluorescence : 2-4ug/ml
Flow Cytometry : 1-3ug/million cells
Direct ELISA : 0.1-0.5ug/ml
Limitations This MCM5 antibody is available for research use only.
Review this product on BioCompare and get a $20 Amazon gift card

Related Products

  • Applications : WB, IHC-P, IF, FACS
    Reactivity : Human, Mouse, Rat
  • Applications : WB, IHC-P
    Reactivity : Human, Mouse, Rat

Description

DNA replication licensing factor MCM5 is a protein that in humans is encoded by the MCM5 gene. It is mapped to 22q12.3. The protein encoded by this gene is structurally very similar to the CDC46 protein from S. cerevisiae, a protein involved in the initiation of DNA replication. The encoded protein is a member of the MCM family of chromatin-binding proteins and can interact with at least two other members of this family. The encoded protein is upregulated in the transition from the G0 to G1/S phase of the cell cycle and may actively participate in cell cycle regulation.

Application Notes

Optimal dilution of the MCM5 antibody should be determined by the researcher.

Immunogen

Recombinant human protein (amino acids K206-H723) was used as the immunogen for the MCM5 antibody.

Storage

After reconstitution, the MCM5 antibody can be stored for up to one month at 4oC. For long-term, aliquot and store at -20oC. Avoid repeated freezing and thawing.

Cross
Bulk Quote Request Form
Name*:
Organization*:
Email*:
Phone Number*:
Catalog No.*:
Comments and Specifics(amount, formulation, etc.)*:
Validation code: Captchapackage Image


Can't read the image? click here to refresh.
    *required field

Your bulk quote request has been submitted successfully!

Please contact us if you have any questions.