• Tel: 858.663.9055
  • SeparatorEmail: info@nsjbio.com
  • Tel: 858.663.9055
  • Email: info@nsjbio.com
Home >> Antibodies >> MCM5 Antibody

MCM5 Antibody (R30737)

  Catalog No Formulation Size Price (USD)  
Image R30737 0.5mg/ml if reconstituted with 0.2ml sterile DI water 100 ug 449
Bulk quote request
Western blot testing of MCM5 antibody and Lane 1: rat testis; 2: rat brain; 3: Jurkat cell lysate. Expected molecular weight: 80~90 kDa.
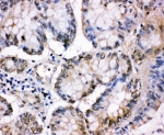
IHC-P: MCM5 antibody testing of human intestinal cancer tissue
Western blot testing of human Jurkat lysate with MCM5 antibody. Expected molecular weight: 80~90 kDa.
Availability 1-3 business days
Species Reactivity Human, Mouse, Rat
Format Antigen affinity purified
Clonality Polyclonal (rabbit origin)
Isotype Rabbit IgG
Purity Antigen affinity
Buffer Lyophilized from 1X PBS with 2.5% BSA and 0.025% sodium azide/thimerosal
UniProt P33992
Applications Western Blot : 0.5-1ug/ml
IHC (FFPE) : 0.5-1ug/ml
Limitations This MCM5 antibody is available for research use only.
Review this product on BioCompare and get a $20 Amazon gift card

Related Products

  • Applications : WB, IHC-P, IF, FACS
    Reactivity : Human, Mouse, Rat
  • Applications : WB, IHC-P, IF, FACS, Direct ELISA
    Reactivity : Human, Mouse, Rat

Description

Minichromosome maintenance, S. cerevisiae, homolog of, 5, also known as CDC46, is a protein that in humans is encoded by the MCM5 gene. The protein is structurally very similar to the CDC46 protein from S. cerevisiae, a protein involved in the initiation of DNA replication. And it is a member of the MCM family of chromatin-binding proteins and can interact with at least two other members of this family. The MCM5 gene contains 16 exons and the encoded protein is upregulated in the transition from the G0 to G1/S phase of the cell cycle and may actively participate in cell cycle regulation.

Application Notes

The stated application concentrations are suggested starting amounts. Titration of the MCM5 antibody may be required due to differences in protocols and secondary/substrate sensitivity.

Immunogen

An amino acid sequence from the C-terminus of human MCM5 (EIQHRMQRKVLYRLK) was used as the immunogen for this MCM5 antibody (100% homologous in human, mouse and rat).

Storage

After reconstitution, the MCM5 antibody can be stored for up to one month at 4oC. For long-term, aliquot and store at -20oC. Avoid repeated freezing and thawing.

Cross
Bulk Quote Request Form
Name*:
Organization*:
Email*:
Phone Number*:
Catalog No.*:
Comments and Specifics(amount, formulation, etc.)*:
Validation code: Captchapackage Image


Can't read the image? click here to refresh.
    *required field

Your bulk quote request has been submitted successfully!

Please contact us if you have any questions.