• Tel: 858.663.9055
  • SeparatorEmail: info@nsjbio.com
  • Tel: 858.663.9055
  • Email: info@nsjbio.com
Home >> Antibodies >> MCM5 Antibody / MCM complex protein 5

MCM5 Antibody / MCM complex protein 5 [clone MCM5/3200] (V5943)

  Catalog No Formulation Size Price (USD)  
Image V5943-100UG 0.2 mg/ml in 1X PBS with 0.05% BSA, 0.05% sodium azide 100 ug 559
Image
V5943-20UG 0.2 mg/ml in 1X PBS with 0.05% BSA, 0.05% sodium azide 20 ug 259
Image
V5943SAF-100UG 1 mg/ml in 1X PBS; BSA free, sodium azide free 100 ug 559
Microvalidated
Bulk quote request
Western Blot analysis of human Ramos cell lysate using MCM5/MCM complex protein 5 antibody (clone MCM5/3200). Expected molecular weight: 80~90 kDa.
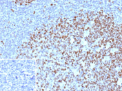
Immunohistochemistry analysis of MCM5/MCM complex protein 5 antibody (clone MCM5/3200) in human tonsil. Formalin-fixed, paraffin-embedded human tonsil shows strong nuclear brown staining in proliferating lymphoid cells within germinal centers, consistent with MCM complex protein 5 expression in actively cycling B cells, while surrounding mantle zone lymphocytes demonstrate reduced staining intensity. The inset shows PBS used in place of primary antibody as a negative control, confirming absence of non-specific nuclear staining. Heat-induced epitope retrieval was performed by heating tissue sections in 10mM Tris with 1mM EDTA, pH 9.0, for 45 min at 95oC followed by cooling at room temperature for 20 minutes prior to staining.
Analysis of Protein Array containing more than 19,000 full-length human proteins using MCM5/MCM complex protein 5 antibody (clone MCM5/3200). Z- and S- Score: The Z-score represents the strength of a signal that a monoclonal antibody (MAb) (in combination with a fluorescently-tagged anti-IgG secondary antibody) produces when binding to a particular protein on the HuProtTM array. Z-scores are described in units of standard deviations (SD's) above the mean value of all signals generated on that array. If targets on HuProtTM are arranged in descending order of the Z-score, the S-score is the difference (also in units of SD's) between the Z-score. S-score therefore represents the relative target specificity of a MAb to its intended target. A MAb is considered to specific to its intended target, if the MAb has an S-score of at least 2.5. For example, if a MAb binds to protein X with a Z-score of 43 and to protein Y with a Z-score of 14, then the S-score for the binding of that MAb to protein X is equal to 29.
Species Reactivity Human
Format Purified
Host Mouse
Clonality Monoclonal (mouse origin)
Isotype Mouse IgG2b, kappa
Clone Name MCM5/3200
Purity Protein A affinity
UniProt P33992
Localization Chromosome, Nucleus
Applications Immunohistochemistry (FFPE) : 1-2ug/ml
Western Blot : 2-4ug/ml
Limitations This MCM5/MCM complex protein 5 antibody is available for research use only.
Review this product on BioCompare and get a $20 Amazon gift card

Related Products

Description

MCM5 Antibody recognizes MCM complex protein 5, a core component of the minichromosome maintenance helicase complex encoded by the MCM5 gene. MCM5 Antibody, also referred to as Minichromosome maintenance complex component 5 antibody and MCM complex protein 5 antibody in the literature, detects a nuclear replication factor that plays a central role in origin licensing and replication fork activation. Unlike markers that simply label cycling cells, MCM complex protein 5 is directly involved in assembling the pre-replication complex and preparing chromatin for DNA synthesis.

MCM complex protein 5 functions as part of the heterohexameric MCM2-7 complex, which forms the core replicative helicase responsible for unwinding double-stranded DNA during S phase. In early G1, MCM proteins are recruited to replication origins by ORC, CDC6, and CDT1, creating licensed origins poised for activation. Upon entry into S phase, phosphorylation events promote helicase activation, allowing replication fork progression. Because MCM5 remains chromatin-associated in cells that are replication-competent, MCM5 Antibody provides insight into replication readiness rather than only active DNA synthesis.

Subcellularly, MCM complex protein 5 localizes to the nucleus in proliferating epithelial, stromal, and hematopoietic cells. Its expression is low or absent in terminally differentiated or quiescent cells that have exited the cell cycle. This differential expression pattern makes MCM5 Antibody valuable for distinguishing cycling tumor cells from non-proliferative background tissue in immunohistochemical applications. Increased nuclear staining is commonly observed in colorectal carcinoma, breast carcinoma, lung adenocarcinoma, urothelial carcinoma, and high-grade dysplastic lesions, reflecting expanded replication licensing activity in malignant tissues.

Beyond its diagnostic relevance, dysregulation of MCM complex protein 5 contributes to replication stress and genomic instability. Overexpression can reflect unscheduled origin firing, while insufficient licensing may result in stalled forks and DNA damage signaling. MCM5 Antibody (clone MCM5/3200) is designed to detect endogenous MCM complex protein 5 in research applications, producing distinct nuclear staining patterns in actively cycling cells. By targeting a helicase subunit integral to origin activation, this antibody supports mechanistic studies of replication dynamics, chromatin loading of helicase complexes, and cell cycle checkpoint regulation.

Through evaluation of replication licensing activity and helicase assembly, MCM5 Antibody serves as a powerful tool for investigating cell cycle control, tumor proliferation biology, and DNA replication fidelity in both normal and neoplastic tissues.

Application Notes

1. Optimal dilution of the MCM5/MCM complex protein 5 antibody should be determined by the researcher.

2. This MCM5/MCM complex protein 5 antibody is recombinantly produced by expression in CHO cells.

Immunogen

A recombinant fragment (around amino acids 500-734) of human MCM5 protein (exact sequence is proprietary) was used as the immunogen for the MCM5/MCM complex protein 5 antibody.

Storage

MCM5/MCM complex protein 5 antibody with sodium azide - store at 2 to 8oC; antibody without sodium azide - store at -20 to -80oC.

Cross
Bulk Quote Request Form
Name*:
Organization*:
Email*:
Phone Number*:
Catalog No.*:
Comments and Specifics(amount, formulation, etc.)*:
Validation code: Captchapackage Image


Can't read the image? click here to refresh.
    *required field

Your bulk quote request has been submitted successfully!

Please contact us if you have any questions.