• Tel: 858.663.9055
  • SeparatorEmail: info@nsjbio.com
  • Tel: 858.663.9055
  • Email: info@nsjbio.com
Home >> Antibodies >> MCM5 Antibody / MCM complex protein 5

MCM5 Antibody / MCM complex protein 5 [clone 4G10] (RQ6284)

  Catalog No Formulation Size Price (USD)  
Image RQ6284 0.5mg/ml if reconstituted with 0.2ml sterile DI water 100 ug 449
Bulk quote request
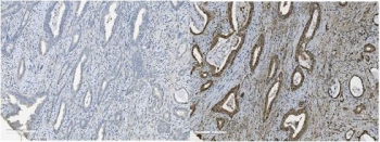
Immunohistochemistry analysis of MCM5/MCM complex protein 5 antibody (clone 4G10) in human gallbladder adenocarcinoma. Formalin-fixed, paraffin-embedded human gallbladder adenocarcinoma shows strong nuclear brown staining in tumor epithelial cells on the right panel, consistent with MCM5 as a DNA replication licensing factor and proliferation-associated marker, while the left panel processed without primary antibody demonstrates absence of specific nuclear staining. Heat-induced epitope retrieval was performed by boiling tissue sections in pH 8 EDTA buffer for 20 minutes followed by cooling prior to staining.
IHC staining of FFPE human lung cancer with (right) and without (left) MCM5 antibody. HIER: boil tissue sections in pH8 EDTA for 20 min and allow to cool before testing.
IHC staining of FFPE human pancreatic cancer with MCM5 antibody. HIER: boil tissue sections in pH8 EDTA for 20 min and allow to cool before testing.
Immunofluorescent staining of FFPE human A431 cells with MCM5 antibody (green) and DAPI nuclear stain (blue). HIER: steam section in pH6 citrate buffer for 20 min.
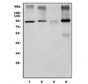
Western blot testing of 1) human MCF-7, 2) rat thymus, 3) rat RH35 and 4) mouse thymus lysate with MCM5 antibody. Expected molecular weight: 80~90 kDa.
Flow cytometry testing of human A549 cells with MCM5 antibody at 1ug/million cells (blocked with goat sera); Red=cells alone, Green=isotype control, Blue= MCM5 antibody.
Availability 1-3 business days
Species Reactivity Human, Mouse, Rat
Format Antigen affinity purified
Host Mouse
Clonality Monoclonal (mouse origin)
Isotype Mouse IgG2a
Clone Name 4G10
Purity Affinity purified
Buffer Lyophilized from 1X PBS with 2% Trehalose
UniProt P33992
Applications Western Blot : 1-2ug/ml
Immunohistochemistry (FFPE) : 2-5ug/ml
Immunofluorescence : 5ug/ml
Flow Cytometry : 1-3ug/million cells
Limitations This MCM5 antibody is available for research use only.
Review this product on BioCompare and get a $20 Amazon gift card

Related Products

Description

MCM5 Antibody recognizes Minichromosome maintenance complex component 5, a nuclear DNA replication licensing factor encoded by the MCM5 gene and a core subunit of the MCM2-7 helicase complex. Minichromosome maintenance complex component 5 antibody, also widely referred to as MCM5 antibody and MCM complex protein 5 antibody in cell cycle research, detects a protein essential for initiation and progression of DNA replication. As part of the heterohexameric MCM complex, MCM5 participates in unwinding double-stranded DNA at replication origins, enabling recruitment of replication machinery and S phase entry.

MCM5 is localized predominantly in the nucleus of actively proliferating cells, where it assembles with MCM2, MCM3, MCM4, MCM6, and MCM7 to form the functional replicative helicase. During G1 phase, the MCM complex is loaded onto chromatin to license replication origins. Activation by cyclin-dependent kinases and DDK converts the complex into an active helicase that drives replication fork progression. Because MCM5 is expressed in cells that are licensed for replication but absent in quiescent G0 cells, MCM5 antibody serves as a sensitive marker of proliferative capacity and cell cycle engagement.

In normal tissues, MCM5 expression is typically restricted to basal epithelial compartments, germinal centers, and other progenitor cell populations undergoing active division. Differentiated and terminally specialized cells show little to no nuclear staining. In tumor pathology, elevated MCM5 expression has been documented in a broad range of malignancies including colorectal carcinoma, breast carcinoma, lung cancer, prostate cancer, and hematologic neoplasms. Increased nuclear labeling with MCM5 antibody correlates with higher proliferative index and aggressive tumor behavior, supporting its use as a proliferation-associated marker.

Functionally, Minichromosome maintenance complex component 5 is critical for maintaining genomic stability by ensuring that DNA replication occurs once per cell cycle. Dysregulation of replication licensing proteins such as MCM5 can contribute to replication stress and chromosomal instability, hallmarks of oncogenesis. MCM5 Antibody (clone 4G10) is designed to detect endogenous MCM5 protein in research applications and produces distinct nuclear staining in actively cycling cells. By targeting a key DNA replication licensing factor, this antibody supports studies of cell cycle regulation, tumor growth kinetics, and replication control mechanisms across diverse tissue types.

Application Notes

Optimal dilution of the MCM5 antibody should be determined by the researcher.

Immunogen

A human recombinant partial protein (amino acids K206-H723) was used as the immunogen for the MCM5 antibody.

Storage

After reconstitution, the MCM5 antibody can be stored for up to one month at 4oC. For long-term, aliquot and store at -20oC. Avoid repeated freezing and thawing.

Cross
Bulk Quote Request Form
Name*:
Organization*:
Email*:
Phone Number*:
Catalog No.*:
Comments and Specifics(amount, formulation, etc.)*:
Validation code: Captchapackage Image


Can't read the image? click here to refresh.
    *required field

Your bulk quote request has been submitted successfully!

Please contact us if you have any questions.