• Tel: 858.663.9055
  • SeparatorEmail: info@nsjbio.com
  • Tel: 858.663.9055
  • Email: info@nsjbio.com
Home >> Antibodies >> MCM4 Antibody

MCM4 Antibody (RQ6084)

  Catalog No Formulation Size Price (USD)  
Image RQ6084 0.5mg/ml if reconstituted with 0.2ml sterile DI water 100 ug 439
Bulk quote request
Immunofluorescent staining of FFPE human A431 cells with MCM4 antibody (green) and DAPI nuclear stain (blue). HIER: steam section in pH6 citrate buffer for 20 min.
IHC staining of FFPE human gallbladder adenocarcinoma with MCM4 antibody. HIER: boil tissue sections in pH8 EDTA for 20 min and allow to cool before testing.
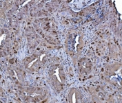
IHC staining of FFPE human breast cancer with MCM4 antibody. HIER: boil tissue sections in pH8 EDTA for 20 min and allow to cool before testing.
IHC staining of FFPE human rectal cancer with MCM4 antibody. HIER: boil tissue sections in pH8 EDTA for 20 min and allow to cool before testing.
IHC staining of FFPE mouse colon with MCM4 antibody. HIER: boil tissue sections in pH8 EDTA for 20 min and allow to cool before testing.
IHC staining of FFPE rat colon with MCM4 antibody. HIER: boil tissue sections in pH8 EDTA for 20 min and allow to cool before testing.
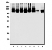
Western blot testing of human 1) HeLa, 2) U-2 OS, 3) MCF7, 4) HEK293, 5) Jurkat, 6) HL60, 7) rat liver and 8) mouse NIH 3T3 lysate with MCM4 antibody. Predicted molecular weight ~97 kDa.
Flow cytometry testing of human A549 cells with MCM4 antibody at 1ug/million cells (blocked with goat sera); Red=cells alone, Green=isotype control, Blue= MCM4 antibody.
Availability 1-3 business days
Species Reactivity Human, Mouse, Rat
Format Antigen affinity purified
Clonality Polyclonal (rabbit origin)
Isotype Rabbit IgG
Purity Antigen affinity
Buffer Lyophilized from 1X PBS with 2% Trehalose and 0.025% sodium azide
UniProt P33991
Applications Western Blot : 0.25-0.5ug/ml
Immunohistochemistry (FFPE) : 2-5ug/ml
Immunofluorescence : 5ug/ml
Flow Cytometry : 1-3ug/million cells
Limitations This MCM4 antibody is available for research use only.
Review this product on BioCompare and get a $20 Amazon gift card

Related Products

  • Applications : WB, IHC, ELISA
    Reactivity : Human
    Pred. Reactivity : Mouse, Xenopus
  • Applications : WB
    Reactivity : Zebrafish

Description

Minichromosome maintenance, S. cerevisiae, homolog of, 4, also called CDC21, is a protein that in humans is encoded by the MCM4 gene. MCM4 is one of the highly conserved mini-chromosome maintenance proteins(MCM) that are essential for the initiation of eukaryotic genome replication. The 864-amino acid protein has an observed molecular mass of 97 kD by SDS-PAGE, which is similar to its calculated molecular mass of 96.6 kD. Western blot analysis with and without phosphatase treatment suggested that MCM4 is highly phosphorylated in mitotic cells. In the absence of DDK, CDK phosphorylation at the distal part of the Mcm4 NSD becomes crucial. The gene encodes a subunit of the MCM2-7 complex (also known as MCM2-MCM7), the replication licensing factor and presumptive replicative helicase.

Application Notes

The stated application concentrations are suggested starting amounts. Titration of the MCM4 antibody may be required due to differences in protocols and secondary/substrate sensitivity.

Immunogen

Recombinant human partial protein (amino acids 361-677) was used as the immunogen for this MCM4 antibody.

Storage

After reconstitution, the MCM4 antibody can be stored for up to one month at 4oC. For long-term, aliquot and store at -20oC. Avoid repeated freezing and thawing.

Cross
Bulk Quote Request Form
Name*:
Organization*:
Email*:
Phone Number*:
Catalog No.*:
Comments and Specifics(amount, formulation, etc.)*:
Validation code: Captchapackage Image


Can't read the image? click here to refresh.
    *required field

Your bulk quote request has been submitted successfully!

Please contact us if you have any questions.