• Tel: 858.663.9055
  • SeparatorEmail: info@nsjbio.com
  • Tel: 858.663.9055
  • Email: info@nsjbio.com
Home >> Antibodies >> MCM3 Antibody / Minichromosome maintenance complex component 3

MCM3 Antibody / Minichromosome maintenance complex component 3 [clone MCM3/6706] (V5119)

  Catalog No Formulation Size Price (USD)  
Image V5119-100UG 0.2 mg/ml in 1X PBS with 0.1 mg/ml BSA (US sourced), 0.05% sodium azide 100 ug 559
Image
V5119-20UG 0.2 mg/ml in 1X PBS with 0.1 mg/ml BSA (US sourced), 0.05% sodium azide 20 ug 259
Image
V5119SAF-100UG 1 mg/ml in 1X PBS; BSA free, sodium azide free 100 ug 559
Bulk quote request
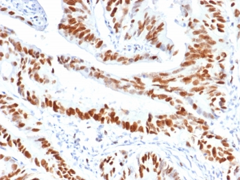
Immunohistochemistry analysis of MCM3 antibody (clone MCM3/6706) in human colon carcinoma tissue. Formalin-fixed, paraffin-embedded human colon carcinoma shows strong nuclear brown staining in malignant epithelial cells, consistent with MCM3 expression in actively proliferating tumor cells, while surrounding stromal cells display weaker or focal nuclear signal. Heat-induced epitope retrieval was performed by boiling tissue sections in pH 9 10mM Tris with 1mM EDTA for 20 min followed by cooling prior to staining.
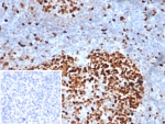
IHC staining of FFPE human tonsil tissue with MCM3 antibody (clone MCM3/6706). Inset: PBS instead of primary antibody, secondary only control.
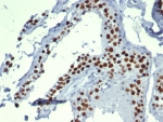
IHC staining of FFPE human testis tissue with MCM3 antibody (clone MCM3/6706). HIER: boil tissue sections in pH 9 10mM Tris with 1mM EDTA for 20 min and allow to cool before testing.
SDS-PAGE analysis of purified, BSA-free MCM3 antibody (clone MCM3/6706) as confirmation of integrity and purity.
Availability 1-3 business days
Species Reactivity Human
Format Purified
Host Mouse
Clonality Monoclonal (mouse origin)
Isotype Mouse IgG1, kappa
Clone Name MCM3/6706
Purity Protein A/G affinity
UniProt P25205
Localization Nucleus
Applications Immunohistochemistry (FFPE) : 1-2ug/ml for 30 min at RT
Limitations This MCM3 antibody is available for research use only.
Review this product on BioCompare and get a $20 Amazon gift card

Related Products

Description

MCM3 antibody (clone MCM3/6706) targets Minichromosome maintenance complex component 3, a nuclear protein that functions as a DNA replication licensing factor and essential regulator of cell cycle progression. The MCM3 gene encodes one of six core subunits of the MCM2-7 complex, which assembles at replication origins to form the replicative helicase required for unwinding double-stranded DNA. Because MCM3 is loaded onto chromatin during early G1 and remains present throughout the active phases of the cell cycle, MCM3 antibody serves as a robust marker of replication-competent cells.

Minichromosome maintenance complex component 3 plays a critical role in establishing the pre-replication complex, ensuring that DNA replication occurs once per cell cycle. Following origin licensing, the MCM2-7 complex cooperates with CDC45 and the GINS complex to form the CMG helicase, the central enzymatic machinery driving replication fork progression. Nuclear localization of MCM3 reflects its function in chromatin-associated replication control. In immunohistochemical analysis, MCM3 antibody typically produces distinct nuclear staining in actively dividing epithelial, lymphoid, and progenitor cell populations, while differentiated or quiescent cells demonstrate minimal signal.

In oncologic research, elevated MCM3 expression has been reported across multiple tumor types including colorectal carcinoma, breast carcinoma, lung adenocarcinoma, prostate carcinoma, and various hematologic malignancies. Expanded nuclear staining patterns frequently correlate with increased proliferative fraction and disrupted cell cycle regulation. Because MCM3 identifies cells licensed for replication, it may detect a broader proliferative compartment than markers limited to mitotic activity or DNA synthesis alone. This property makes MCM3 antibody useful in tumor grading studies, evaluation of dysplastic lesions, and investigation of growth kinetics in neoplastic tissues.

Beyond cancer biology, MCM3 is fundamental to normal tissue renewal and stem or progenitor cell maintenance. Tight regulation of replication licensing prevents re-replication and preserves genomic stability. Aberrant expression or deregulated activation of the MCM complex can contribute to replication stress and genomic instability, processes closely linked to malignant transformation. MCM3 antibody (clone MCM3/6706) is designed to detect nuclear Minichromosome maintenance complex component 3 in research applications, supporting studies of DNA replication control, cell cycle regulation, proliferative capacity, and replication licensing mechanisms in both normal and disease contexts.

Application Notes

Optimal dilution of the MCM3 antibody should be determined by the researcher.

Immunogen

A recombinant partial protein sequence (within amino acids 650-750) from the human protein was used as the immunogen for the MCM3 antibody.

Storage

Aliquot the MCM3 antibody and store frozen at -20oC or colder. Avoid repeated freeze-thaw cycles.

Cross
Bulk Quote Request Form
Name*:
Organization*:
Email*:
Phone Number*:
Catalog No.*:
Comments and Specifics(amount, formulation, etc.)*:
Validation code: Captchapackage Image


Can't read the image? click here to refresh.
    *required field

Your bulk quote request has been submitted successfully!

Please contact us if you have any questions.